本类肿瘤[表1]呈实性至巢状生长,细胞形态呈上皮样至丰满梭形,偶见透亮的胞质改变。这一类包括肌上皮癌(MyoCA)、上皮-肌上皮癌(EMC)、透明细胞癌(CCC)和鳞状细胞癌(SqCC)。MyoCA由单细胞群组成,具有肌上皮表型,在黏液样间质中表现为不可描述的圆润梭形至圆形细胞。EMC是双相的,由丰满的梭形至多角形肌上皮细胞组成,由上皮细胞排列的管状结构所贯穿。两者均可显示多小叶到结节状生长,伴中央坏死,肌上皮细胞胞浆透亮或不透亮。涎源性CCC包含细胞巢或细胞索,胞浆透亮或苍白,细胞核皱缩,间质带密集嗜酸性玻璃样变。SqCC为单细胞群,胞浆密集,嗜酸性粒细胞增多,核分裂频繁。有时会出现明显的角化,但并不总是如此。原发性腮腺鳞癌仍有争议,任何涉及大唾液腺的鳞癌应考虑为头部颈部皮肤转移或黏膜部位的直接延伸。
表1. 列举实性-巢状/透明-梭形模式的肿瘤免疫表型和遗传学
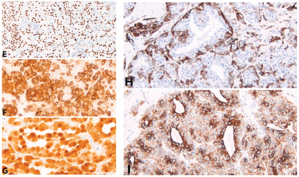
(点击可查看大图)
本组四种肿瘤的免疫表型明显重叠[图1]。基底标志物p40和p63以及高分子量角蛋白(HMWK)在CCC和SqCC中呈强和弥漫性阳性。这两种肿瘤的其他肌上皮分化标志物,如SMA、calponin、S100和GFAP均为阴性。基底标志物p40/p63、HMWK、上皮膜抗原(EMA)和肌上皮标志物在MyoCA和EMC的肌上皮人群中可不同程度地呈阳性。由于肿瘤肌上皮细胞表达谱的高度变异性,可以使用包括所有潜在标记物的套餐来确认肌上皮细胞的分化:角蛋白(pankeratin,HMWK)或EMA的存在加上基底或肌上皮特异性标记物(p40,p63,SMA,calponin,S100,GFAP)是确定的。低分子量细胞角蛋白和c-Kit/CD117在EMC上皮细胞中有表达,而在MyoCA、CCC或SqCC中不应该有明显的表达。

图1:Solid-Nested肿瘤。许多肌上皮癌(A)和上皮-肌上皮癌(B)表达p40/p63(E)和高分子量角蛋白(在本例中是CK5/6(F)),作为肌上皮分化的证据。透明细胞癌(C)和鳞状细胞癌(D)应均为阳性。肌上皮癌和上皮-肌上皮癌的肌上皮细胞也可能同时表达S100(G,肌上皮癌)和SMA(H,上皮-肌上皮癌)。只有上皮-肌上皮癌才会出现低分子量角蛋白阳性上皮细胞的两相分布(I),然而,在这种情况下,肌上皮细胞也表现出较弱的CAM5.2表达。
在肌上皮分化的背景下,SOX10需要一些讨论。SOX10已被证明在大多数唾液腺肿瘤中表达,可能对鉴别诊断没有帮助。然而,SOX10在透明细胞癌、鳞状细胞癌、涎腺导管癌、嗜酸细胞肿瘤和大多数黏液表皮样癌中均为阴性。因此,SOX10在特定的环境中可能被证明是有用的,特别是在阴性的情况下。高达40%的MyoCA伴透明胞质改变和80%的CCC有EWSR1的FISH重排。然而,这些MyoCA在下一代测序中并没有表现出EWSR1融合转录本;相反,许多有致癌的PLAG1融合,无论是从头还是癌在PA中。这些新发现表明,在MyoCA中,EWSR1异常可能是乘客突变。另一方面,大多数真正的CCC确实含有EWSR1-ATF1基因融合,而CREM是一个不太常见的合作伙伴。EWSR1的重排没有免疫组化相关。已有研究表明,EMC在HRAS Q61R/Q61K中存在突变,更常出现在de-novo突变中,而非癌在PA中突变,后者保持着PLAG1异常。用于检测NRAS Q61R突变的SP174抗体已被证明与HRAS和KRAS Q61R突变的黑色素瘤和甲状腺髓样癌发生交叉反应,然而,该抗体尚未在唾液腺肿瘤中进行研究。腮腺的鳞状细胞癌大多来自头部皮肤原发(头皮、耳廓、面部等)的转移。在大多数情况下皮肤起源已证实紫外线签名突变。具有淋巴上皮形态的鳞状细胞癌可能表现为EBV阳性,可能代表原发性涎腺肿瘤。在这种情况下,EBER原位杂交可能有帮助。然而,鼻咽转移始终应被排除。