导语:

01
HE4概述
02
HE4在卵巢癌中表达的作用
03
HE4在子宫内膜癌中表达的作用
04
HE4在肺癌中表达的作用


05
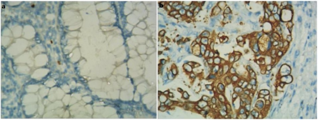
HE4在结直肠癌中表达的作用

图3:HE4在结直肠癌细胞中的表达(a:癌旁组织细胞显示HE4阴性染色;b:结直肠癌细胞HE4呈强阳性染色)。
参与卵巢癌的发生、发展,是卵巢癌早期诊断、病情评估、化疗疗效监测及预后预测的重要指标;
在宫内膜癌中的表达可作为该肿瘤诊断、病情评估及预后判断的生化指标之一;
在肺癌中的表达与肺腺癌亚型显著相关,是肺腺癌诊断和独立预后预测的有效标志物,并可能成为肺腺癌治疗的新靶点;
参与结直肠癌的发生、发展过程,可作为结直肠癌的早期诊断、分期与病情评估的有效标志物,并有望成为靶向治疗的新靶点。
迈新相关抗体
抗体名称 | 产品编号 | 克隆号 | 细胞定位 |
HE4 | MAB-0826 | MX051 | 胞质 |
参考文献:
[1]唐雨曦, 罗晨辉, 王瑛,等. 人附睾蛋白4(HE4)在恶性肿瘤中的表达与临床进展[J]. 肿瘤药学, 2015, 5(2):87-91
[2]马克奇, 王丰梅. HE4,Kif2a在卵巢上皮性肿瘤中的表达与研究进展[J]. 临床医药文献电子杂志, 2019, 6(70):194
[3]党秋红, 曹静, 张欢欢,等. HE4在上皮性卵巢癌中的表达情况及其与临床特征及预后的关系分析[J]. 癌症进展, 2018, 16(5):629-635
[4]赫慧,毕芳芳 ,杨清. MSLN,HE4和Ki67在高级别浆液性卵巢癌组织中的表达及意义[J]. 现代肿瘤学,2017,25(20):3290-3294
[5]Yang CH, Xu YH, Zhang XY. Expression and significance of human epididymis gene product 4 in tissue and serum of patients with endometrial cancer[J]. Chin J Clin Oncol, 2011, 38(9): 516-519
[6]周哲, 蒋欣, 宋继成,等. 人附睾蛋白4在子宫内膜癌患者血清及组织中的表达及临床意义[J]. 南京医科大学学报:自然科学版, 2017, 37(4):478-481
[7]Galgano M T,Hampton G M ,Jr H F F . Comprehensive analysis of HE4 expression in normal and malignant human tissues[J]. Modern Pathology.
[8]徐婧玥, 张贺平, 李洪娟,等. siRNA沉默WFDC2对肺癌A549细胞增殖和侵袭的影响[J]. 实用医学杂志, 2019, 35(5):724-728
[9]Shin-ichi, Yamashita, Keita, et al. Prognostic significance of HE4 expression in pulmonary adenocarcinoma[J]. Tumor Biology, 2011,32:265–271
[10]He Y P , Li L X , Tang J X , et al. HE4 as a biomarker for diagnosis of lung cancer: A meta-analysis[J]. Medicine, 2019, 98(39):e17198
[11]Ren W,Shen S,Sun Z,et al.Jak-STAT3 pathway triggers DIC-ER1 for proteasomal degradation by ubiquitin ligase complex of CUL4A(DCAF1) to promote colon cancer development[J].Cancer Lett,2016,375( 2) : 209-221 .
[12]赵渊博, 王云海. SELDI-TOF-MS联合LCM技术筛选大肠癌肝转移早期诊断标志蛋白[J]. 世界华人消化杂志, 2012, 20(4):296-303
[13]王韬, 王一飞, 李磊,等. 沉默HE4对结肠癌细胞增殖,侵袭,凋亡和JAK/STAT3信号通路的影响[J]. 安徽医科大学学报, 2021,56(7):1064-1069
| 上一篇“迈迈”病理周读笔记第... | >>返回 | 下一篇“迈迈”病理周读笔记第... |