前言:
胰腺肿瘤是消化道常见的恶性肿瘤之一,多发于胰头部位,绝大多数胰腺肿瘤来源于胰腺上皮组织。胰腺癌的诊断在临床上较困难,因为胰腺解剖部位较深,而且取材也较难取,所以临床得到的胰腺癌标本也较少。在病理诊断中最多见的胰腺癌是胰腺导管癌,其次还有胰腺腺泡癌、小细胞癌,以及未分化癌、神经内分泌肿瘤等,本期内容主要对胰腺组织病变中常用的免疫组化标记进行介绍和梳理。

胰腺神经内分泌肿瘤病理诊断常用免疫组化指标

(点击可查看大图)
其他胰腺肿瘤病理诊断常用免疫组化指标

(点击可查看大图)
个别指标详解
CA19-9
阳性表达模式:细胞质
推荐阳性质控组织:胰腺组织
PDX-1
阳性表达模式:细胞核
推荐阳性质控组织:胰腺组织

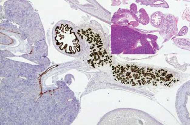
图1. 本例为12周胚胎组织,免疫组化PDX-1在胰腺导管、十二指肠黏膜、胆管黏膜都有表达。
S100P
阳性表达模式:细胞质/细胞核
推荐阳性质控组织:胰腺癌
胰腺炎与胰腺癌鉴别诊断常用免疫组化指标


图2. 胰腺导管腺癌粗针穿刺活检标本(左上),免疫组化恶性腺体表达CEA(右上)及IMP3(左下),而胰岛细胞中这些标记的阳性程度极低。恶性腺体也表达S100P(右下)。
PAX-6

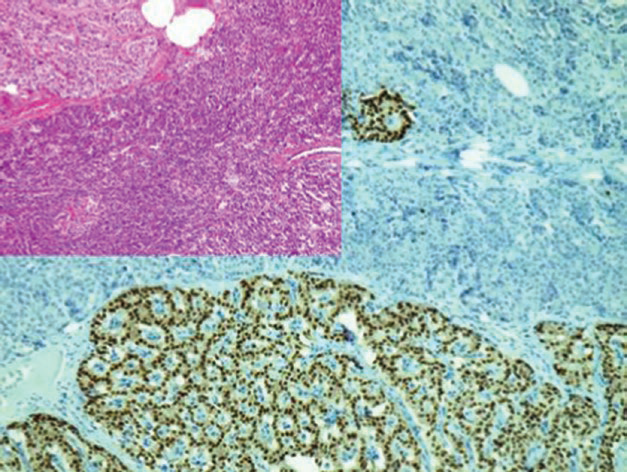
图3. 胰腺神经内分泌肿瘤,G1,免疫组化肿瘤细胞及胰岛中的内分泌细胞表达PAX-6。
1
迈迈:”CA19-9是一种与肿瘤相关的糖类抗原,与Lewis A血型抗原相关。大多数胃肠道和胰腺癌阳性表达,而其他部位肿瘤少见。主要用于胰腺癌,结直肠腺癌、胃癌等肿瘤的研究;亦可用于腺癌与间皮瘤的鉴别诊断。在胰腺病变中,胰腺癌常见IMP3阳性表达,但在胰腺良性肿瘤、胰腺炎性病变或正常胰腺组织中不表达,故可用于胰腺导管腺癌的鉴别诊断。而S100P在胰腺导管腺癌中高表达,而良性的胰腺导管和腺泡腺不表达,此外S100P还是尿路上皮癌的特异性标记物之一。”
抗体名称 | 克隆号 | 阳性对照 | 阳性部位 |
CA19-9 | 121SLE | 胰腺、结肠腺癌 | 胞质 |
IMP3 | EP286 | 胰腺癌、结肠腺癌 | 胞膜/胞质 |
S100P | 16/f5 | 胰腺癌、胎盘 | 胞核/胞质 |
更多信息,请详询:800-8581156或400-889-9853
| 上一篇“迈迈”病理周读笔记第... | >>返回 | 下一篇肿瘤漫谈——肿瘤的诊断... |