
肝、胆常见肿瘤的免疫组化标记情况详见表1
表1. 肝胆肿瘤常用免疫组化标记概述

(点击可查看大图)
备注
标记肿瘤小梁内的窦内皮细胞;正常肝实质不表达或罕见表达
阳性表达的程度与肝细胞肝癌的分化有关;
小胆管顶端着色;
纤维板层型肝癌中强阳性着色,经典型肝细胞肝癌中高达50%着色,但正常肝细胞一般为阴性;
仅多克隆CEA会呈小胆管着色,单克隆抗体时则为阴性;
纤维板层型肝癌为阳性,经典型肝细胞肝癌及正常肝细胞为阴性;
正常肝细胞为阴性;
EPCAM(BerEP-4)在肝样癌一般为阳性,但肝细胞癌为阴性;
CK20和TTF-1阳性为肝外胆管来源的癌的唯一特征;肝内胆管的癌一般为阴性;
CD56阳性仅见于极少量肝内胆管来源的癌。

图1. 肝细胞癌,免疫组化CD34,窦内皮细胞阳性。
表1 中某些指标在其他章节均有相关讲述。需要注意的是,PDX-1对于原发胆管癌较为敏感。TTF-1一般视为肺癌和甲状腺癌的特异性标记,但是胆管癌中也有弱至中等强度的细胞核着色,因此可用于肝脏肿瘤和转移癌的鉴别。
Hepatocyte又称Hep Par-1,该指标与肝细胞线粒体膜上的尿素循环酶反应,同时也表达于肠上皮和肾小管细胞的线粒体。总体来说,该指标是肝组织及肝细胞肿瘤的特异性标记,但也可表达于小肠黏膜、小肠腺癌、包括Barrett黏膜在内的胃和食管肠上皮化生。阳性表达模式:胞质(颗粒状着色)
推荐阳性质控组织:肝组织
一般说来,伴肝细胞分化的肝外肿瘤免疫表型和肝细胞肿瘤一致,因此Hep Par-1、AFP、CD10也为阳性。据报道,肾上腺皮质肿瘤、胃和小肠的腺癌等也可表达,但这类肿瘤不表达精氨酸酶。
精氨酸酶-1(Arginase-1)催化精氨酸转化为鸟氨酸和尿素。对于胃肠道来说,精氨酸酶-1的表达仅限于肝细胞,而胆管上皮、肝脏的窦内皮细胞均不表达。对于肝细胞、肝细胞癌来说,精氨酸酶-1要比Hep Par-1更为特异,原发及转移性肝细胞癌中的阳性率85-100%;且该指标的阳性程度与肿瘤分化级别有关。精氨酸酶-1不同程度的表达还可见于髓系细胞及巨噬细胞。
甲胎蛋白(alpha-fetoprotein,AFP)是一种发现于胎儿肝组织、胎儿消化管、卵黄囊、胎儿血浆中的癌胚蛋白。成人血浆中也有极低水平的AFP。肝细胞癌大部分病例都会有AFP的高水平表达,生殖细胞肿瘤(如卵黄囊瘤)中表达水平稍低。不过,约5%左右的肝细胞癌并不表达AFP。胰腺腺泡细胞癌、胰母细胞瘤、肾细胞癌中也曾报道有AFP的低水平表达。
图2. 肝细胞癌,肿瘤细胞强阳性表达AFP。
阳性表达模式:胞质
推荐阳性质控组织:胎儿肝组织
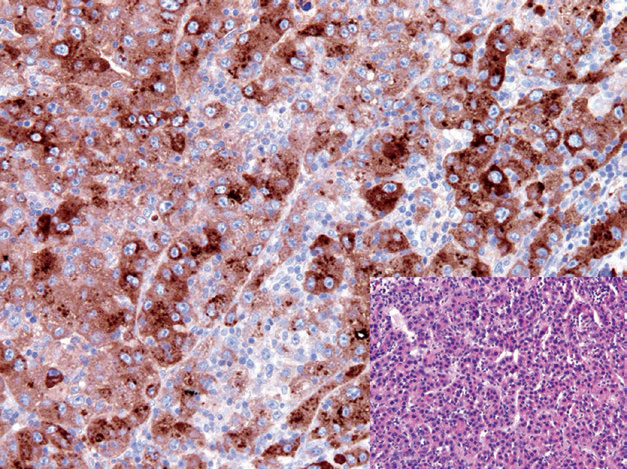
这是一种硫酸肝素糖蛋白,参与胚胎发生过程中的信号通路调节。正常情况下,Glypican-3表达于胎儿组织及滋养细胞。成人组织中,Glypican-3的表达于仅限于少数组织,如胃部腺体和肾小管。不过,该指标在多种上皮及间质性肿瘤中有表达,如肺鳞状细胞癌、小细胞癌、肝细胞癌、肝母细胞瘤、胰腺腺泡细胞癌、神经母细胞瘤、Wilms瘤、卵黄囊瘤、绒毛膜癌、脂肪肉瘤、横纹肌肉瘤。胚胎性癌和精原细胞瘤不表达Glypican-3。Glypican-3有助于肝细胞癌和良性肝组织的鉴别,但一定要注意:硬化肝组织、慢性活动性丙肝、异型增生的肝结节都可能出现该指标的局灶表达。
图3. 肝细胞癌,免疫组化Glypican-3阳性;背景中非肿瘤性肝组织为阴性。
胆盐输出泵(bile salt export pump,BSEP)是ABCB11基因编码的ATP结合盒转运家族成员之一,是位于胆管微绒毛和肝细胞囊泡的膜相关ATP依赖性胆盐转运蛋白,功能是将肝细胞内的结合胆盐转运入小胆管系统。多药耐药蛋白3(multidrug resistance protein 3,MDR-3)是同一转运家族的另一成员,也是一种与肝细胞内胆盐转运有关的跨膜蛋白。BSEP和MDR-3均只表达于肝细胞的胞膜,可用作肝细胞及肝细胞肿瘤的敏感、特异性标记,且可用于鉴别肝细胞肿瘤和胆管肿瘤。热休克蛋白70(heat-shock protein-70,HSP70)是一种抗凋亡调节因子,表达于不同的恶性肿瘤。日常免疫组化检测中,HSP70可用于肝细胞癌和异型增生结节、肝细胞腺瘤的鉴别,后两者为阴性,而前者为细胞核/细胞质的阳性着色。也正是因为多种不同的恶性肿瘤均有HSP70的表达,因此该指标不能用于肝细胞癌和转移癌的鉴别。
迈迈:”Arginase-1是肝细胞腺瘤及肝细胞癌的敏感性和特异性标记物,可联合Glypican-3和Hepatocyte用于原发性肝细胞癌与转移性肿瘤及胆管癌的鉴别诊断。Glypican-3表达于胚胎性肝、肾、肺组织和胎盘组织滋养叶细胞层中,而其他正常组织不表达,在肿瘤性组织肝细胞癌、卵黄囊瘤、绒毛膜癌、黑色素瘤中可见阳性表达,联合使用CD34可用于鉴别良恶性肝细胞肿瘤。”
抗体名称 | 克隆号 | 阳性对照 | 阳性部位 |
Arginase-1 | EP261 | 肝脏、肝癌
| 胞质/胞核 |
Hepatocyte | OCH1E5 | 肝组织、肝细胞癌 | 胞质 |
Glypican-3* | MAXIM001 | 肝癌、胎盘
| 胞质
|
更多信息,请详询:800-8581156或400-889-9853