神经内分泌肿瘤结构上一般表现为器官样、梁状、岛状、栅栏状、带状或菊形团样,细胞学上则以细胞核的粗颗粒状为特点。不过,这些并无明确特异性。免疫组化有助于神经内分泌肿瘤的诊断及鉴别诊断,不过具体指标的应用要点却各不相同。
内分泌及神经内分泌肿瘤诊断常用免疫组化指标有CgA、Syn、NSE、S100、PGP9.5、CD56、Pax-6、突触小泡蛋白2(synaptic vesicle protein 2)、生长抑素受体。需要注意的是,上述免疫组化指标常用于正常或肿瘤组织中神经内分泌分化的证实;不过,这些指标无一可视为神经内分泌分化的通用标记。因此,实际工作中应注意两种或多种抗体联合应用。神经内分泌癌诊断常用免疫组化指标散在于不同器官的相关章节,具体如小细胞型神经内分泌癌、大细胞神经内分泌癌。常用免疫组化指标有:多种CK、CgA、Syn、NSE、S100、CD56、生长抑素受体、Ki-67;针对不同病变部位,还可加做CDX-2、SATB-2、PDX-1、Pax-6、TTF-1等部位特异性指标。
阳性表达模式:细胞质
推荐阳性质控组织:阑尾
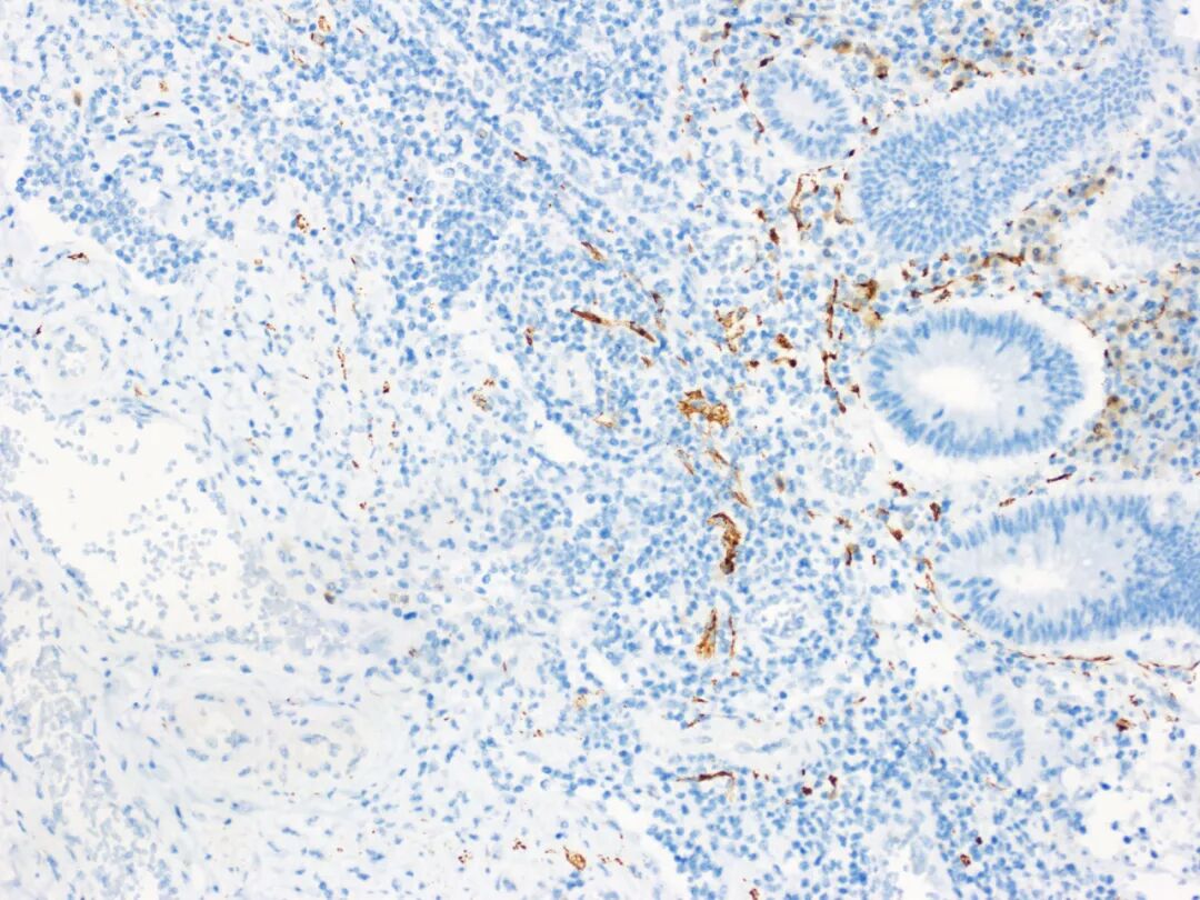
嗜铬粒蛋白(Chromogranin)和Syn是最常用的神经内分泌免疫组化标记。其中嗜铬粒蛋白位于神经内分泌细胞中的神经分泌颗粒内、突触泡壁,又包括了嗜铬粒蛋白A(CgA)、嗜铬粒蛋白B(也称为分泌粒蛋白I【secretogranin I】)、嗜铬粒蛋白C(也称为分泌粒蛋白II)。CgA是日常免疫组化中最常用的标记。几乎所有的神经内分泌细胞及神经内分泌肿瘤均表达嗜铬粒蛋白。免疫着色的强度取决于被检细胞胞质中神经内分泌颗粒的量,比如小细胞癌中虽然嗜铬粒蛋白的合成活性较强,但其胞质较少、神经内分泌颗粒稀疏,因此免疫组化中嗜铬粒蛋白的着色一般极弱。
图1. 阑尾,CgA染色,神经内分泌细胞胞质阳性
阳性表达模式:细胞质
推荐阳性质控组织:阑尾
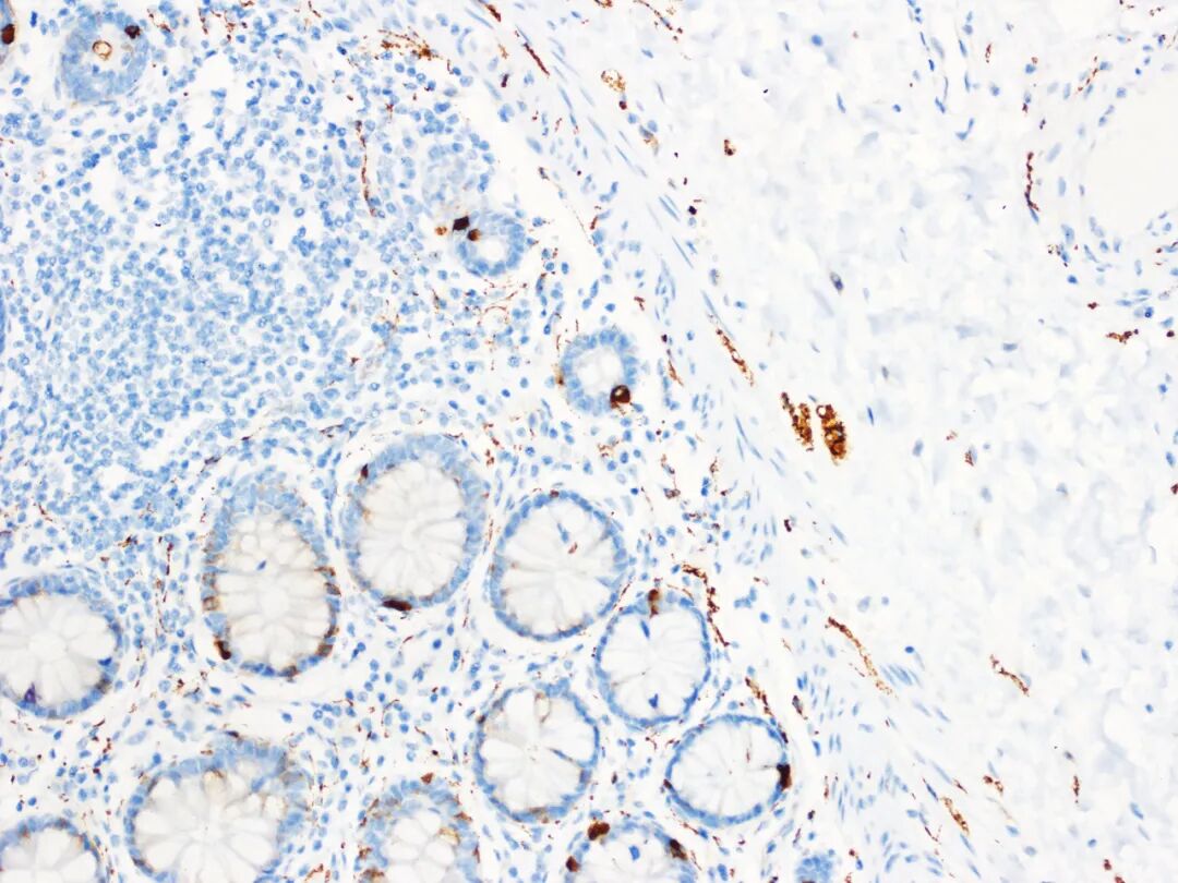
Syn是一种跨膜钙结合糖蛋白,属于突触前囊泡的主要成分。这是神经内分泌细胞及伴神经内分泌分化肿瘤的广谱标记,联合应用嗜铬粒蛋白及Syn可增强检测敏感性。其他突触囊泡蛋白在日常免疫组化工作中很少应用,具体如突触囊泡蛋白-2(synaptic vesicle protein-2)、突触颗粒(synaptogranin)、囊泡相关膜蛋白(vesicle-associated membrane protein)。
图2. 阑尾,Syn染色,神经内分泌细胞、神经节细胞和神经丛轴突呈现胞质阳性
阳性表达模式:细胞质/细胞核
推荐阳性质控组织:阑尾
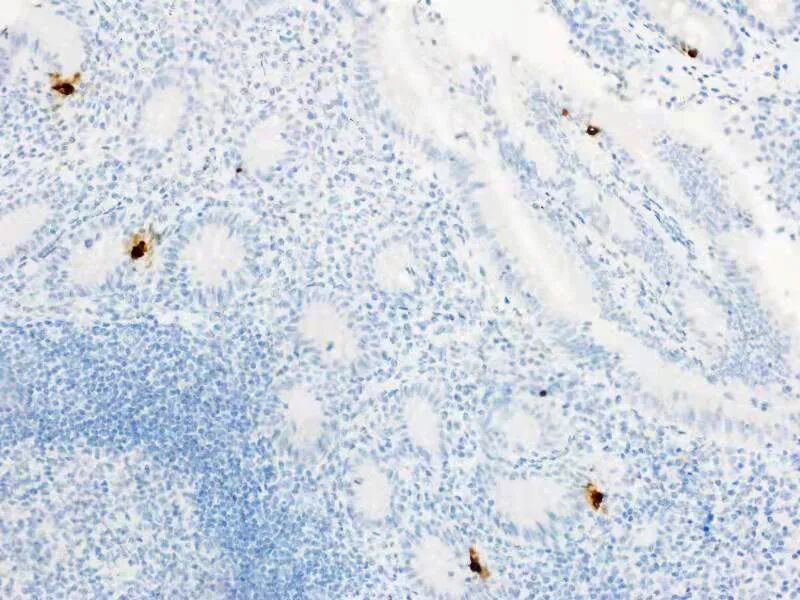
NSE的中文全名为神经元特异性烯醇化酶(neuron specific enolase)。烯醇化酶由α、β、γ三种亚基组成同源或异源二聚体,临床实践中最常用抗体是针对γ亚基的。NSE的γ亚基主要表达于神经元、正常及肿瘤性神经内分泌细胞,巨核细胞、T细胞及横纹肌细胞、平滑肌细胞中也可见不同程度的表达。不过,需要注意的是,NSE对于神经内分泌肿瘤来说特异性较低,一般仅用于筛选;所以,对于神经内分泌肿瘤的诊断来说,必须有其他更特异指标的支持。
图3. 阑尾,NSE染色,神经内分泌细胞、神经元细胞呈现胞质阳性
阳性表达模式:细胞质
推荐阳性质控组织:阑尾
正常情况下,S100表达于神经嵴来源的细胞,具体如胶质细胞、Schwann细胞、黑色素细胞、软骨细胞、骨细胞、脂肪细胞、肌上皮细胞、树状突细胞、朗格汉斯细胞、巨噬细胞及某些类型的上皮细胞。其实S100蛋白家族包括了约25种同源低分子量胞质内钙结合蛋白,由位于不同染色体上的不同基因编码。也正是因为如此,所以S100应用广泛,S100抗体家族已有不同的多克隆或多克隆抗体供常规应用。临床实践中,S100用作筛查型标记,特异性相对较差,因此对于神经内分泌肿瘤的诊断来说,必须有其他更特异指标的支持。其他内分泌及神经内分泌肿瘤的相关标记,如CD56、PGP9.5等,详见其他章节。
图4. 阑尾,S100染色,神经纤维的雪旺氏细胞以及固有肌层和阑尾粘膜下层的神经节卫星细胞的胞核和胞质阳性1
迈迈推荐:“一张高质量的免疫组化染色切片为正确判断染色结果提供了良好的基础和前提,而抗体的性能、质量是高质量免疫组化染色切片的关键!”
抗体名称 | 克隆号 | 阳性对照 | 细胞定位 |
CgA * | MX018 | 嗜铬细胞瘤、神经内分泌肿瘤
| 胞质 |
Syn*
| MX038 | 胰腺、阑尾
| 胞质 |
NSE | 3-3-C | 胰腺、阑尾
| 胞质
|
S100
| 4C4.9 | 神经鞘瘤、阑尾
| 胞质/胞核 |
更多信息,请详询:800-8581156或400-889-9853