前言:
女性生殖道器官的各个部位几乎均可发生恶性肿瘤,其中以宫颈癌最为多见,其他还有子宫内膜癌、恶性卵巢肿瘤等。随着传统标记物研究的深入以及新标记物的不断发现,免疫组化在女性生殖道肿瘤病理诊断中扮演着越来越重要的角色,我们将这部分内容进行简要梳理,共分为两期进行介绍,希望对病理同仁的诊断工作有所助益。

表1. 外阴及阴道肿瘤常用免疫组化指标

(点击可查看大图)
表2. 子宫颈肿瘤常用免疫组化指标

(点击可查看大图)
备注:
Pax-2一般表达于良性增生的宫颈管腺体;
腺性成分中CK7阳性;
鳞状成分中CK5/6、CK14阳性。
表3. 子宫体肿瘤常用免疫组化指标

(点击可查看大图)
备注:
黏液型子宫内膜样腺癌时,CDX-2可为阳性;
p16和p53阳性一般仅见于平滑肌肉瘤;
胎盘部位结节及胎盘部位过度反应中的Ki-67增殖指数<1%,绒毛膜癌中Ki-67增殖指数>50%。
表4. 输卵管及子宫韧带肿瘤的常用免疫组化指标

备注:
在浆液性输卵管上皮内癌中弥漫性表达,但正常输卵管黏膜中仅有少数散在细胞表达。
部分指标详解
p16
阳性表达模式:细胞核/细胞质
推荐阳性质控组织:子宫颈鳞状细胞癌

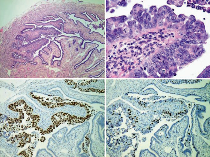
图1. 浆液性输卵管上皮内癌,HE染色切片中可见输卵管上皮具有显著异型性;连续切片免疫组化检测,这些细胞p53呈细胞核强阳性着色,Ki-67增殖指数约15%。
Pax-8
HNF1β
PTEN
类固醇激素受体
1
迈迈:“p16与HPV感染所致宫颈癌密切相关,亦可辅助浆液性癌与其他类型肿瘤的鉴别诊断,在高级别病变诊断中,p16的表达与组织学诊断标准相似,能提高病理医生诊断的准确性,更准确预测高级别病变的风险。而现有研究发现Pax-8在肾、膀胱和甲状腺肿瘤的一些亚型及卵巢恶性肿瘤中表达,在乳腺癌、肺癌和恶性间皮瘤等多数上皮肿瘤中不表达。因此,Pax-8可作为判断肿瘤原发部位和肿瘤鉴别诊断的有效标记物。此外,相比子宫浆液性癌,高级别子宫内膜样癌常见PTEN表达缺失,因而可用于子宫浆液性癌与内膜样癌的鉴别诊断。而HNF1β是良好的卵巢透明细胞癌指标,亦可作为睾丸生殖细胞肿瘤的标记物,连用Glypican-3 可用于区分卵黄瘤与其他生殖细胞肿瘤。”
抗体名称 | 克隆号 | 阳性对照 | 阳性部位 |
p16* | MX007 | 宫颈鳞癌、扁桃体 | 胞核/胞质 |
Pax-8* | MX062 | 肾透明细胞癌、输卵管 | 胞核 |
PTEN | 6H2.1 | 前列腺增生 | 胞核 |
HNF1β* | MX092 | 肾透明细胞癌、阑尾 | 胞核 |
*标为迈新克隆产品
更多信息,请详询:800-8581156或400-889-9853