淋巴组织肿瘤诊断部分的内容,我们已通过前四期推文向大家进行大致的介绍,本期是该系列的完结篇,主要针对髓系肿瘤、肥大细胞增生症以及组织细胞和树状突细胞肿瘤的免疫组化常用指标进行较为常规的归纳整理,以期对各位病理同仁的日常诊断有所助益。
髓系肿瘤常用免疫组化指标
髓系肿瘤常用免疫组化指标有CD13,CD14,CD15,CD33,MPO。阳性表达模式:细胞质
推荐阳性质控组织:骨髓
MPO是一种血红素蛋白,也是髓细胞降解时释放出的主要溶酶体酶之一。MPO阳性用于确定髓系来源肿瘤的诊断,正常及肿瘤性淋巴组织中MPO总是阴性。
CD15在此前章节已有阐述,也是髓系肿瘤的重要标记。大多数粒细胞及单核细胞和相关肿瘤中,都有CD15的表达。阳性表达模式:细胞膜/细胞质
CD33是一种和细胞-细胞之间黏附有关的跨膜糖蛋白。CD33表达于早期髓系祖细胞、CD34表达之后,但干细胞中表达缺失。髓单核分化(myelomonocytic differentiation)过程中,CD33持续表达,粒细胞、单核细胞、肥大细胞、树状突细胞中为弱阳性。从临床诊断的角度来说,CD33是大部分急性髓系白血病(M0-M5)、慢性髓系白血病、粒细胞肉瘤、慢性髓单核细胞白血病的重要标记。
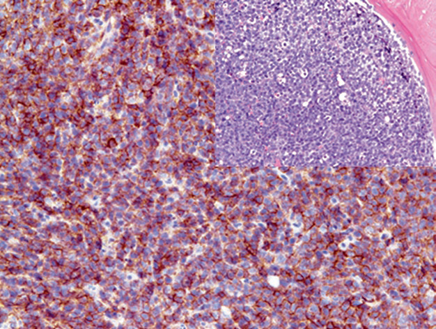
图1. M5型急性髓系白血病中的髓母细胞,表达CD33。
CD33是髓细胞及相关白血病的特异性标记,不过,部分非髓系肿瘤中也可检出该标记,如ALK阳性间变性大细胞淋巴瘤、Burkitt淋巴瘤、T淋巴细胞白血病和B淋巴细胞白血病、浆细胞肿瘤。CD13是一种跨膜的金属蛋白酶,与细胞表面抗原呈递有关。和CD33相似,CD13也是一种髓系相关抗原,表达于髓细胞、髓样前体细胞以及其他非髓系细胞,后者如纤维母细胞、破骨细胞、内皮细胞、多种上皮细胞(具体如肾近端小管、胆小管、肠上皮细胞的刷状缘)。前列腺腺泡腺癌中的腺体相比周围良性腺体来说,一般CD13表达缺失,可用于临床诊断。CD13也是急性、慢性髓系白血病的诊断标记,部分急性淋巴细胞性白血病中也可检出CD13表达。血型糖蛋白(glycophorins)是一组位于红细胞细胞膜上的涎糖蛋白(sialoglycoproteins)。血型糖蛋白A和血型糖蛋白B是主要成员,对应血细胞簇分化抗原(clustered)CD235a和CD235b,携带着血型的抗原决定簇。这两种血型糖蛋白均可见于红系前体细胞,如幼红细胞;因此它们可被视为正常和肿瘤性红细胞的特异性标记,也包括了急性红白血病(acute erythroid leukemia,M6)。其他白血病并不表达血型糖蛋白。
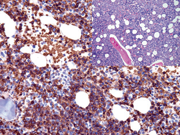
图2. M6型急性髓系白血病中,肿瘤性幼红细胞表达血型糖蛋白。下表为非特殊类型髓系白血病的免疫组化表达情况。这类具有遗传学异常、或具有髓系异型增生相关改变的白血病分类,取决于检出相关遗传学异常。
肥大细胞增生症
肥大细胞肿瘤常用免疫组化指标有:肥大细胞类胰蛋白酶,CD117,CD2,CD25,CD30,CD33。
备注:
正常肥大细胞中,CD25一般为阴性;
正常及反应性肥大细胞中,CD2一般为阴性;
CD30一般标记的是侵袭性类型的肥大细胞增生症。
阳性表达模式:细胞质
推荐阳性质控组织:阑尾
类胰蛋白酶是一种胰蛋白酶样蛋白酶,是肥大细胞和嗜碱性细胞中的炎症介导因子之一,活化时释放入细胞外基质中,针对类胰蛋白酶的抗体用于肥大细胞的特异性标记,但无法区分正常和肿瘤性肥大细胞。不过,罕见类型的急性髓系白血病中也有类胰蛋白酶异常表达的相关报道。CD25是白介素-2受体亚基,与T淋巴细胞的分化及活化有关,正常情况下表达于部分T淋巴细胞及髓系前体细胞和少突胶质细胞,也表达于病毒转化的T淋巴细胞和B淋巴细胞。CD25标记大部分T细胞淋巴瘤和毛细胞白血病。肥大细胞病变中,CD25的表达局限于肿瘤性肥大细胞,在反应性肥大细胞中一般为阴性。CD2在此前章节中已有阐述。正常情况下,CD2表达于T细胞发育的不同阶段及T细胞淋巴瘤。B淋巴细胞、B细胞淋巴瘤、正常肥大细胞中为阴性,而肥大细胞出现CD2的表达则提示为肿瘤性病变。肥大细胞增生症包括了皮肤肥大细胞增生症、系统性肥大细胞增生症、肥大细胞肉瘤、皮肤外肥大细胞瘤;其中,系统性肥大细胞增生症又可以分为惰性系统性肥大细胞增生症、焖燃型(smoldering)系统性肥大细胞增生症、系统性肥大细胞增生症伴相关的血液系统肿瘤、侵袭性系统性肥大细胞增生症、肥大细胞白血病。
组织细胞和树状突细胞肿瘤
组织细胞和树状突细胞肿瘤常用标记有:CD1a,CD21,CD23,CD35,CD68,CD207,fascin,podoplanin,S100。
表3. 组织细胞和树状突细胞肿瘤常用标记

阳性表达模式:细胞膜
推荐阳性质控组织:皮肤
CD1a是抗原呈递细胞表达的CD1四种异构体(a,b,c,d)之一。CD1a可见于胸腺皮质细胞、树状突细胞、Langerhans细胞,这是正常和肿瘤性Langerhans细胞的特异性标记,但组织细胞、滤泡树状突细胞、并指状树状突细胞来源的肿瘤中均为阴性。CD1a还可表达于某些T细胞淋巴瘤,主要是皮肤T细胞淋巴瘤。CD21是B淋巴细胞细胞膜上的一种CD3a受体,也是EB病毒的受体。CD21还表达于滤泡树状突细胞,但在单核细胞、粒细胞、T淋巴细胞中总是阴性。部分B细胞淋巴瘤中CD21为阳性,套细胞淋巴瘤和滤泡性淋巴瘤中为弱阳性。少部分T细胞淋巴瘤中,罕见情况下可有CD21的表达。CD21、CD35和podoplanin对于滤泡树状突细胞肿瘤(肉瘤)的诊断极有帮助。组织细胞、Langerhans细胞、指状突细胞肿瘤中,CD21一般为阴性。免疫组化判读过程中,需注意咽部及颈部上皮细胞中CD21的表达。阳性表达模式:细胞质/细胞膜
推荐阳性质控组织:阑尾
CD68是溶酶体及内体(endosome)中的一种糖蛋白,与巨噬细胞吞噬活性的调节有关。这一指标是组织细胞及组织细胞肿瘤诊断的有用标记,但缺乏特异性。因为CD68的表达谱系比较宽泛,可见于B细胞、T细胞、NK细胞及髓系来源的多种血液系统病变。阳性表达模式:细胞质/细胞膜
推荐阳性质控组织:皮肤
CD163是一种1型膜糖蛋白,表达于组织巨噬细胞、单核细胞及其祖细胞,且该指标比CD68更为特异。阳性表达模式:细胞质/细胞膜
推荐阳性质控组织:皮肤
CD207(lagerin)是一种II型跨膜糖蛋白,与Langerhans细胞中Birbeck颗粒的形成有关。该指标是Langerhans细胞及这类细胞来源肿瘤的特异性标记,如Langerhans细胞组织细胞增生症(组织细胞增生症X)及Langerhans细胞肉瘤。同时,CD207也表达于部分真皮及黏膜中的树状突细胞、CD8阳性脾脏树状突细胞。Fascin是一种Actin结合蛋白,此前霍奇金淋巴瘤中R-S细胞相关部分已有阐述。正常及肿瘤性指状突树状突细胞、滤泡树状突细胞中强阳性表达。迈迈推荐:“随着分子生物学的发展,新的治疗方法层出不穷,进一步区分淋巴瘤的类型对于患者的对症治疗并从中获益,显得更加意义重大!本期迈迈推荐以下抗体,您不妨可以试试哦。”
抗体名称 | 克隆号 | 阳性对照 | 细胞定位 |
CD1a
| O10 | 胸腺瘤、扁桃体
| 胞质/胞膜 |
CD2* | MX074 | 扁桃体、阑尾
| 胞膜 |
CD15
| MMA
| 霍奇金淋巴瘤、扁桃体
| 胞膜/胞质 |
CD21* | MX019 | 扁桃体、阑尾
| 胞膜 |
CD68*
| MX075
| 恶性纤维组织细胞瘤、扁桃体
| 胞质 |
CD163* | MX081 | 胎盘、阑尾 | 胞膜
|
MPO*
| MX069
| 扁桃体 | 胞质 |
更多信息,请详询:800-8581156或400-889-9853