Ewing肉瘤(Ewing sarcoma,ES)或原始神经外胚层肿瘤(primitive neuroectodermal tumor, PNET)是指包括骨和软组织Ewing肉瘤、Askin瘤和PNET等在内的一类小圆细胞低分化恶性肿瘤。免疫组化有助于其诊断及鉴别诊断,并在指导治疗、预后判断方面具有积极意义。本期,我们将对Ewing肉瘤/PNET诊断免疫组化指标进行梳理和介绍
Ewing肉瘤/PNET免疫组化概述
首先需要解释一下,Ewing肉瘤/原始神经外胚层肿瘤(primitive neuroectodermal tumor,PNET)从形态学角度来说,均属于小圆细胞肉瘤。以前的观点认为,无原始神经上皮分化证据时,称之为Ewing肉瘤;反之则称之为PNET。不过,后续研究发现,这两种情况可能是同一组肿瘤形态学谱系的两端;相同细胞遗传学异常的确定,更是明确支持这两类肿瘤在组织发生方面有相关性。Ewing肉瘤/PNET诊断中常用免疫组化指标有CD99、FLI-1、NKX2.2、DAX-1、CD56、CgA、Syn。表1. Ewing肉瘤/PNET及相关病变免疫组化

(点击可查看大图)
备注:
呈核旁着色的模式;
呈细胞核着色的模式。
阳性表达模式:细胞膜/细胞质
推荐阳性质控组织:PNET
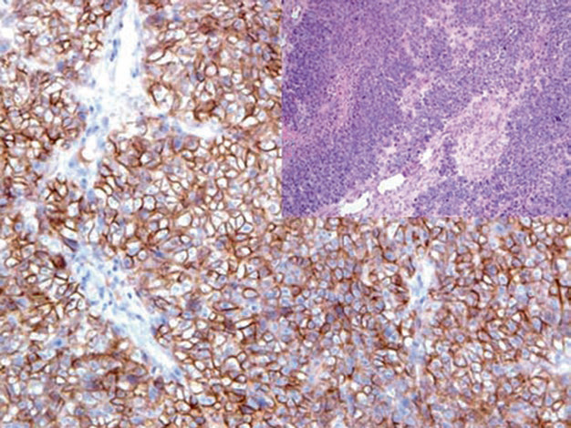
CD99是一种细胞表面糖蛋白,在T细胞黏附、淋巴细胞游出和外渗方面发挥重要作用。该蛋白表达于胸腺皮质细胞、部分成熟T淋巴细胞和B淋巴细胞的表面,因此在相应正常和肿瘤性细胞中都有表达。CD99广泛用于Ewing肉瘤/PNET家族肿瘤的诊断,表现为细胞膜着色,而某些其他肿瘤类型可见胞质着色;神经母细胞瘤中,CD99为阴性。
图1. Ewing肉瘤,CD99呈细胞膜强阳性着色。如上所述,CD99的表达谱系比较宽泛,因此特异性低;所以,实际工作中不能仅凭这一标记做出肿瘤诊断,尤其某些形态学类似的情况下。阳性表达模式:细胞核
推荐阳性质控组织:血管内皮细胞
FLI-1基因又称为转录因子ERGB,是ETS原癌基因家族成员之一,是胚胎发育过程中高表达的转录活化因子。该基因是t(11;22)(q24;q12)易位涉及的基因之一,而这一易位又是Ewing肉瘤/PNET家族肿瘤最常见、最特异的分子遗传学异常,可见于90%以上的病例。针对FLI-1基因产物的相关抗体对于该组肿瘤也具有高度特异性。
图2. Ewing肉瘤,FLI-1在细胞核呈强阳性表达;注意,图中血管内皮细胞可作为内对照。
需要注意的是,FLI-1的表达不仅限于PNET家族肿瘤,比如该指标还是血管肿瘤较好的标记之一,部分恶性黑色素瘤(主要是侵袭性亚型)也可表达。FLI-1应用中的陷阱之一,是急性淋巴母细胞白血病中的母细胞表达该指标,加之CD99也是阳性,形态学也和PNET相似,很容易造成误诊。这样的病例中,加做TdT对于确诊非常关键。
NKX2.2是转录因子NK家族成员之一,与中枢神经系统腹侧区、胰腺和胃肠道内分泌细胞的分化有关。分子检测证实,NKX2.2是Ewing肉瘤中特异性EWS/FLI-1易位的中介者;Ewing肉瘤/PNET家族肿瘤中,80%以上表达NKX2.2。正常情况下,NKX2.2还表达于胰腺胰岛细胞、小肠内分泌细胞以及由这些细胞来源的肿瘤。
DAX-1是一种核受体蛋白,属于孤儿核受体家族成员之一,由NR0B1基因编码,调节类固醇激素的合成。因此,该标记用于肾上腺皮质肿瘤的相关标记。不过,EWS/FLI-1易位的情况下,后续遗传学改变导致有DAX-1的表达,因此具有该易位的Ewing肉瘤也会有DAX-1的过表达。
CD56又称神经细胞黏附分子,其功能是细胞与细胞之间黏附、细胞与基质之间相互作用的中介者,并参与细胞黏附、突触可塑性、细胞迁徙、增生、分化、凋亡这些过程中的调节。CD56是神经系统发生和分化的重要分子,正常情况下表达于神经外胚层细胞、神经胶质细胞、肌母细胞、骨骼肌、神经-肌肉接头处以及由上述细胞来源的肿瘤。此外,该指标还表达于NK细胞、活化T细胞,在免疫反应方面发挥重要作用。总之,实际病理诊断工作中,CD56可用于神经源性肿瘤、神经内分泌肿瘤和NK细胞肿瘤的标记。
图3. 嗅母细胞瘤中,CD56呈细胞膜着色。
迈迈推荐:“精准诊断,从选择一支性能优异的免疫组化诊断抗体开始,本期迈迈推荐以下产品,助您轻松做诊断!”
抗体名称 | 克隆号 | 阳性对照 | 细胞定位 |
CD56*
| MX039 | 非小细胞癌、阑尾
| 胞膜 |
CD99
| O13 | 原始神经外胚瘤、扁桃体
| 胞膜/胞质 |
CgA* | MX018 | 嗜铬细胞瘤、神经内分泌癌
| 胞质 |
NKX2.2
| EP336 | 胰腺、神经内分泌癌
| 膜核 |
更多信息,请详询:800-8581156或400-889-9853