前言:
上一期文章中我们主要介绍了女性生殖道器官中外阴和阴道肿瘤、子宫颈和子宫体肿瘤以及输卵管和子宫韧带肿瘤的常用免疫组化指标。本期,我们将对卵巢各类肿瘤的常用免疫组化指标进行较为系统梳理、讲解,希望通过此类介绍,对于病理同仁在对应肿瘤免疫组化指标选择上提供一定的借鉴参考。

表1. 卵巢上皮性肿瘤常用免疫组化指标

(点击可查看大图)
备注:
高级别浆液性癌中以高表达为特点,低级别癌中为低表达或阴性;
黏液腺癌及肠型腺瘤中CDX-2和CK20为阳性;
腺瘤和交界性肿瘤中一般为阴性;
基底层上皮细胞表达CK5/6/14。
表2. 卵巢性索间质肿瘤常用免疫组化指标

(点击可查看大图)
表3. 卵巢生殖细胞肿瘤常用免疫组化指标

(点击可查看大图)
表4. 卵巢其他部分肿瘤常用免疫组化指标

(点击可查看大图)
备注:
黏液型子宫内膜样腺癌时,CDX-2可为阳性;
p16和p53阳性一般仅见于平滑肌肉瘤;
胎盘部位结节及胎盘部位过度反应中的Ki-67增殖指数<1%,绒毛膜癌中Ki-67增殖指数>50%。
部分指标详解
WT-1
阳性表达模式:细胞核
推荐阳性质控组织:肾母细胞瘤、间皮瘤等

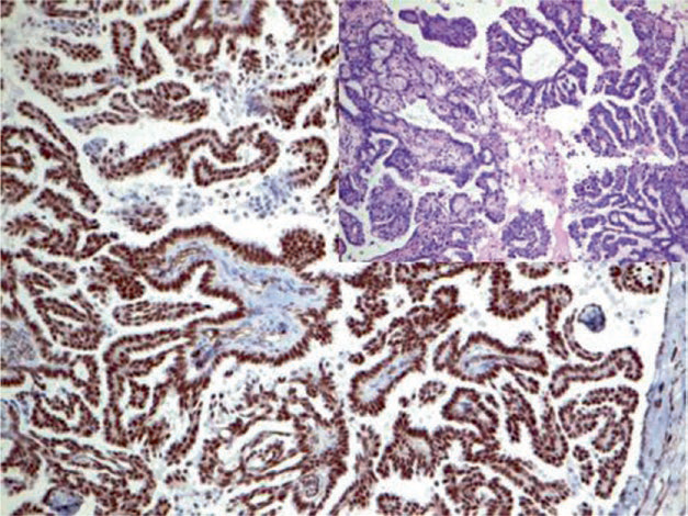
图1. 卵巢浆液性癌,免疫组化WT-1细胞核强阳性。
CA125
阳性表达模式:细胞膜(腔面)
推荐阳性质控组织:卵巢浆液性癌

图2. 卵巢浆液性癌,免疫组化CA125细胞膜着色。
FOXL2
Pax-8
1
迈迈:“CA 125是上皮性卵巢癌尤其是浆液性癌的主要标记物,对浆液性癌与黏液性癌的鉴别诊断具有参考价值。Pax-8在卵巢浆液性癌中高表达, 而在卵巢黏液性癌中几乎不表达。因此,二者的阳性表达,都有其具体的参考意义。而WT-1指标除了在上文提到的重要作用之外,还可用于部分小圆细胞肿瘤的鉴别诊断等。”
抗体名称 | 克隆号 | 阳性对照 | 阳性部位 |
CA 125* | MX055 | 卵巢浆液性癌、输卵管 | 胞质/胞膜 |
Pax-8* | MX062 | 肾透明细胞癌、输卵管 | 胞核 |
WT-1* | MX012 | 肾组织、肾母细胞瘤 | 胞核 |
*标为迈新克隆产品
更多信息,请详询:800-8581156或400-889-9853
| 上一篇“迈迈”病理周读笔记第... | >>返回 | 下一篇神经内分泌瘤独立预后... |