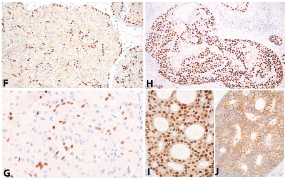
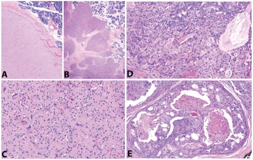
具有独特或主要嗜酸细胞形态(颗粒状嗜酸性胞浆,圆形卵圆形核,核仁突出)的肿瘤包括纯嗜酸细胞瘤(嗜酸细胞瘤和嗜酸细胞癌),Warthin瘤,以及嗜酸细胞/大汗腺变异型MEC和EMC。纯嗜酸细胞瘤由嗜酸细胞巢状或索状构成,偶有透亮的胞质改变。这种罕见的嗜酸细胞癌与嗜酸细胞瘤不同,在组织学上有浸润。嗜酸细胞性MEC由嗜酸细胞巢和片组成,可能有罕见的囊性区域和仅有局灶性黏液细胞。伴有黏液性和/或鳞状化生的Warthin瘤可与炎症性嗜酸细胞性MEC鉴别。嗜酸细胞/大汗腺细胞EMC保持双相形态,有大量活化的肌上皮细胞和上皮和/或肌上皮细胞的嗜酸细胞或大汗腺细胞化生。涎腺导管癌(SDC),通常被认为是大汗腺细胞多于嗜酸细胞(胞浆颗粒少,顶端开口,胞浆内空泡,雄激素受体频繁表达),也应该被考虑。SDC呈均匀高级别,由实性、筛状和乳头状生长模式组成,常伴有中央坏死。最后,在多形性腺瘤中嗜酸细胞的改变也很明显。嗜酸细胞性肿瘤和Warthin瘤显示p63的表达局限于巢和囊肿的外周/间质细胞层,尽管这一层在组织学上可能不明显[图1]。嗜酸细胞黏液表皮样癌显示嗜酸细胞弥漫性核阳性p63,可以说是除MAML2基因重排外最好的鉴别器(在微囊性/分泌性/黏液性章节中讨论)。涎腺导管癌p63呈阴性。然而,如果存在导管内播散,则可能存在非肿瘤性p63阳性的外周层。雄激素受体和Her2常在SDC中表达,但偶尔也会在其他高级别的非SDC中出现,包括大汗腺细胞EMC的上皮细胞。GATA3在SDC(以及SEC)中弥漫性强表达,但在许多其他涎腺肿瘤中也可能呈不同程度的阳性表达。低分子量角蛋白/CD117阳性导管上皮细胞的存在以及肌上皮细胞中特异性标记物的表达支持了EMC的一种变体。

图1:嗜酸细胞肿瘤。嗜酸细胞瘤(A)和嗜酸细胞癌(B)分别通过有无侵袭来区分。两者都有一个实性至巢状的生长模式(C),被精致的血管间质隔开。这两种肿瘤(以及图中未显示的Warthin肿瘤)在周围(F)和与间质接触的细胞(G)显示p40/p63阳性细胞。相比之下,嗜酸细胞样黏液表皮样癌(D)在除黏液细胞外的大多数细胞(H)中呈弥漫性p40/p63表达。涎腺导管癌倾向于具有更多的大汗腺分泌表型,常伴有筛状巢和中央坏死(E)。通常有雄激素受体的核表达(I)和Her2的膜性表达(J)。
这一组的特定遗传学包括嗜酸细胞性MEC中的MAML2基因重排,这可能有助于具有挑战性的组织学病例。SDC表现出一系列的突变(包括TP53、PTEN、PIK3CA和HRAS)以及HER2扩增。这些突变的特异性可能是有限的。虽然对唾液腺肿瘤的行为和临床管理的详尽讨论超出了这篇文章的范围,但应该提到的是,治疗的主要手段是手术切除。颈部清扫术在临床阴性的颈部的作用是有争议的,但被认为是高级别癌。对于有标志区域失败风险的患者,需要考虑辅助放疗或联合放化疗:高组织学分级或T期、神经周围侵犯、手术边缘闭合或阳性以及淋巴结转移。大多数AdCC患者也接受放射治疗,因为这些被认为是生物侵袭性的。全身化疗主要用于远处转移或复发性疾病的患者。对于可操作的异常患者可以考虑靶向治疗:雄激素受体表达的肿瘤可以考虑雄激素剥夺治疗,赫赛汀治疗her2扩增的肿瘤,TRK抑制剂治疗TRK重排的肿瘤,或免疫治疗PDL1表达的肿瘤。
如果在正确的形态学背景下使用,并了解其局限性,免疫组化染色可以帮助鉴别形态相似的唾液腺肿瘤。核心、切口或刮除活检的诊断通常是描述性的,分级和明确的分型取决于切除标本。在一些高级别涎腺癌中,如果没有明显的低级别成分,分型可能是具有挑战性的。在缺乏明确的免疫表型或遗传学的情况下,报告可指导治疗的指标是最重要的。