前言:
上一期我们提到使用免疫组化的方法对肾脏及尿道肿瘤的诊断与鉴别诊断是非常有必要的,并对肾脏肿瘤常用免疫组化标志物进行较为详细的讲解,本期将对肾脏及尿道肿瘤诊断免疫组化指标进一步完善补充。

表1. 不同组织学类型肾细胞癌的免疫组化特点

表2. 肾脏透明细胞癌与其他具有透明细胞表现的肿瘤免疫组化要点

备注:
Xp11.1易位相关肾细胞癌中为阳性。
表3. 移行细胞癌常用免疫组化指标

 
备注:
正常尿路上皮CD44阳性;
正常尿路上皮fascin阴性;
高级别癌和内翻性乳头状瘤中CK20阴性;
肾盂的移行细胞癌中Pax-8可为阳性;
β-catenin在膀胱腺癌中为细胞膜着色,在结直肠腺癌中为细胞核着色。
部分指标详解
Uroplakin
阳性表达模式:细胞膜/细胞质
推荐阳性质控组织:膀胱黏膜

图1. 移行细胞癌中,Uroplakin呈阳性表达。
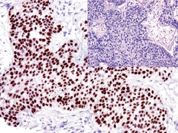
GATA3

图2. 移行细胞癌,细胞核阳性表达GATA-3。
S100P
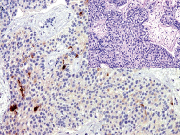
血栓调节蛋白

图3. 膀胱高级别移行细胞癌中,CD141阳性。
1
迈迈:“GATA3主要表达于乳腺癌和尿路上皮癌,而在其他肿瘤中很少表达,在乳腺癌中的表达与ER、PR成正相关,而与HER-2成负相关。S100P除了是尿路上皮癌的特异性标记物之外,在胆管活检标本中还可用于区分癌与反应性上皮变化。而Uroplakin II表达于尿路移行上皮及其来源的肿瘤,而其他部位(如呼吸道、消化道、乳腺等)的多种肿瘤几乎不表达,相较Uroplakin III而言,Uroplakin II具有更高的敏感性,但有资料表明Uroplakin III可以特定的表达于p63阴性的尿道上皮肿瘤中,包括未分化癌。”
| 抗体名称 | 克隆号 | 阳性对照 | 细胞定位 | 
| GATA3 | L50-823 | 尿路上皮癌、乳腺癌 | 胞核 | 
| S100P | 16/f5 | 胰腺癌、胎盘 | 胞核/胞质 | 
| Uroplakin II* | MXR009 | 尿路上皮癌 | 胞质/胞膜 | 
| Uroplakin III | SP73 | 尿路上皮癌 | 胞质/胞膜 | 
*标为迈新克隆产品
更多信息,请详询:800-8581156或400-889-9853