前言:
我们已经编译介绍了免疫组化中常见上皮性标记的知识点。临床工作中,不同器官、不同类型上皮性肿瘤的免疫组化除常规上皮标记外,还会有某些特殊之处,比如器官特异性标记等。自本期开始,我们将编译介绍不同器官及不同肿瘤类型的免疫组化特点。

呼吸道及肺部肿瘤免疫组化标记
用于上呼吸道肿瘤诊断的免疫组化标记,如某些CK,CD56,Syn,CgA,EBV,NUT,p16;
用于肺部上皮性肿瘤诊断的免疫组化标记,如某些CK,TTF-1,napsin A,p63,p40,CD56,表面活性蛋白(surfactant proteins);
用于肺部间叶性肿瘤诊断的免疫组化标记,如CD1a,langerin(CD207),HMB45,STAT6,CD31,CD34,CD99。
TTF-1
TTF-1中文名称为甲状腺转录因子-1,又称为NKX2-1,其功能为调节甲状腺的发育、分化、基因表达,且在肺、中枢神经系统(间脑)的发育和转录活性方面具有调节作用。需要注意的是,正常成人甲状腺中,TTF-1在滤泡细胞及滤泡旁细胞(C细胞)均有表达;正常肺组织中,TTF-1在II型肺泡上皮、细支气管Clara细胞强阳性表达,气管黏膜中的表达程度稍低。
常规免疫组化检测中,TTF-1广泛用作大部分肺支气管腺癌、肺小细胞癌、甲状腺滤泡癌、乳头状癌、髓样癌的敏感、特异性标记,在肺大细胞癌、甲状腺未分化癌中的表达程度降低。肺部鳞状细胞癌一般为阴性,不过也有报道称某些克隆如SPT24在少数肺部鳞癌中会出现低水平表达。

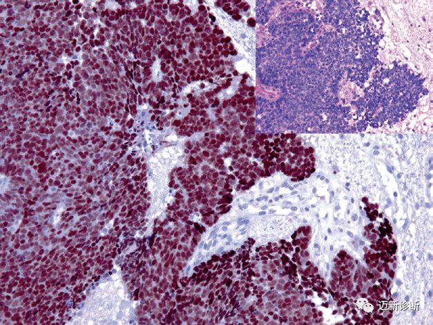
图1. 肺小细胞癌中TTF-1在细胞核强阳性表达。

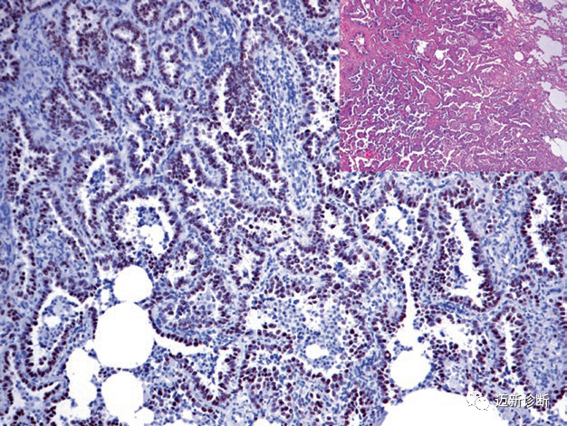
图2. 肺腺癌中TTF-1在细胞核强阳性表达。
阳性表达模式:细胞核
推荐阳性质控组织:甲状腺
Napsin A

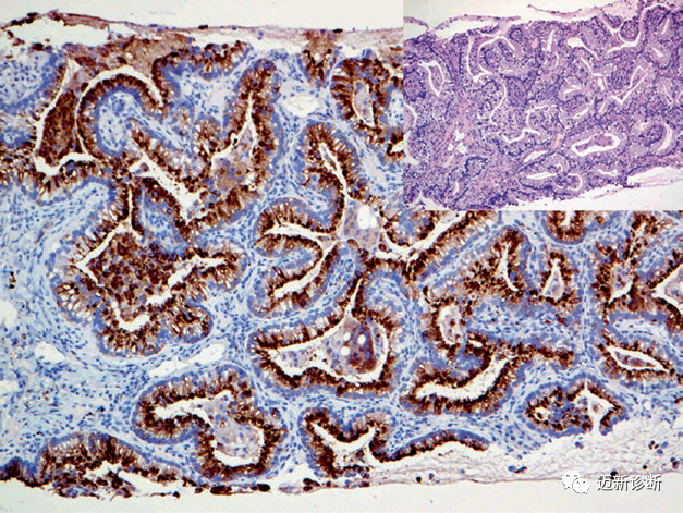
图3. 转移性肺腺癌,免疫组化Napsin A胞质强阳性表达。
阳性表达模式:细胞质
推荐阳性质控组织:肺组织
表面活性蛋白
阳性表达模式:细胞质
推荐阳性质控组织:肺组织
睾丸核蛋白

表1. 上呼吸道肿瘤鉴别诊断免疫组化要点

表2. 肺部肿瘤鉴别诊断免疫组化要点
表2注释
肺部鳞状细胞癌中,高达30%可见CK7阳性表达;因此对肺癌进行分类的时候,应注意加做TTF-1、Napsin A、p40等一组标记;
p16可用于肺原发鳞状细胞癌(阴性)和口咽部鳞状细胞癌转移(因为与HPV感染有关,所以p16多为阳性)的鉴别;
低分化肺腺癌中可能会出现TTF-1的表达缺失;
低分化肺腺癌中常为阳性;
细胞核阳性;
一般见于低分化癌;
常为逗点状着色;
如所用抗体克隆为MIB-1,可见非典型的细胞膜和胞质着色。
1
迈迈:不同克隆的同一种抗体在敏感性和阳性表达上具有差异,例如克隆号为“MX011”或“SPT24”的TTF-1在肺及甲状腺来源的肿瘤中表达的敏感性高于"8G7G3/1",细胞定位均为细胞核;但“8G7G3/1”可在肝细胞和肝细胞肿瘤中表现为特有的细胞质阳性表达,而"MX011"和“SPT24"无此现象,因此在肿瘤的鉴别诊断中,免疫组化抗体克隆的选择也十分重要。
| 抗体名称 | 克隆号 | 阳性对照 | 阳性部位 | 
| TTF-1* | MX011 | 肺腺癌、甲状腺 | 胞核 | 
| TTF-1 | SPT24 | 肺腺癌、甲状腺 | 胞核 | 
| TTF-1 | 8G7G3/1 | 肺腺癌、甲状腺 | 胞核 | 
| Nasin A* | MX015 | 肺腺癌 | 胞质 | 
*标为迈新克隆产品
更多信息,请详询:800-8581156或400-889-9853
| 上一篇肿瘤漫谈——区分肿瘤的... | >>返回 | 下一篇简述免疫组化的重要作... |