在肿瘤的诊断中,HNF1β 的表达与肝癌病理类型具有一定的相关性,即在肝内胆管细胞癌中高表达,在肝细胞癌中表达。HNF1β 胚系突变易发生肾脏肿瘤,提出了HNF1β作为肾脏嫌色细胞癌的抑癌基因。可作为HNF1β突变可导致年轻人的肾囊肿和成人期糖尿病(MODY5)。另有报道HNF1β还是卵巢癌鉴别诊断的特异标记物。
Tsuchyia等于2003年应用寡聚核苷酸阵列技术研究卵巢透明细胞癌与非透明细胞癌的差异基因表达,结果发现 HNF1β 在透明细胞癌中表达明显上调,并分别应用 RT-PCR、免疫印迹和免疫组化法证实HNF1β 属于卵巢透明细胞癌非常特异性的标志物。Nemegecova等在了解HNF1-β在子宫内膜病变中的基因变化时,发现在卵巢透明细胞癌中存在截短型变异。该研究在卵巢透明细胞癌患者中发现了4个序列变异和1个错义突变,无义突变会导致翻译过早终止,而错义变体会对蛋白的功能产生破坏性影响。Ka-to等分析30例卵巢透明细胞肿瘤中 HNF1β 的表达,结果显示所有病例均表达 HNF1β,且12例伴有子宫内膜异位症上皮的病例中 9 例异位的子宫内膜上皮亦表达 HNF1β,但其他类型卵巢上皮性肿瘤(子宫内膜样、浆液性、黏液性和 Brenner)均罕见表达 HNF1β,该研究进一步证实 HNF1β 是卵巢透明细胞肿瘤包括良性、交界性和恶性透明细胞肿瘤较好的标志物。同时子宫内膜异位症中表达HNF1β,具有容易恶变为卵巢透明细胞癌的潜能。熊克美等采用免疫组化EnVision法检测了108例上皮性癌。结果为卵巢透明细胞癌均不同程度表达HNF1β,阳性率为85.2%(27/27);卵巢高级别浆液性癌中 HNF1β阳性率为2.9%(4/35);卵巢子宫内膜样腺癌中HNF1β阳性率为 23.8%(5/21);卵巢黏液性癌中 HNF1β 均呈核阳性,阳性率为 60.0%(10/10); Krukenberg 瘤均可见 HNF1β 呈不同程度核阳性,阳性率为 53.8%(13/13);2例卵巢移行细胞癌均不表达 HNF1β。HNF1β 诊断卵巢透明细胞癌的敏感性和特异性分别为 85.2%和 76.5%。结论可知HNF1β 是一种敏感性较高的卵巢透明细胞癌标志物,HNF1β 弥漫强阳性对诊断卵巢透明细胞癌具有较高的特异性,尤其是区分伴有透明细胞改变的卵巢浆液性癌和子宫内膜样癌。
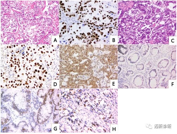
图1. HNF1β 在卵巢透明细胞癌中的表达;A. 肿瘤细胞呈巢状分布,胞质透亮,有坏死;B. HNF1β 定位于细胞核, 呈黄色;C. 肿瘤细胞呈乳头状,细胞靴钉样, 异型明显;D. HNF1β 定位于细胞核,呈棕褐色; E. HNF1β在浆液性癌中呈黄色,较模糊; F. HNF1β 在子宫内膜样癌中呈棕黄色,较模糊; G. HNF1β在黏液性癌中呈棕褐色; H. HNF1β 在转移性 Krukenberg瘤中呈核阳性。
Rougeont等在2018年报道了45例睾丸和卵巢生殖细胞肿瘤中HNF1β的表达情况,认为其是诊断卵黄囊瘤的一种敏感而可靠的标记物。Gallo等采用免疫组化染色研究了601个睾丸生殖细胞肿瘤中HNF1β在组织芯片(TMA)中的表达情况,其中包括了精原细胞瘤、胚胎癌、卵黄囊瘤、绒毛膜癌、畸胎瘤、原位生殖细胞瘤和正常组织。并与推荐用于检测卵黄囊瘤的标记磷脂酰肌醇聚糖3(GPC3)和α-甲胎蛋白(AFP)进行了比较。研究发现,HNF1β(细胞核染色)表现出了与GPC3和AFP(细胞质染色)不同的染色模式。HNF1β的敏感性和特异性分别为85.4%和96.5%,GPC3分别为83.3%和90.7%,AFP分别为62.5%和97.7%。HNF1β敏感性高于AFP,特异性也比GPC3更高。核表达的模式更容易判读,因此,HNF1β是卵黄囊瘤的一个特异标记。
图2. HNF1β在不同卵黄囊瘤中的表达模式;A.混合胚胎性;B.巨囊型;C.肝样;D.实性;E.腺性;F.微囊/网状。
抗体名称 | 产品编号 | 克隆号 | 阳性部位 |
HNF1β* | MAB-0884 | MX092 | 胞核 |
参考文献:
[1] Alessandra Gallo, Christian Fankhauser, Thomas Hermanns et al. HNF1β is a sensitive and specific novel marker for yolk sac tumor:a tissue microarray analysis of 601 testicular germ cell tumors. Modern Pathology. 19 June 2020
[2] 熊克美,黄文斌,王劲松,等.卵巢透明细胞癌中HNF-1β的诊断价值[J].临床与实验病理学杂志,2015(3):282-285.
[3]王劲松, 李青, 程雪, 等. HNF-1β和Napsin A联合检测在卵巢透明细胞癌诊断中的价值 [J] . 中华病理学杂志,2015,44 (12): 874-878.