腹膜肿瘤诊断免疫组化概述
对于腹膜肿瘤诊断来说,首要问题是根据形态学考虑方向的不同选择恰当的指标。具体说来,间皮肿瘤常用免疫组化标记有calretinin、血栓调节蛋白(thrombomodu-lin,CD141)、mesothelin、podoplanin(D2-40)、WT-1、GLUT-1、BAP-1、h-caldesmon、CD146、某些CK;苗勒源性上皮性肿瘤常用免疫组化标记有部分CK、CEA、CA125、Pax-8、WT-1、p53、p16;平滑肌肿瘤常用免疫组化标记则为Actin、h-caldesmon、calponin、部分CK;来源未明及其他部分腹膜原发肿瘤的常用免疫组化标记则可能涉及CD34、CD99、DOG-1、Actin、h-caldesmon、Desmin、ALK、某些CK。
尽管腹膜肿瘤类型繁多,但重中之重仍是间皮瘤。对于间皮瘤的诊断来说,首先要认识到,间皮瘤并无均一形态学表现,具体可呈上皮样、肉瘤样、促纤维结缔组织增生性、双相型表现,且其免疫组化表型也有诸多变化。实际工作中还要注意加做其他肿瘤相对特异性的指标来排除其他,如TTF-1、CDX-2、CEA、ER/PR、CD15等,这些在间皮瘤中均为阴性。其次是间皮病变良恶性的判断,这方面部分免疫组化指标有很大帮助。
(点击可查看大图)
所有类型的间皮瘤都会表达广谱CK及CK5/6、CK7、CK8、CK10、CK14、CK18;但仅靠CK无法区分间皮瘤和转移癌。同时要注意,间皮下纤维母细胞一般也会表达广谱CK及某些CK,此时可能会造成误诊误判。阳性表达模式:细胞质
推荐阳性质控组织:阑尾
Calretinin是一种细胞间神经元特异性钙结合的维生素D依赖性蛋白,表达于多种上皮、间质及中枢、外周神经组织。正因为该指标是神经元特异性相关蛋白,因此可用于先天性巨结肠诊断时在结肠活检标本中显示神经节细胞。该指标在正常及肿瘤性间皮细胞强阳性表达,因此是重要的间皮标记。该指标同时也是肥大细胞和产类固醇细胞、及这些细胞来源肿瘤的标记,后者具体如性索间质肿瘤中的粒层细胞瘤、Sertoli细胞瘤、Leydig细胞瘤、性腺母细胞瘤,以及肾上腺皮脂肿瘤。约三分之一的鳞状细胞癌会有不同程度的calretinin表达。同时该指标还广泛表达于多种软组织肿瘤,如滑膜肉瘤、软骨肉瘤、促纤维结缔组织增生性小圆细胞肿瘤、脂肪瘤、脂肪肉瘤。因为该指标的表达谱系如此宽泛,因此仅calretinin阳性不足以诊断间皮瘤。
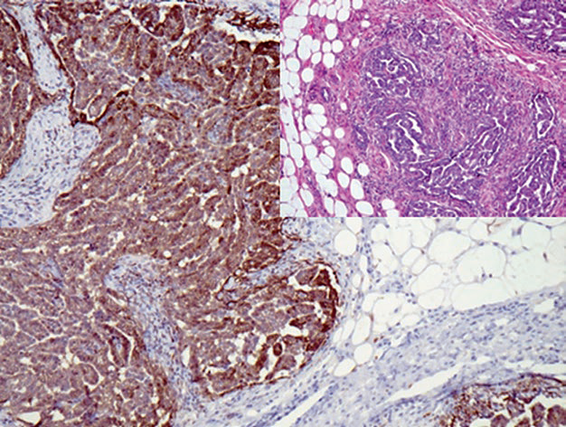
图1. 免疫组化calretinin,清晰的显示出浸润至胸壁的间皮瘤。
阳性表达模式:细胞膜
推荐阳性质控组织:阑尾
CD141即血栓调节蛋白(thrombomodulin,也称为内皮抗凝蛋白),是一种表达于内皮细胞表面的跨膜糖蛋白,参与血管内凝血的调节。该指标可表达于间皮细胞、鳞状上皮、尿道的移行上皮,因此可用于间皮瘤、移行细胞癌、鳞状细胞癌、血管肿瘤的筛查;但肉瘤样间皮瘤中一般为阴性。CD141阳性肿瘤的鉴别也很关键,此时应加做其他相应特异性标记。肾细胞癌、前列腺癌、胃肠道腺癌、子宫内膜样癌中CD141均为阴性。
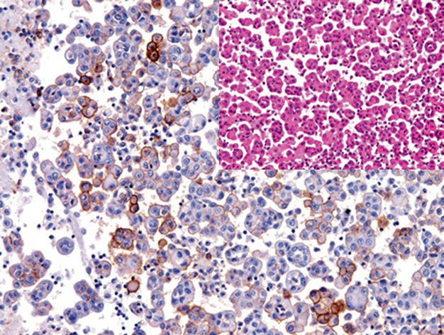
图2. 恶性胸腔积液中,间皮瘤细胞CD141阳性。
阳性表达模式:细胞膜
推荐阳性质控组织:阑尾
Mesothelin是一种位于间皮及部分其他类型上皮细胞表面的糖蛋白,因此该指标不仅在间皮瘤阳性,在其他癌也可有阳性表达,如卵巢癌、胰腺癌、肺癌及某些腺癌。一般该指标用于筛查,不能将其作为间皮瘤特异性标记,且肉瘤样间皮瘤并不表达。关于WT-1,在前述章节已有详述,同时这也是一种重要的间皮标记。间皮瘤中的WT-1为细胞核阳性,因此可与其他细胞膜着色的标记联合应用于双染。
如前所述,D2-40(podoplanin)是一种表达于淋巴管内皮的黏蛋白,但却并不特异,还可表达于脑膜细胞、生殖细胞、生殖细胞肿瘤、间皮细胞、间皮瘤及诸多其他间质性肿瘤。
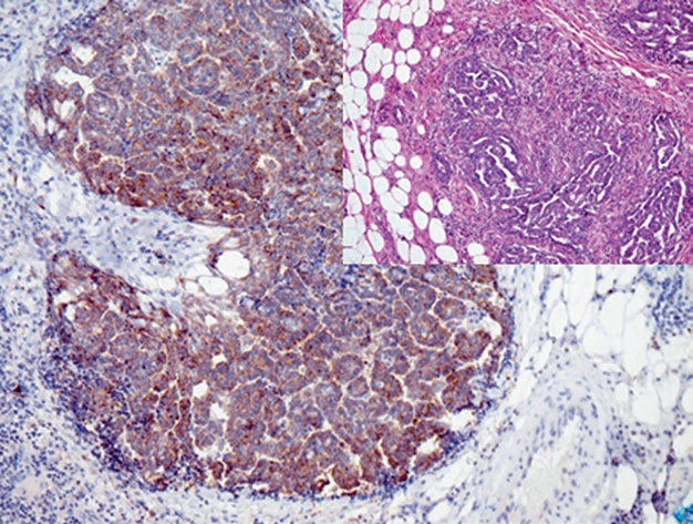
图3. 免疫组化D2-40,清晰的显示出浸润至胸壁的间皮瘤。
阳性表达模式:细胞膜
推荐阳性质控组织:间皮瘤
该指标其实并无组织特异性,诸多上皮肿瘤及非上皮性肿瘤中均有表达。实际诊断工作中,该指标可能是恶性转化的标记,因为很多恶性上皮性及非上皮性肿瘤中有过表达。该标记还有助于鉴别血管瘤(一般为阳性)和血管畸形、化脓性肉芽肿、肉芽组织(不表达GLUT-1)。不过,GLUT-1是缺氧诱导因子靶向基因,因此缺氧区域也可出现该指标的过表达。该指标表达于胎儿组织及多种恶性前驱和恶性组织、成人的良性组织一般不表达,但卵巢、睾丸、胎盘、内分泌细胞、脑组织例外。日常工作中,IMP3用于恶性及反应性增生病变的鉴别。与GLUT-1一样,IMP3也有助于间皮瘤和反应性间皮增生的鉴别,因为大部分良性间皮细胞都不表达该指标。IMP3也是霍奇金细胞的标记,但同时可表达于某些滤泡旁母细胞或B细胞淋巴瘤中的某些细胞。此外,IMP3还有助于子宫内膜浆液性癌(阳性)和子宫内膜样癌(阴性)的鉴别。
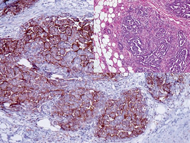
图4. 恶性间皮瘤表达IMP3。
BAP-1是一种转录调节因子及肿瘤抑制因子,多种恶性肿瘤中会有相应基因不同区域的缺失,如间皮瘤、葡萄膜及皮肤的恶性黑色素瘤、肾脏透明细胞癌、肺腺癌、脑膜瘤。对于不同类型的肿瘤来说,BAP-1表达缺失与侵袭性行为有关。常规免疫组化中,BAP-1有助于鉴别恶性间皮瘤、恶性黑色素瘤(二者均无BAP-1的细胞核阳性)和反应性间皮增生、良性黑色素细胞病变(二者均为BAP-1阳性)。BAP-1鉴别良性及恶性病变时,文献报道其敏感性高达90%;FISH检测p16也有助于二者鉴别。
迈迈推荐:“在本期内容中,我们对腹膜肿瘤诊断免疫组化常用指标进行了较为系统的梳理和介绍,而在具体诊断过程中,抗体选择也十分重要,抗体的性能和质量将关系着诊断的结果。”
抗体名称 | 克隆号 | 阳性对照 | 细胞定位 |
CK5&6* | MX040 | 食道鳞癌、前列腺
| 胞质 |
CK7*
| MX053
| 卵巢粘液性癌、肺腺癌
| 胞质 |
CK8* | MX004 | 肝脏、阑尾 | 胞质
|
CK14*
| MX057 | 肺鳞癌、食道鳞癌
| 胞质 |
CK18* | MX035 | 肝脏、阑尾 | 胞质
|
Calretinin*
| MX027 | 间皮瘤、阑尾
| 胞质/胞核 |
D2-40 | D2-40 | 小肠组织、间皮瘤 | 胞质/胞膜
|
GLUT-1
| SPM498 | 胎盘、结肠腺癌
| 胞膜 |
| IMP-3 | EP286 | 胰腺癌、结肠腺癌 | 胞膜/胞质 |
| WT-1* | MX012 | 肾组织、肾母细胞瘤 | 胞核 |
更多信息,请详询:800-8581156或400-889-9853