霍奇金淋巴瘤(HL)是一类常见的淋巴瘤,其诊断主要基于包括免疫组化和形态学检查在内的病理组织学检查。因此,如何正确应用免疫组化标记,对于霍奇金淋巴瘤的明确诊断将具有积极重大的意义。本期内容,我们即是对霍奇金淋巴瘤的免疫组化常用指标进行较为系统的梳理和介绍。
霍奇金淋巴瘤免疫组化常用指标概述
根据组织学表现的不同,霍奇金淋巴瘤有多种亚型,具体分类方案不一。总体而言,经典型霍奇金淋巴瘤诊断常用免疫组化指标有CD15、CD30、MUM-1、IMP3、fascin、J链;结节性淋巴细胞为主型霍奇金淋巴瘤诊断常有免疫组化指标则有CD19、CD20、PAX-5、J链、BOB.1、OCT-2、EMA。
阳性表达模式:细胞膜/细胞质
推荐阳性质控组织:阑尾
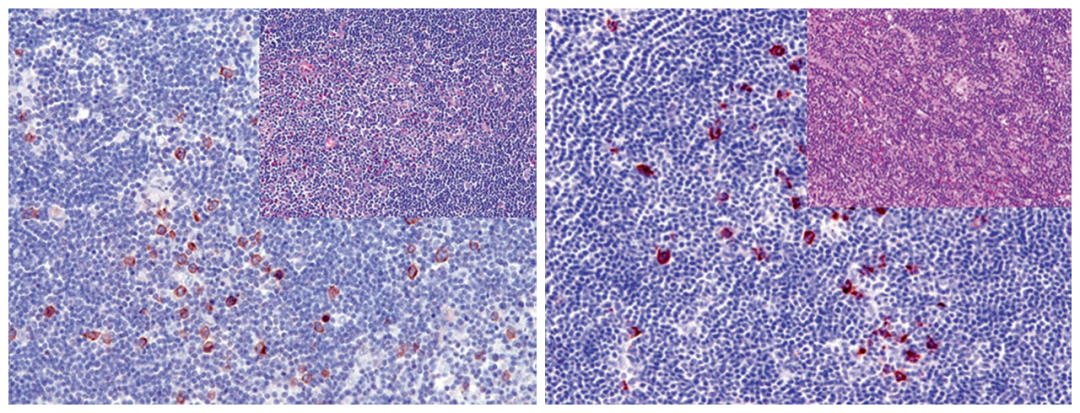
CD15是一种涉及中性粒细胞功能调节的细胞表面糖蛋白,一般作为正常及肿瘤性髓细胞、单核细胞的标记。CD15常与CD30联合用于经典型霍奇金淋巴瘤中R-S细胞的标记。
图1. 经典型霍奇金淋巴瘤中,霍奇金细胞CD15阳性。
需要指出的是,CD15还表达于多种其他的造血系统肿瘤和非造血系统肿瘤,后者如腺癌,这在鉴别诊断的时候应予注意;但间皮瘤总是阴性的。据报道,CD15阳性的癌预后差。
阳性表达模式:细胞膜/细胞质、核旁
推荐阳性质控组织:胚胎性癌
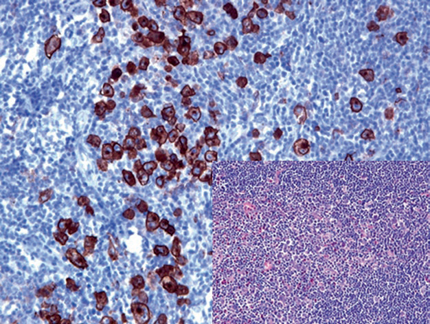
CD30是一种跨膜糖蛋白受体,属于肿瘤坏死因子超家族成员之一、参与细胞转化、抗体反应、凋亡的调节。正常情况下,CD30表达于活化的B细胞、T细胞和NK细胞。常规免疫组化中,CD30的主要作用之一就是显示经典型霍奇金淋巴瘤中的霍奇金细胞和多核的R-S细胞。CD30还是间变性大细胞淋巴瘤、纵隔原发大B细胞淋巴瘤、系统性肥大细胞增生症中高度恶性类型的诊断标记。
图2. 经典型霍奇金淋巴瘤中,霍奇金细胞CD30阳性。
需要注意的是,不同类型的T细胞淋巴瘤、B细胞淋巴瘤中,均可见CD30阳性的细胞。CD30还可标记反应性淋巴结、脾脏、胸腺、扁桃体中的活化性T细胞和B细胞,因此,并非CD30阳性细胞就是霍奇金细胞。另外,CD30的表达不仅限于淋巴组织及淋巴组织肿瘤,也可见于其他上皮性肿瘤及间质性肿瘤。CD30可用于胚胎性癌的诊断,CD30阳性的其他癌还有鼻咽癌、胰腺癌;对于间质性肿瘤来说,血管肉瘤中约30%为CD30阳性。阳性表达模式:细胞膜/细胞质
推荐阳性质控组织:淋巴结
Fascin是一种actin结合蛋白,涉及细胞黏附及运动性。正常情况下,Fascin表达于并指状树突状细胞和滤泡树突状细胞,程度不等的表达于内皮细胞,但淋巴细胞、浆细胞、髓细胞均为阴性。这是经典型霍奇金淋巴瘤中R-S细胞的一种良好标记。此外,该指标还表达于间变性大细胞淋巴瘤中的细胞膜,并表达于部分不同类型的大B细胞淋巴瘤。正常上皮中,Fascin一般为阴性,但很多转化、或肿瘤性上皮中为阳性。这一现象可用于增生性尿路上皮和肿瘤性尿路上皮的鉴别。由于Fascin的表达谱系宽泛,因此用于鉴别诊断时应注意相关免疫组化结果的解读。除R-S细胞外,淋巴结内Fascin阳性的细胞还可能是活化的B淋巴细胞、弥漫大B细胞淋巴瘤的细胞、甚至是播散的转移性腺癌细胞。
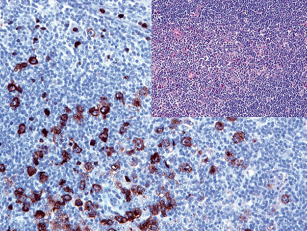
IMP3是一种介导RNA交换及细胞生长的胞质蛋白,胚胎发育早期高表达。良性的成人组织一般并不表达IMP3,但纤维母细胞、部分淋巴细胞(主要指的是生发中心淋巴细胞)、卵巢及睾丸组织、胎盘、脑除外。IMP3表达于多种癌前及恶性病变,该指标阳性的癌有肺癌、食管癌、胰腺癌、宫颈癌、子宫内膜癌、移行细胞癌、肾细胞癌、神经内分泌癌。日常工作中,IMP3用于区分恶性病变及反应性增生,具体如胰腺癌为阳性,而炎性胰腺病变一般为阴性。IMP3部分表达于经典型霍奇金淋巴瘤和结节性淋巴细胞为主型霍奇金淋巴瘤中的霍奇金细胞和R-S细胞。
图3. (左)经典型霍奇金淋巴瘤中,IMP3标记部分霍奇金细胞;(右)结节性淋巴细胞为主型霍奇金淋巴瘤中,IMP3标记部分霍奇金细胞。需要注意的是,滤泡旁母细胞可能为IMP3阳性,此时需注意联合其他更具特异性的指标来标记霍奇金细胞。
迈迈推荐:“透过上文,我相信不少老师已将霍奇金淋巴瘤常用免疫组化指标及其在组织中的表达和定位牢记于心。但,一个成功的诊断,缺少不了一支质量可靠、性能优异的抗体,本期迈迈为您推荐以下抗体,您不妨可以试试哦。”
抗体名称 | 克隆号 | 阳性对照 | 细胞定位 |
CD15
| MMA | 霍奇金淋巴瘤、扁桃体
| 胞膜/胞质 |
CD30* | MX080 | 霍奇金淋巴瘤、胚胎性癌
| 胞膜/胞质 |
IMP3
| EP286
| 胰腺癌、结肠腺癌
| 胞膜/胞质 |
更多信息,请详询:800-8581156或400-889-9853