
图1. 卵黄囊瘤中,细胞核强阳性表达SALL-4。
具体病例的解读中需要注意,SALL-4不仅表达于生殖细胞肿瘤,还可标语的部分非生殖细胞肿瘤,如卵巢浆液性癌、肺腺癌、胆管癌、尿路上皮癌、小细胞癌。阳性表达模式:细胞核
推荐阳性质控组织:精原细胞瘤
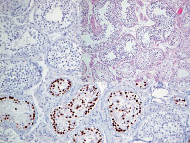
OCT-4表达于早期的胚胎细胞,在多潜能干细胞的分化中发挥重要作用。OCT-4高表达,是精原细胞瘤、胚胎性癌的特征,而精母细胞型精原细胞瘤并不表达。同时,小管内生殖细胞肿瘤中,异型的细胞大部分细胞核表达OCT-4,但非肿瘤性睾丸细胞并不表达,因此该指标有助于小管内生殖细胞肿瘤的诊断并有特异性。
图2. 精原细胞瘤中,OCT-4在瘤细胞的细胞核呈阳性表达。

图3. 原位生殖细胞肿瘤中,瘤细胞表达OCT-4。
需要注意的是,部分肺的非小细胞癌、乳腺癌会有OCT-4的表达;睾丸及睾丸外弥漫大B细胞淋巴瘤中,部分病例也会有这一指标的表达。阳性表达模式:细胞膜
推荐阳性质控组织:精原细胞瘤
PLAP是一种膜相关的糖蛋白,主要表达于妊娠第8周起的胎盘合体滋养细胞。部分生殖细胞肿瘤可表达这一标记,如精原细胞瘤、无性细胞瘤、胚胎性癌、卵黄囊瘤、性腺母细胞瘤。正因为PLAP并非某种具体生殖细胞肿瘤所特有,因此PLAP阳性生殖细胞肿瘤鉴别时,应注意联合采用一组指标。 罕见情况下,非生殖细胞肿瘤也可出现PLAP的异常表达,如乳腺癌、肺癌。此外,有报道称伴肌性分化的肿瘤中,可出现PALP的胞质着色,具体如胚胎性横纹肌肉瘤、平滑肌肿瘤。阳性表达模式:细胞核
推荐阳性质控组织:精原细胞瘤
SOX-2是一种转录因子,在DNA水平与OCT-4形成三聚体复合物,并控制呼吸道、神经系统、生殖细胞胚胎发育过程中诸多基因的表达。对于生殖细胞肿瘤来说,胚胎性癌中SOX-2在细胞核强阳性表达,但精原细胞瘤、卵黄囊瘤、绒毛膜癌中为阴性。SOX-2还可表达于脑的神经胶质肿瘤及幕上PNET。除此之外,部分肺鳞癌和腺癌中也可见SOX-2的表达。也有报道称部分神经内分泌癌中SOX-2阳性。D2-40是一种I型跨膜黏液蛋白,本系列文章后续血管源性肿瘤中会对此有详细讲述。D2-40对于精原细胞瘤的诊断极有帮助,因为在其他生殖细胞肿瘤该指标为阴性。由于D2-40在精原细胞瘤的瘤细胞和淋巴管均为阳性,因此还可作为淋巴管血管侵犯的的有用标记。阳性表达模式:细胞质
推荐阳性质控组织:胎盘
HCG是由合体滋养细胞产生的激素,由α和β两条链构成。其中,α链与其他激素如LH、FHS、TSH等具有相同的氨基酸排列顺序,而β链结构独特,对于合体滋养细胞及相关肿瘤更为特异。需要注意的是,非合体滋养细胞肿瘤中也可出现β-HCG的低水平表达,如肺癌、结肠癌以及罕见情况下的淋巴瘤。一般说来,非滋养细胞肿瘤中表达β-HCG意味着侵袭性生物学行为。
CD30在淋巴瘤部分我们已经做了详细阐述,该指标是霍奇金淋巴瘤、间变性淋巴瘤诊断中的重要标记物。此外,CD30阳性还是胚胎性癌的特征。罕见情况下,卵黄囊瘤中可出现CD30的弱阳性着色,在混合性生殖细胞肿瘤的鉴别诊断中需要注意这一现象。

阳性表达模式:细胞质
推荐阳性质控组织:粒层细胞瘤/肾上腺
Inhibin是转运生长及分化因子家族成员,这是一种由α亚基和β亚基构成的糖蛋白激素,表达于肾上腺及性腺,功能为FHS分泌的抑制剂,并刺激卵巢卵泡膜细胞中雄激素的合成。针对inhibin α的抗体、抗苗勒激素、Melan A是性索肿瘤诊断的重要标记物,卵巢表面上皮-间质肿瘤、精原细胞瘤、胚胎性癌中,inhibin α、抗苗勒激素均为阴性。需要注意的是,inhibin α和Melan A也可表达于其他肿瘤,主要是肾上腺皮质肿瘤。抗苗勒激素属于转运生长因子β基因家族成员,其表达受SF-1、GATA、DAX1、FSH的调节。抗苗勒激素通过抑制苗勒管形成、阻滞苗勒管转化为子宫、输卵管及其他苗勒结构而调控男性性分化,且在睾丸分化中发挥重要作用。如果没有抗苗勒激素,则苗勒管分化、Wolffian管萎缩。出生后,抗苗勒激素还可由Sertoli细胞表达于男性及女性,粒层细胞中也有较低水平表达。因此抗苗勒激素是Sertoli细胞瘤及粒层细胞瘤诊断中的重要免疫组化标记,其他性索间质肿瘤一般为阴性。
SF-1的更多细节,将在肾上腺皮质肿瘤章节详细讲述。本期需要了解的是,SF-1是Sertoli细胞瘤和粒层细胞瘤的敏感标记,Leydig细胞瘤并不表达该标记。本系列文章此前章节中,已有关于Glypican-3的详细讲述。对于生殖细胞肿瘤来说,Glypican-3是卵黄囊瘤和绒毛膜癌的特异性标记,而胚胎性癌、精原细胞瘤一般并不表达。后续神经内分泌肿瘤章节中,将对CD56有详细讲述。对于卵巢和睾丸的性索间质肿瘤来说,CD56标记较为敏感,但缺乏特异性,因为该指标在很多其他肿瘤中可以表达。CD56联合inhibin α、Melan A,可更加精准的对性索肿瘤做出诊断。附睾及精囊的细胞、以及由这些细胞而来的癌强阳性表达Pax-8,因此该指标可用于鉴别前列腺癌和精囊来源的癌。
迈迈划重点:“CD30是霍奇金淋巴瘤、间变性淋巴瘤诊断中的重要标记物,在生殖细胞肿瘤中也可见阳性表达,可用于胚胎性癌和睾丸精原细胞瘤的鉴别诊断。D2-40除应用于生殖细胞肿瘤外,通常也用于标记组织中淋巴管内皮,有助于淋巴管内皮细胞源性肿瘤的诊断及判断其他肿瘤组织是否发生淋巴管浸润和转移。SALL4在肿瘤组织中高表达与肿瘤患者预后不良显著相关,主要用于生殖细胞肿瘤的诊断,亦可作为肝癌患者生存期和复发的独立预后因素等。”
抗体名称 | 克隆号 | 阳性对照 | 细胞定位 |
CD30 * | MX080 | 霍奇金淋巴瘤、胚胎性癌
| 胞膜/胞质 |
D2-40 | D2-40 | 小肠组织、间皮瘤 | 胞质/胞膜 |
HCG | CG04+CG05
| 胎盘、绒毛膜癌
| 胞质
|
Inhibin α * | MX098 | 卵巢颗粒细胞瘤、肾上腺皮质腺瘤 | 胞质 |
PLAP | SP15
| 胎盘、精原细胞瘤 | 胞膜
|
SALL-4
| 6E3 | 睾丸精原细胞瘤、胚胎性癌 | 胞核 |
更多信息,请详询:800-8581156或400-889-9853