
B细胞淋巴瘤免疫组化常用指标概述
B细胞淋巴瘤诊断中常用免疫组化指标有:CD5、CD10、CD19、CD20、CD23、CD79a、PAX-5、BCL-2、BCL-6、cyclin D1、SOX-11、ARTA1、TdT。
图1. CD10在弥漫大B淋巴瘤Hans分型中的应用:CD10阳性,或CD10阴性而MUM-1阴性的情况下,考虑生发中心B细胞来源;CD10阴性而MUM-1阳性,考虑非生发中心来源、活化B细胞型。阳性表达模式:细胞膜
推荐阳性质控组织:阑尾/扁桃体
CD19是是早期童贞(naive)B淋巴细胞抗原,在B淋巴细胞整个分化阶段中均存在,而浆细胞阶段消失。因此这一指标是非常好的B淋巴细胞标记。阳性表达模式:细胞膜
推荐阳性质控组织:阑尾/扁桃体
CD20在B细胞活化及分化过程中发挥受体作用,表达于CD19阳性童贞B细胞分化阶段之后,B淋巴细胞分化的后期阶段也持续存在,但浆细胞阶段则不表达。CD20是一种广谱B细胞标记,但某些类型的B细胞淋巴瘤却为阴性、或极弱的表达,因此对于不确定的病例来说,一定要用两种B细胞标记来确定、或排除肿瘤的B细胞来源。理想的组合为CD20+CD19、CD20+PAX-5或CD20+CD79a。一般来说,CD20的表达局限于B淋巴细胞,但也有外周T细胞淋巴瘤表达CD20的罕见病例报道。另一诊断陷阱则是经过CD20靶向治疗(利妥昔单抗)后的标本中,CD20染色的判读需要谨慎。细胞核或核仁的CD20着色为非特异性。阳性表达模式:细胞膜
推荐阳性质控组织:阑尾/扁桃体
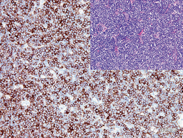
CD23也称为低亲和力IgE受体,与IgE效应的调节有关。该指标表达于成熟B淋巴细胞、滤泡树状突细胞、活化的巨噬细胞。所以该指标是鉴别B细胞慢性淋巴细胞白血病和其他类似形态淋巴瘤的重要指标;同时可用于滤泡树状突细胞肿瘤的鉴别。CD23还可表达于纵隔大B细胞淋巴瘤、淋巴浆细胞淋巴瘤。
图2. B细胞慢性淋巴细胞白血病中,CD23在细胞膜阳性表达。
阳性表达模式:细胞膜
推荐阳性质控组织:阑尾/扁桃体
CD79a出现于前驱B淋巴细胞阶段,并持续存在、直至浆细胞发育期,因此大部分正常及肿瘤性浆细胞也会有CD79a的表达。CD79a为细胞膜着色,但浆细胞中也可有胞质着色。同时,CD79a的表达与CD20的表达无关,抗CD20的靶向治疗后CD79a仍为阳性。不过,对于B细胞淋巴瘤的诊断来说,CD79a不如CD20可靠,因为这一指标在小部分T淋巴细胞急性白血病、急性髓性白血病(M3型)、大部分浆细胞肿瘤中均为阳性。阳性表达模式:细胞核
推荐阳性质控组织:阑尾/扁桃体
B细胞发育过程中,Pax-5表达于从祖B细胞、前驱B细胞、童贞B细胞直至成熟B细胞的阶段。Pax-5的编码基因定位于9p13,因此小淋巴细胞淋巴瘤中的浆细胞亚型相关易位t(9;14)(p13;q32)也会涉及Pax-5。罕见情况下还可表达于T细胞来源的急性淋巴母细胞淋巴瘤。Pax-5还可表达于急性髓性白血病,主要是与t(8;21)(q22;q22)易位有关。另外,该指标还会表达于结节性淋巴细胞为主型霍奇金淋巴瘤中的标志性瘤细胞。T淋巴细胞、浆细胞、巨噬细胞均为Pax-5阴性。部分类似淋巴瘤的其他肿瘤可能会有Pax-5的阳性表达,如Merkel细胞癌、小细胞癌。罕见情况下,Pax-5阳性曾报道于乳腺、子宫内膜、移行细胞癌及腺泡状横纹肌肉瘤,但胚胎性横纹肌肉瘤中均为阴性。阳性表达模式:细胞核
推荐阳性质控组织:套细胞淋巴瘤
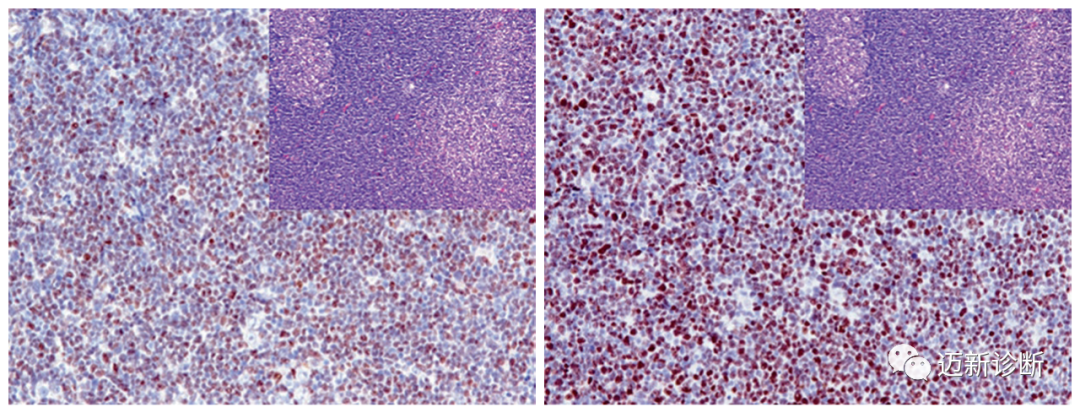
套细胞淋巴瘤中具有t(11;14)易位,导致cyclin D1过表达,这也是这一淋巴瘤的特征性标记。少部分套细胞淋巴瘤不表达cyclin D1,但这时候一般会表达SOX-11,可供鉴别诊断。部分多发性骨髓瘤也会有t(11;14)的易位,因此会有cyclin D1的阳性表达,且这种情况下一般意味着预后较好。其他形态学类似的淋巴瘤也可表达cyclin D1,如毛细胞白血病、B细胞慢性淋巴细胞白血病;不过,着色的强度要弱于套细胞淋巴瘤。常规工作中,cyclin D1一般与CD5、SOX-11及其他B细胞标记联合应用。Cyclin D1的表达不仅限于淋巴细胞肿瘤,也可见于大量非淋巴细胞的上皮性肿瘤、间叶性肿瘤。阳性表达模式:细胞核
推荐阳性质控组织:套细胞淋巴瘤
套细胞淋巴瘤及其他如毛细胞白血病、急性淋巴细胞白血病中,不管cyclin D1表达结果如何,SOX-11均为强阳性。该指标还可表达于部分卵巢癌,这种情况下一般预后良好。
图3. 套细胞淋巴瘤中,cyclin D1(左)及SOX-11(右)在细胞核强阳性表达。
阳性表达模式:细胞核
推荐阳性质控组织:阑尾/扁桃体
BCL-6表达于正常生发中心B淋巴细胞。因此该指标是生发中心来源淋巴瘤的标记,如滤泡性淋巴瘤(滤泡内细胞及滤泡间细胞)、Burkett淋巴瘤、大部分霍奇金细胞、结节性淋巴细胞为主型霍奇金淋巴瘤。BCL-6阳性还可见于部分NK/T细胞淋巴瘤,如血管免疫母细胞淋巴瘤、急性T淋巴细胞白血病。套细胞淋巴瘤、边缘区淋巴瘤为BCL-6阴性。阳性表达模式:细胞质(及线粒体膜)
推荐阳性质控组织:阑尾/扁桃体
BCL-2基因位于18q21,转录生成三种mRNA,进而形成两种同源的细胞必需蛋白和线粒体膜蛋白。90%的滤泡性淋巴瘤中具有t(14;18)(q32;q21)的易位,因此BCL-2基因与Ig重链基因结合,导致BCL-2蛋白过表达,使得淋巴瘤细胞得以存活。BCL-2在诊断中的用途,主要是鉴别伴滤泡增生的反应性淋巴结(BCL-2阴性)及1级的滤泡性淋巴瘤(滤泡内有BCL-2阳性的肿瘤性B细胞)。不过,需要注意的是,大多数B细胞淋巴瘤及部分T细胞淋巴瘤中可见BCL-2阳性,同时大量上皮及间质性肿瘤中也有该指标的阳性表达。
图4. 滤泡性淋巴瘤,肿瘤性滤泡中BCL-2弥漫强阳性。
阳性表达模式:细胞膜
CD11c主要表达于髓系造血细胞,因此该指标是鉴别淋巴组织肿瘤与髓系肿瘤的指标,强阳性表达于毛细胞白血病和NK细胞淋巴瘤,约50%的急性髓系白血病(M4和M5)、部分滤泡性淋巴瘤、朗格汉斯细胞组织细胞增生症、淋巴浆细胞淋巴瘤、伴绒毛淋巴细胞的脾脏淋巴瘤、B淋巴细胞慢性白血病中会有CD11c的表达。B淋巴细胞慢性白血病中CD11c阳性一般与预后较好有关。阳性表达模式:细胞质
推荐阳性质控组织:破骨细胞,毛细胞白血病
抗酒石酸酸性磷酸酶(tartrate-resistant acid phosphatase,TRAP)可表达于多种组织,在破骨细胞和巨噬细胞中高表达。这一指标是毛细胞白血病的特异性标记,但也可联合其他指标一起应用,如CD11c、DBA.44。其他淋巴瘤中也可出现TRAP的弱阳性表达,如边缘区B细胞淋巴瘤;用于骨髓标本判断时,需注意骨髓中的巨噬细胞为TRAP阳性。
图5. 骨髓环钻活检标本,其中有CD11c阳性的白血病细胞(左);且TRAP也是强阳性(右)。
免疫球蛋白超家族受体转位-1(Immunoglobulin Superfamily Receptor Translocation-1,IRTA-1)有助于鉴别边缘区淋巴瘤和其他淋巴瘤,因为它在结外边缘区淋巴瘤中的阳性率为90%以上,在淋巴结边缘区淋巴瘤中的阳性率约75%。其他淋巴瘤如B淋巴细胞慢性白血病、套细胞淋巴瘤、滤泡性淋巴瘤、Burkitt淋巴瘤、毛细胞白血病、浆细胞肿瘤等,均不表达。不过,该指标无法鉴别边缘区淋巴细胞是反应性、还是肿瘤性。阳性表达模式:细胞核
推荐阳性质控组织:扁桃体/淋巴结
LMO-2正常情况下表达于红系及髓系前体细胞、巨核细胞、内皮细胞,还表达于生发中心B淋巴细胞,因此是几种生发中心细胞来源淋巴瘤的标记。对于所有级别的滤泡性淋巴瘤来说,LMO-2阳性率70%,同时可表达于纵隔大B细胞淋巴瘤、Burkitt淋巴瘤、弥漫大B细胞淋巴瘤、B细胞及T细胞急性淋巴细胞白血病。此外,髓细胞白血病中的髓母细胞也会表达LMO2。一般不表达LMO-2的有慢性淋巴细胞白血病、套细胞淋巴瘤、边缘区淋巴瘤、淋巴浆细胞淋巴瘤、外周T细胞淋巴。除淋巴细胞肿瘤和造血系统肿瘤外,LMO2表达于血管和淋巴管的正常内皮细胞,因此也表达于大部分良性及恶性内皮细胞肿瘤。
人生发中心相关淋巴瘤蛋白(human germinal center-associated lymphoma,HGAL)又称为生发中心B细胞表达的转录因子2(germinal center B-cell-expressed transcript 2,GCET-2),仅表达于生发中心B淋巴细胞的胞质和胞膜,在生发中心灰区中的增生细胞中表达水平更高。套区及边缘区、滤泡间、皮质旁区并无该指标的表达。因此,HGAL是生发中心淋巴细胞来源B细胞淋巴瘤的标记,Burkitt淋巴瘤中的阳性率100%,滤泡性淋巴瘤及纵隔淋巴瘤中阳性率90%以上,弥漫大B细胞淋巴瘤中阳性率约70%。边缘区淋巴瘤中HGLA的阳性率不足5%,而套细胞淋巴瘤和B细胞慢性淋巴细胞白血病中完全为阴性。淋巴增强子结合因子-1(lymphoid enhancer-binding factor-1,LEF-1)是一种核蛋白,正常情况下表达于前驱B细胞及前驱T细胞,但成熟B细胞中不表达。淋巴瘤中,LEF-1表达于慢性淋巴细胞白血病中的肿瘤性小淋巴细胞,但其他小B细胞淋巴瘤中并不表达。此外,弥漫大B细胞淋巴瘤中约三分之一表达该标记。不过,LEF-1并非淋巴瘤特异性标记,因为它还可以表达于几种癌,如结直肠腺癌。
迈迈推荐:“淋巴瘤的病理分类复杂,并且临床及组织学表现变化万千,令不少病理医师是望淋巴瘤而兴叹。免疫组化对于淋巴瘤的诊断助益良多,如何用好这门利器,便显得十分重要。”
抗体名称 | 克隆号 | 阳性对照 | 细胞定位 |
Bcl-2* | MX022 | 扁桃体、阑尾
| 胞膜/胞质 |
Bcl-6*
| MX042
| 扁桃体、阑尾
| 胞核 |
CD19* | MX016 | 扁桃体、阑尾
| 胞膜 |
CD20*
| MX002
| 扁桃体、阑尾
| 胞膜 |
CD23 | SP23
| 扁桃体、阑尾 | 胞膜
|
CD79a*
| MX076 | 扁桃体、阑尾
| 胞膜 |
Cyclin D1 | SP4 | 扁桃体 | 胞核
|
LEF-1
| EP310 | 扁桃体、阑尾
| 胞核 |
LMO-2 | SP51 | 扁桃体、阑尾 | 胞核
|
Pax-5*
| MX017 | 扁桃体、阑尾
| 胞核 |
SOX-11 | MRQ58 | 套细胞淋巴瘤 | 胞核
|
更多信息,请详询:800-8581156或400-889-9853