淋巴组织肿瘤包括淋巴瘤和淋巴组织中其他细胞来源的肿瘤,如组织细胞和树突状细胞来源的肿瘤等。而淋巴瘤更是病理分型和临床表现极其复杂、疑难病例较多的一类恶性肿瘤。免疫组化对淋巴组织肿瘤诊断的诊断起到了十分关键的作用,特别是在推动肿瘤诊疗精细化的进程中,作用凸显。
淋巴组织肿瘤诊断免疫组化概述
淋巴组织是由不同成熟阶段的B淋巴细胞、T淋巴细胞、NK淋巴细胞构成的微环境,同时还包括不同分化阶段的浆细胞、组织细胞、树状突细胞、网状细胞、粒细胞等。对于淋巴瘤的诊断来说,上述所有成分可能都要注意考虑。
淋巴瘤的诊断中,通过某些指标进行初步筛选很有帮助;更为特异性的指标主要用于更加精准的诊断。本章所介绍的指标及相关知识,也主要针对诊断方向而言。最终的诊断,必须是组织形态学、免疫表型(免疫组化及流式细胞)、遗传分析基础上的综合判定。需要指出的是,本文中对于淋巴瘤分类的考虑,是采取世界卫生组织淋巴组织肿瘤分类2016年修订版中的相关方案。淋巴瘤初筛常用指标概述
如前所述,淋巴组织的构成非常复杂;根据病变的构成不同,淋巴瘤初筛常用指标一般有:CD45(LCA)、TdT、B细胞标记、T细胞标记、Ki-67。CD5和CD10可用于淋巴瘤的诊断及进一步分类,但二者均无谱系特异性,B细胞淋巴瘤、T细胞淋巴瘤中均可出现阳性表达,且可表达于其他非淋巴细胞性肿瘤。阳性表达模式:细胞膜
推荐阳性质控组织:阑尾
CD45又称淋巴细胞共同抗原(leukocyte common antigen,LCA),表达于除成熟红细胞及其直接前体细胞、巨核细胞、血小板之外的其他所有造血及血液细胞中;因此该指标是造血系统肿瘤及淋巴细胞肿瘤的特异性标记物。不过,约3%以下的B细胞淋巴瘤、约30%的前体B细胞淋巴瘤、T淋巴母细胞淋巴瘤(或急性淋巴细胞性白血病)不表达CD45。因此对于可疑病例,还要加做其他淋巴相关标记。 需要注意的是,极为罕见的情况下,未分化癌、神经内分泌癌、小细胞癌可出现CD45的细胞膜阳性表达。坏死的癌组织也可出现该指标的细胞膜着色,当然,其他指标在坏死癌组织也会出现类似情况,这是大家比较熟悉的一种假阳性。 阳性表达模式:细胞核
推荐阳性质控组织:T淋巴母细胞淋巴瘤
TdT是一种细胞核的DNA聚合酶,主要表达于B淋巴细胞前体和T淋巴细胞前体;因此,这一抗体是B细胞起源、T细胞起源前体细胞淋巴瘤的特异性标记,也就是急性淋巴母细胞白血病的特异性标记。需要注意的是,Merkel细胞癌中TdT阳性比例很高,且这一肿瘤也可表达Pax-5。阳性表达模式:细胞膜/细胞质
推荐阳性质控组织:阑尾/扁桃体
尽管CD10从名字上看属于簇分化抗原(Cluster of Differentiation)系列,但这是一种锌依赖性细胞膜金属蛋白酶,涉及神经肽及血管活性肽分泌后的处理,也并无细胞谱系特异性或肿瘤特异性,因此可表达于淋巴细胞、上皮细胞、间质细胞等多种组织及相关肿瘤。同时需要指出的是,根据肿瘤类型不同,CD10的阳性表达方式(细胞膜或细胞质)也高度不一,但与肿瘤的级别无关;细胞质表达一般见于低分化癌。阳性表达模式:细胞膜
推荐阳性质控组织:阑尾/扁桃体
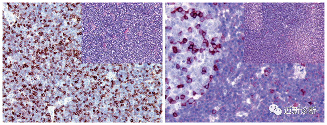
CD5又称淋巴细胞抗原T1(lymphocyte antigen T1,Leu-1),这是一种糖蛋白受体,表达于大部分T淋巴细胞、部分B淋巴细胞(包括边缘区淋巴细胞);该指标是表达于不同的T细胞肿瘤,如前体T淋巴母细胞白血病、成人及外周T细胞淋巴瘤、蕈样真菌病、T细胞大颗粒淋巴细胞白血病。如前所述,CD5的表达不仅限于T淋巴细胞,还可见于少数B淋巴细胞及B细胞来源的淋巴瘤,后者主要为套细胞淋巴瘤及B细胞来源的慢性淋巴细胞白血病。
图1. (左)B细胞来源的慢性淋巴细胞白血病,CD5为弱至中等程度表达;(右)套细胞淋巴瘤,CD5为细胞膜中等程度表达。图中强阳性表达的是T淋巴细胞。CD5的表达也并不局限于淋巴组织,还可表达于不同来源的腺癌、肾细胞癌、肾上腺皮质癌、鳞状细胞癌。间皮瘤、移行细胞癌、鳞状细胞癌、不同来源的腺癌中,该标记可为局灶弱阳性表达;此外,该指标还是非典型胸腺瘤及胸腺癌的诊断标记。Ki-67表达于细胞分裂的活化阶段,具体起始于G1期,S期、G2期、M期持续表达,表达峰值出现于M期早期,在M期末迅速被分解,半衰期1-1.5小时。在G0期或G1期的起始阶段检测不到。DNA修复过程中,也无Ki-67表达。常规工作中,Ki-67用于细胞增殖的评估,其阳性程度与细胞增殖活性、肿瘤级别密切相关。同时,Ki-67增殖指数对于肿瘤良性、中间型、恶性或低级别、高级别的鉴别来说,也是非常重要的指标。此外,还可用于萎缩、热损伤和异型增生的鉴别。
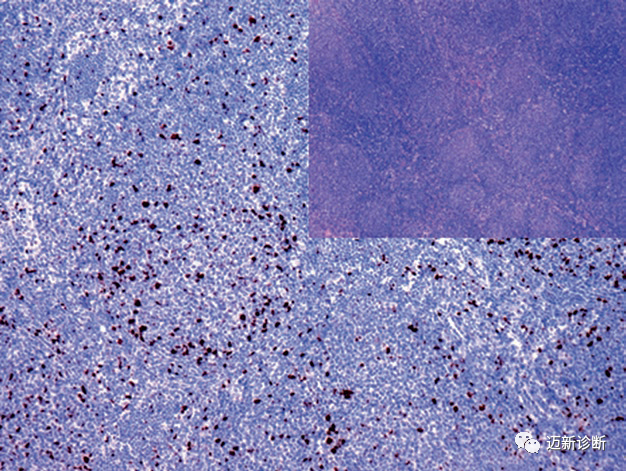
图2. 1-2级滤泡性淋巴瘤中,肿瘤性滤泡的增殖指数低。少数肿瘤中,Ki-67增殖指数几乎为100%,具体如肺的小细胞癌、Burkitt淋巴瘤、浆母细胞淋巴瘤,这也是相关肿瘤的诊断线索之一。常规血液病理工作中,Ki-67增殖指数是淋巴瘤低度恶性、高度恶性区分的重要指标。此外,Ki-67增殖指数是肿瘤生物学行为区分的重要预后指标,如乳腺癌、神经内分泌肿瘤。
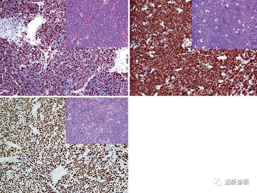
图3. Ki-67增殖指数接近100%的肿瘤类型:(左上)肺小细胞癌;(右上)Burkitt淋巴瘤;(左下)浆母细胞淋巴瘤。不过,Ki-67免疫组化染色及评估仍缺乏标准化,因此观察者间存在相当大的差异,这一点显著阻碍了其临床应用。
迈迈推荐:“由于篇幅所限,我们将分多期对淋巴组织肿瘤诊断免疫组化指标进行较为系统的梳理和介绍,敬请期待。本期迈迈为您推荐以下抗体,您不妨可以试试哦。”
抗体名称 | 克隆号 | 阳性对照 | 细胞定位 |
CD5* | MX052 | 扁桃体、胸腺
| 胞膜 |
CD10*
| MX002
| 扁桃体、肾脏
| 胞质/胞膜 |
CD45 | PD7/26+2B11
| 扁桃体、阑尾 | 胞膜
|
TDT*
| MX010 | 胸腺瘤
| 胞核 |
Ki-67* | MXR002 | 扁桃体、乳腺癌 | 胞核
|
Ki-67*
| MX006 | 扁桃体、乳腺癌
| 胞核 |
更多信息,请详询:800-8581156或400-889-9853