Von Hippel-Lindau蛋白 (pVHL)是一种E3泛素连接酶,在正常生理条件下可促进缺氧诱导因子 (HIF)的α亚基泛素化,靶向降解蛋白酶体。在VHL综合征中,VHL基因的病原性胚系改变使pVH丢失,激活HIF介导的信号通路,CA IX、GLUT-1、VEGF等因子的表达普遍上调。CA IX和GLUT-1都是在缺氧的肿瘤微环境中被诱导的产生的,常与坏死区域相邻。而pVHL的缺失与CA IX和GLUT-1的组成型表达相关,并与质膜的定位相关。GLUT-1促进葡萄糖向细胞内的转运, 而CA IX通过调节细胞内和细胞外的pH值,帮助细胞适应缺氧条件。最近的研究表明,VHL综合征中pVHL的缺失可导致CA IX和GLUT-1等蛋白的表达,因此,本研究用免疫组织化学的方法评估了VHL综合征中CA IX和GLUT-1的表达,检测结果表明这些标志物可成为VHL综合征筛查的有效的、低成本的工具。
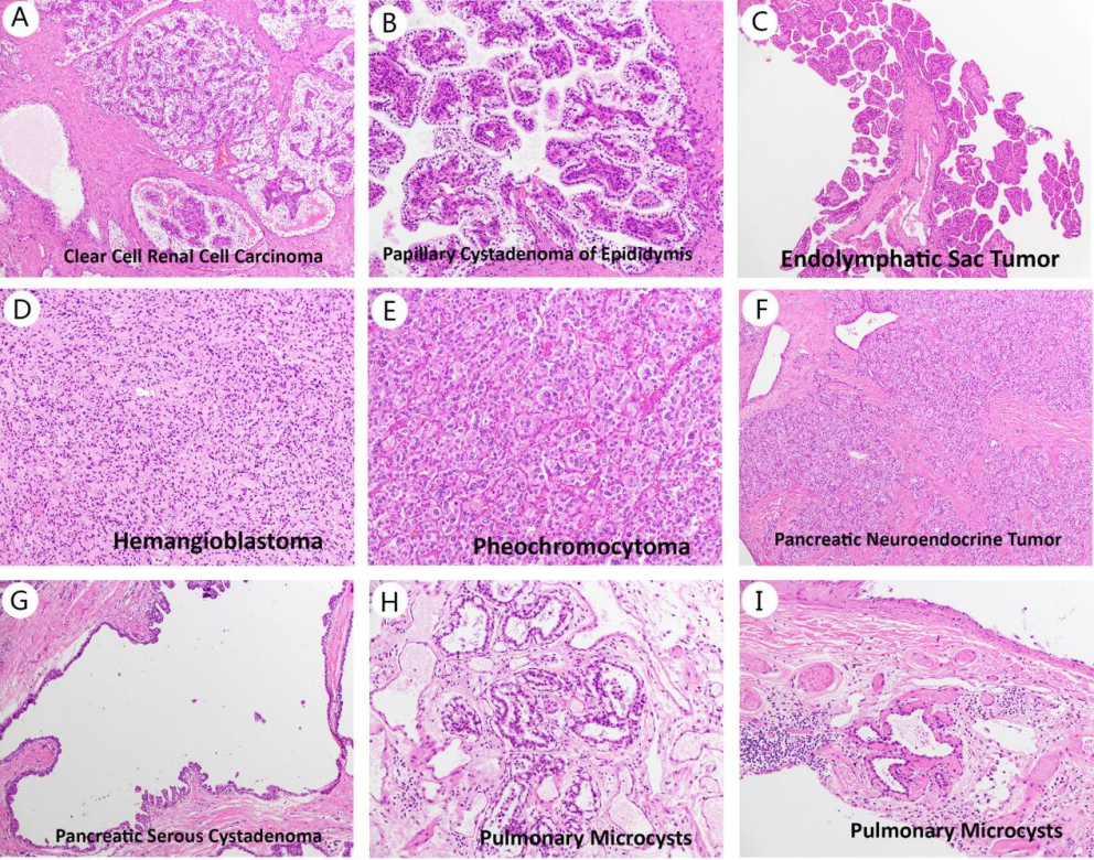
对2004 --2021年间诊断和治疗的VHL疾病患者的病理档案和HE染色玻片进行回顾,同时调取病理蜡块切片,进行CA IX、GLUT-1和Pax-8的IHC染色,并评估亚细胞定位模式。通过回顾,确定了5名患有VHL病的患者(表 1)。可用于组织病理学检查的病灶共15个:肾囊肿(n=2)、肾透明细胞癌(n =2,图 1A)、附睾乳头状囊腺瘤(n = 1, 图1B), 内淋巴囊肿瘤 (n =1, 图1C), 血管母细胞瘤(n=4, 图1D)嗜铬细胞瘤(n=1,图1E)、胰腺神经内分泌肿瘤(n =1,图1F)、胰腺浆液性囊腺瘤(n =1,图1G)和肺微囊肿(n=2,图1 H-I)。
图1. 不同病灶代表性HE染色图 (A:肾透明细胞癌;B:附睾乳头状囊腺瘤;C:内淋巴囊肿瘤; D:血管母细胞瘤; E:嗜铬细胞瘤; F:胰腺神经内分泌肿瘤; G:胰腺浆液性囊腺瘤; H-I:肺微囊肿)
表1. VHL综合征临床病理特征及相关病灶免疫表型

上述15个病灶中,有5个鉴定出Pax-8表达 (表1):包括2例肾囊肿,2例肾透明细胞癌(图2A),1例附睾乳头状囊腺瘤(图2B),其余均为阴性。
图2. 不同病灶Pax-8的表达(A: 肾透明细胞癌;B:附睾乳头状囊腺瘤)所有病灶都发现了CA IX的弥漫性、强阳性表达(15/15, 100%,表1)。93%的病灶显示CA IX的膜定位(14/15;图3 A-G),仅有一例嗜铬细胞瘤显示CA IX弥漫性细胞质定位,膜免疫反应较少(图3 H))。
图3. 不同病灶CA IX的表达(A:肾透明细胞癌;B:附睾乳头状囊腺瘤;C:内淋巴囊肿瘤; D:血管母细胞瘤; E:胰腺神经内分泌肿瘤; F:胰腺浆液性囊腺瘤; G:肺微囊肿; H:嗜铬细胞瘤)。
GLUT-1弥漫性、强细胞膜表达的病灶数相对CA IX较少(12/15, 80%,表1),GLUT-1点状弱表达的病灶中有一例为内淋巴囊肿瘤,该病灶血管内皮细胞阳性,可作为内部对照(图4C),GLUT-1表达缺失的病灶为嗜铬细胞瘤(图4E)和肺微囊肿(图4H)。值得注意的是,在血管内皮细胞和红细胞中都发现了 GLUT-1 的强阳性表达,这偶尔会导致难以解释病变细胞中的GLUT-1状态,如图4H。图4. 不同病灶中GLUT-1的表达(A:肾透明细胞癌;B:附睾乳头状囊腺瘤;C:内淋巴囊肿瘤;D:血管母细胞瘤;E:嗜铬细胞瘤; F:胰腺神经内分泌肿瘤; G:胰腺浆液性囊腺瘤; H:肺微囊肿)。
较常见的VHL综合征病变包括肾透明细胞癌、中枢神经系统血管母细胞瘤、嗜铬细胞瘤、胰腺浆液性囊腺瘤、胰腺神经内分泌肿瘤和附睾乳头状囊腺瘤。罕见报道的 VHL 综合征相关病变包括内淋巴囊肿瘤、周围神经血管母细胞瘤、胆囊透明细胞癌和肺多灶性微囊/乳头状囊腺瘤。FDA最近批准了一种HIF-2ɑ抑制剂belzutifan,用于治疗不需手术的VHL综合征相关肾细胞癌、中枢神经系统血管母细胞瘤或胰腺神经内分泌肿瘤的治疗。此类靶向治疗的出现补充了肾细胞癌的保肾治疗内容,其中小于3cm 的肿瘤通常不切除,因为它们被认为转移风险低。同样,靶向治疗对血管母细胞瘤(包括视网膜毛细血管血管母细胞瘤)患者是一种更好的选择,因为消融治疗/手术切除可能带来严重的局部后遗症等风险。鉴于靶向治疗的可用性,识别VHL 综合征的相关病变至关重要,因此,IHC标志物CA IX和 GLUT-1也将成为有前景的诊断工具。特别是在高级别肾透明细胞癌、具有显著固定/热伪影的血管母细胞瘤的小活检中,以及区分血管母细胞瘤与其他颅内肿瘤或区分内淋巴囊肿瘤与中耳乳头状囊性肿瘤时, CA IX和GLUT-1的联合IHC染色具有重要的临床诊断效用。VHL 疾病患者常伴有肾细胞癌病史,由于其他相关病变可能具有相似的形态学特征,因此区分原发性肿瘤和转移性肾细胞癌有挑战性。Pax-8阳性通常是肾组织发病的证据,而有透明细胞特征的其它肿瘤(如血管母细胞瘤和肺乳头状囊腺瘤)缺乏Pax-8表达,这有助于在其他临床和放射学的背景下确定潜在肿瘤的谱系。但Pax-8作为肾谱系标记的效用有一些限制。尽管本研究中的内淋巴囊肿瘤Pax-8 呈阴性,但其他研究报告的结果显示Pax-8 在这种肿瘤中呈阳性,这可能与胚胎发育过程中Pax-8在中耳表达有关。本研究无法检测到Pax-8表达可能是因为使用了Pax-8单克隆抗体,这与之前使用多克隆抗体的研究结果相反。此外,Pax-8阳性常见于乳头状附睾和输卵管系膜囊腺瘤,附睾和输卵管系膜乳头状囊腺瘤、肾乳头状透明细胞癌在形态学和免疫表型上有显著相似,Pax-8、CA IX和CK7 都呈弥漫性阳性。基于HIF介导信号增加的IHC替代标志物的最大效用是可作为一种经济有效的生殖系易感综合征筛查工具。虽然CA IX和GLUT-1等标志物的表达可能无法区分VHL的体细胞和胚系突变,但它们可识别pVHL缺失的病例,并且越来越多地用于肾透明细胞癌、血管母细胞瘤、嗜铬细胞瘤和胰腺浆液性囊腺瘤的诊断。CA IX IHC临床应用增加的一个领域包括对继发于生殖系易感综合征的嗜铬细胞瘤进行组织病理学评估。据统计,约10%病例有VHL基因的体细胞或胚系突变,在具有体细胞或表观遗传pVHL缺陷的非VHL疾病相关肿瘤中也存在膜性CA IX表达,这强化了膜CA IX表达模式是pVHL缺失肿瘤所特有的病理特征这一论点。① 单克隆抗体Pax-8仅在泌尿生殖器病变中表达,反映器官特异性分化,而多克隆抗体可在内淋巴囊肿瘤中表达,因此Pax-8作为肾谱系标记的效用可能与克隆号有关,还需进一步的研究。
② CA IX在本研究所涉及的VHL综合征相关病变中均呈现出弥漫性阳性表达。多数病灶显示完全膜定位,仅有一例嗜铬细胞瘤出现弥漫性细胞质和部分膜定位。
③ 在大部分的病例中也观察到GLUT-1的弥漫性、强表达,但可能不如CA IX稳定。
总体而言,本结果证实了先前关于CA IX和GLUT-1作为IHC标志物的临床应用的发现,它们是跨肿瘤类型的VHL基因突变的标志物。
抗体名称 | 产品编号 | 克隆号 | 细胞定位 |
Pax-8 | MAB-0837 | MX062 | 胞核 |
CA IX | RAB-0615 | 兔多抗 | 胞膜 |
GLUT-1 | MAB-0813 | SPM498 | 胞膜 |
参考文献:
[1] Chatzopoulos Kyriakos, Aubry MarieChristine, Sounak Gupta. Immunohistochemical Expression of Carbonic Anhydrase 9 (CA9), Glucose Transporter 1 (GLUT1), and Paired Box 8 (PAX8) in von Hippel Lindau Disease-Related Lesions.[J]. Human pathology,2022(prepublish).
更多信息,请详询:800-8581156 或 400-889-9853