生长抑素 (somatostatin SST)是一种广泛存在于人体各器官,对内分泌、外分泌、旁分泌及自分泌均起作用的调节肽, 在细胞增殖、血管生成及诱导细胞凋亡等方面具有抑制作用。生长抑素的生物学活性是由靶细胞膜上G蛋白偶联的生长抑素受体(somatostatin receptor, SSTR)介导。SSTRs有5种亚型,在正常组织和神经内分泌肿瘤中广泛表达,并具有亚型选择性和组织特异性,SSTR1-3在肿瘤细胞和非肿瘤上皮细胞中表达,而SSTR4仅在上皮细胞表达。例如,在功能性垂体腺瘤组织中,生长激素分泌腺瘤主要表达 SSTR2 和 SSTR5,泌乳素瘤组织中表达 SSTR1、SSTR2、SSTR5,而 SSTR4 的表达则很低。大多数的神经内分泌瘤及其转移灶比正常组织高表达SSTR2。原发性肝脏肿瘤与甲状腺髓样癌中也表现SSTR2高表达。功能上,SSTR3 与SSTR2 均可介导生长抑素的释放,从而抑制内皮细胞增殖以及诱导细胞凋亡,其中SSTR2 参与机体内抗肿瘤反应,而其低表达则有可能促进肿瘤细胞增殖、迁移作用。
神经内分泌肿瘤较为罕见,在全部恶性肿瘤中比例不足1%,多发生于胃、肠、胰腺。根据2019年WHO第五版消化系统肿瘤分类中神经内分泌瘤在分化程度上分为高分化和低分化,前者为前者即为神经内分泌瘤(NETs),后者为神经内分泌癌(NECs)。NECs预后更差不能从生长抑素及其类似物治疗中获益。多研究表明,高分化肿瘤细胞通常有SSTR高表达, 而低分化肿瘤细胞SSTR低表达.刘中元等对56例结直肠神经内分泌瘤患者进行SSTR2免疫组化检测,发现其中SSTR2阳性表达率为76.8%(43/56)。SSTR2的阳性表达与淋巴结转移、肿瘤浸润肌层、出现远处转移关系密切( P <0.05),随着结直肠神经内分泌肿瘤组织分级级别越低、肿瘤最大径的增大、出现肌层浸润、淋巴结出现转移、出现远处转移, 肿瘤恶性程度的增加, SSTR2蛋白低表达越明显。因此SSTR2测可能可以作为结直肠神经内分泌瘤判断的预后指标之一。杨小东的研究也得出同样的结果:121例结直肠标本中,SSTR2低表达58例,高表达63例,接受随访的111例患者5年总生存率为70%,其中SSTR2低表达组(53%)明显低于高表达组(83%)。经分析证实SSTR2表达水平可作为独立预后指标。意大利和日本的2个研究机构中通过对38例神经内分泌瘤患者的52个组织进行SSTR2免疫组化染色(上机和手工方式),邀请3名专业病理医生和医学生采用3个不同的评分系统(Volante评分、Her2评分和H评分)对染色切片进行了独立评估。评估结果显示无论采用何种方式染色和评估者的经验如何,结果的一致性都非常高。其中HER2和H评分能够可靠地代表患者的特征,由HER2评分评估的SSTR2表达与生长抑素类似物的临床疗效显著相关(P=0.04)。
图1:3种不同染色方法检测SSTR2结果进行H-score线性回归和95%置信区间的散点图分析

表1:3个评估者评价3种染色方法检测SSTR2结果的一致性
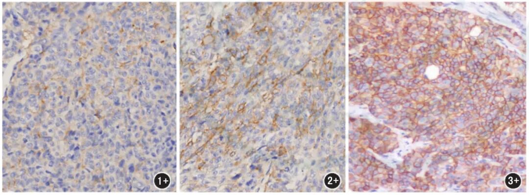
《中国胃肠胰腺神经内分泌肿瘤专家共识(2020版)》指出做神经内分泌肿瘤诊断时,可选用生长抑素标志物以指导临床使用生长抑素类似物治疗。临床多选用生长抑素受体显像技术(SRS)和PET-CT技术进行检测,研究发现,SSTR2表达强度与生长抑素受体功能影像表现成正相关,同样具有预后意义。应用免疫组化进行SSTR2水平检测,更为简便,易于标准化。指南建议SSTR2的染色结果参考胃癌 HER2的判读标准进行评分,即 0分:无染色;1+:至少10%的肿瘤细胞微弱的细胞膜染色;2+:至少10%的肿瘤细胞呈现弱~中等强度的胞膜染色;3+:至少10%的肿瘤细胞呈现强的胞膜染色。
图2:神经内分泌肿瘤SSTR2蛋白表达程度(1+,2+,3+)
因此,应用免疫组化进行SSTR2表达水平检测,找到一个可靠的性能优异的SSTR2抗体是临床应用的关键。迈新SSTR2选用兔单克隆抗体,敏感性高,稳定性好,且少有抗原交叉反应,比其他多克隆抗体效价更高,染色更优异。抗体名称 | 产品编号 | 克隆号 | 阳性部位 |
SSTR2 | RMA-0860 | EP149 | 胞质/胞膜 |
参考文献:
[1]Kasajima A, Papotti M, Ito W, et al. High interlaboratory and interobserver agreement of so-matostatin receptor immunohistochemical determi-nation and correlation with response to somato-statin analogs. Hum Pathol. 2018 Feb;72:144-152.
[2]刘中元,张冲,张黎.生长抑素受体2在结直肠神经内分泌肿瘤中的表达及意义[J].世界华人消化杂志,2016,24(18):2817-2822.
[3]杨小冬, 黄平, 王锋, 等. 生长抑素受体2在结直肠癌中表达与预后的关系 [J] . 中华胃肠外科杂志,2010,13( 12 ): 940-941. DOI: 10.3760/cma.j.issn.1671-0274.2010.12.019
[4]中国胃肠胰神经内分泌肿瘤病理诊断共识 (2020版)中华病理学杂志 2021 年1 月第 50 卷第 1 期