
常在河边走,哪有不湿鞋?翻过车的同行们都知道,肉瘤和其它间叶源性肿瘤中也可以存在角蛋白的异常表达。各种因AE1/AE3导致的翻车现场已被证明是由于非上皮性肿瘤中也存在多种细胞角蛋白亚型。例如,在血管源性肿瘤中,CK1是主要表达的CK亚型;CK1和CK7在一些腹膜后神经鞘瘤中表达,而在周围神经鞘瘤中不表达。滑膜肉瘤可表达CK7,CK8,CK14和CK19,少数病例还表达CK6,CK13,CK16,CK17和CK20。
图1. 引自《Keratin expression in schwannoma; a study of 115 retroperitoneal and 22 peripheral schwannomas》; 神经鞘瘤表达AE1/AE3。
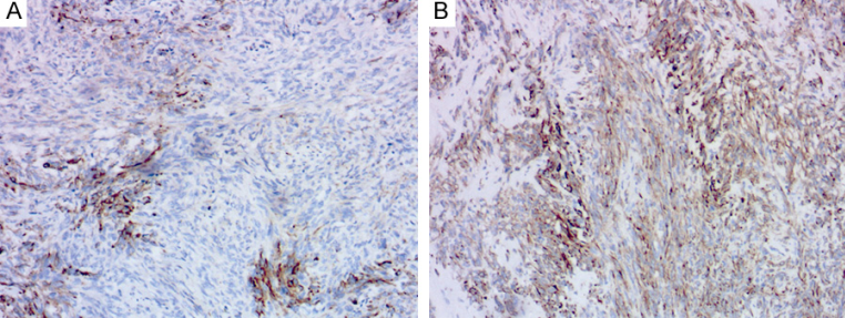
上皮样肉瘤根据瘤细胞的上皮分化程度,可以不同程度地表达CK5/6,CK14和CK20。脑膜瘤通常在腺样腔隙旁的梭形细胞中表达CK18,而分泌型脑膜瘤则始终表达CK19。 Adegboyega针对17例子宫内膜间质肉瘤进行多种角蛋白抗体标记,其中8例AE1/AE3阳性。根据之前一些研究者报道,肉瘤的角蛋白异常表达弱且局灶,并且仅局限于少数肿瘤细胞。而Adegboyega的研究则显示子宫内膜间质肉瘤AE1/AE3的异常表达率接近50%。
图2. 引自《Immunohistochemical profiling of cytokeratin expression by endometrial stroma sarcoma》;A、B为子宫内膜间质肉瘤,C为低级别子宫内膜间质肉瘤,D为高级别子宫内膜间质肉瘤,C、D均表达AE1/AE3。
多骨纤维性结构不良(polyostotic fibrous dysplasia),又称Albright综合征或McCune-Albright综合征(MAS)。该病最早由McCune和Albright描述,是一种骨生长发育性病变,临床以骨骼损害、性早熟和皮肤色素沉着为本病三大主征的疾病。文献报道一名患有多骨纤维性结构不良的45岁男性患者,该患者因髋关节进行性疼痛加重、活动受限以及左下肢缩短就医,取左股骨和左胫骨做病理活检,结果显示局灶区域肿瘤细胞表达AE1/AE3。
图3. 引自《Malignant transformation of polyostotic fibrous dysplasia with aberrant keratin expression》;多骨纤维性结构不良(A)显示由多形性的梭形细胞组成的高级别恶性梭形细胞肿瘤;核染色质深染,偶见非典型核分裂象(箭头),偶可见明显核仁(HE)。局灶区域肿瘤细胞表达AE1/AE3(B)和OSCARC(箭头)
在这里我们附带着给大家介绍一下AE1/AE3的兄弟--角蛋白OSCAR,它在表达模式上与CAM5.2相似,但具有较高的分子量范围(例如可标记鳞状上皮)。在诊断上,OSCAR通常与其他抗体联用来确定低分化恶性肿瘤的细胞谱系。由于骨纤维性结构不良病灶中局的灶区域存在着角蛋白强阳性表达,因此这个病例的鉴别诊断需要排除转移性肉瘤样癌。根据该患者存在多骨纤维性结构不良病史,结合既往和目前的影像学检查资料对比,对比结果发现,先前界限清楚的骨纤维性结构不良病灶内出现了新的恶性肿块,左股骨近端内之前存在的毛玻璃影变薄,该病例的最终诊断为骨纤维性结构不良恶性转化。既然一些梭形细胞病变可以表达AE1/AE3,胃肠道间质瘤能不能呢?Sing 等人对64名GIST患者进行免疫组化染色发现,有7例表达AE1/AE3。他们发现,这7例具有AE1/AE3表达的患者都是高危险度GIST,并且其中4例还发生了远处器官的转移。
图4. 引自《Cytokeratin expression in gastrointestinal stromal tumors: morphology, meaning, and mimicry》瘤细胞具多形性,呈梭形和上皮样,表达AE1/AE3
Sarlomo等人认为,高危险度GIST较低危险度GIST更常表达AE1/AE3。在他们的研究中,AE1/AE3的阳性率为66.7%(8/12)。这些发现表明,GIST中AE1/AE3的表达可能是与肿瘤进展有关的现象,AE1/AE3在高危险度GIST中常见;另外AE1/AE3阳性表达在转移性的恶性黑色素瘤中也很常见。Zhao等人报道了一例发生于盆腔的孤立性纤维性肿瘤,其AE1/AE3染色呈灶状阳性,患者为53岁女性,偶然发现其盆腔占位,肿瘤最大直径为9厘米。
图5. 引自《A pelvic cellular solitary fibrous tumor with multifocal expression of cytokeratin AE1/AE3》;孤立性纤维性肿瘤,图A、B显示AE1/AE3灶状阳性
除了孤立性纤维性肿瘤之外,纤维母细胞/肌纤维母细胞软组织病变中异常的AE1/AE3表达并不罕见,例如炎性肌纤维母细胞瘤,增生性筋膜炎等。在Barak等的一项研究中,27例孤立性纤维性肿瘤中有3例(11%)表现为局灶性AE1/AE3阳性。据Stephanie报道,增生性筋膜炎AE1/AE3的阳性率为46% (6/13)。
图6. 引自《Immunoreactivity for calretinin and keratins in desmoid fibromatosis and other myofibroblastic tumors》;A,增生性筋膜炎中神经节样细胞。B和C,细胞质和增殖性筋膜炎的神经节样细胞中的细胞核及细胞质呈calretinin阳性。D,神经节样细胞AE1/AE3阳性,其中的免疫染色突出了其树突状外观。
一些肌纤维母细胞瘤中存在角蛋白免疫反应性,可能会误导许多新手将这种发现解释为上皮分化的证据,尤其是面对calretinin阳性的肿瘤时,应加深对间皮瘤的怀疑。AE1/AE3可能会在神经胶质瘤(室管膜瘤,胶质母细胞瘤,神经鞘瘤)中异常着色。为此,Bacchi等进行了一系列实验,观察到只有在福尔马林固定和石蜡包埋的经酶消化的正常脑组织和神经胶质瘤才能检测到AE1/AE3着色的现象,而使用甲氧基乙酰苯胺固定的组织中则不存在这种现象。AE1/AE3阳性表达也可以见于部分造血系统疾病之中。部分浆细胞病变可对多种上皮标记物显示局灶性阳性,其中EMA阳性率约为50%,高分子量CK为14%,广谱角蛋白AE1/AE3为7%。有些浆细胞病变对于高分子量CK和AE1/AE3显示出高尔基体点状阳性 ,EMA则表达于细胞质中,而文献中罕有弥散性AE1/AE3阳性的病例。老司机们在诊断AE1/AE3阳性的浆细胞病变时,可以联用CD38、CD138以及MUM-1,以避免误诊而翻车。
图7. 引自《Cytokeratin expression in plasmacytomas: a comprehensive analysis using modern cytokeratin cocktails》;浆细胞瘤,51岁男性患者,曾接受环磷酰胺、硼替佐米、来那度胺和地塞米松化疗,在化疗后出现免疫组化AE1/AE3阳性(a)弥漫性CD138膜阳性,(b)AE1 / AE3局灶性细胞质强阳性着色,(c)CD38显示细胞质颗粒状着色,(d)MUM-1显示约40%细胞核呈阳性,(e)患者未行化疗前骨髓内浆细胞则显示AE1/AE3阴性。
淋巴瘤患者也可以出现AE1/AE3阳性表达。Coulibaly 报道过一例51岁血管内弥漫大B细胞淋巴瘤的男性患者,既往病史不详,4周前右侧S1神经根开始出现疼痛,左侧L4皮肤感觉异常。患者随后做了肾上腺肿物活检。
图8. 引自《Intravascular large B-cell lymphoma presenting as cauda equina syndrome and showing aberrant cytokeratin expression: a diagnostic challenge》;血管内弥漫大B细胞淋巴瘤,(A)肿瘤细胞对AE1/AE3呈异常点状着色。(B)CD45阳性。
这也是文献中首次报道血管内弥漫大B细胞淋巴瘤表达AE1/AE3,但其表达的原因和这种独特的点状表达模式则很难解释。倘若错误解读该病例AE1/AE3的表达则可能掉坑,另外,AE1/AE3这种点状着色模式也可见于小细胞癌和嗅神经母细胞瘤。
图9. 引自《Aberrant Pattern of Cytokeratin Expression in Olfactory Neuroblastoma: A Potential Diagnostic Pitfall》;(a)嗅神经母细胞瘤,HE染色;(b)syn;(c) S100;(d)角蛋白联合标记(CK5/6/8/18);(e)CK18;(f)CK8。
例如,Mandaran等报道了一名44岁男性嗅神经母细胞瘤患者,右鼻腔活检检查显示上皮样肿瘤,向鼻黏膜下浸润生长,呈巢状,血管丰富。肿瘤细胞具有丰富的细胞质和非典型核,核仁明显。核分裂像很少。他们发现使用角蛋白标记该肿瘤时,瘤细胞出现核旁点状着色。Fernand报道了一位36岁的妇女,因二胎足月行剖宫产,产褥期内发现腹部皮下直径2.5厘米的结节,位于3年前的剖腹产疤痕处。看到这里,大家可能会说,这病史一看不就是剖宫产引起的子宫内膜异位么?可老外他们认为,子宫外没有胚胎而产生的蜕膜组织形成的结节,称为蜕膜瘤,人家还做了一系列深入地研究,结果发现这个蜕膜瘤还表达AE1/AE3。
图10. 引自《Hypodermal decidualized endometrioma with aberrant cytokeratin expression. A lesion mimicking malignancy》;蜕膜瘤。A,大细胞巢被纤维隔不完全隔开。左下方有一条不起眼的腺性裂痕。B,单核上皮样细胞,偶有裂隙,衬附立方状或扁平细胞。C,均一的大多边形细胞,胞质苍白且界限清楚。细胞核染色质细腻,具有明显的核仁。细胞外呈现嗜碱性基质。D,低分子量角蛋白散在阳性。
Yeh 等人报道AE1/AE3可用于区分蜕膜和中间滋养叶细胞,另有文献表明子宫或子宫以外的部位蜕膜化的细胞可以表达AE1/AE3,CK18和inhibin-α。该蜕膜瘤病例需要与蜕膜样间皮瘤鉴别。该病发生在以前从未有过石棉接触史的年轻女性的腹膜中,可能在剖腹产后发生,并且可能与hCG的分泌有关。蜕膜样间皮瘤的瘤细胞体积较大,圆形、卵圆形或多角形。肿瘤细胞具有丰富的毛玻璃样嗜酸性细胞质,胞质边界清楚,圆形核,以及显著的嗜酸性核仁。病变部分区域可显示腺体样和乳头状结构。此外,免疫组化可以表达calretinin,、AE1/ AE3,CK5/6,人间皮细胞抗原-1。大多数这种罕见肿瘤的患者不到一年就会死亡。
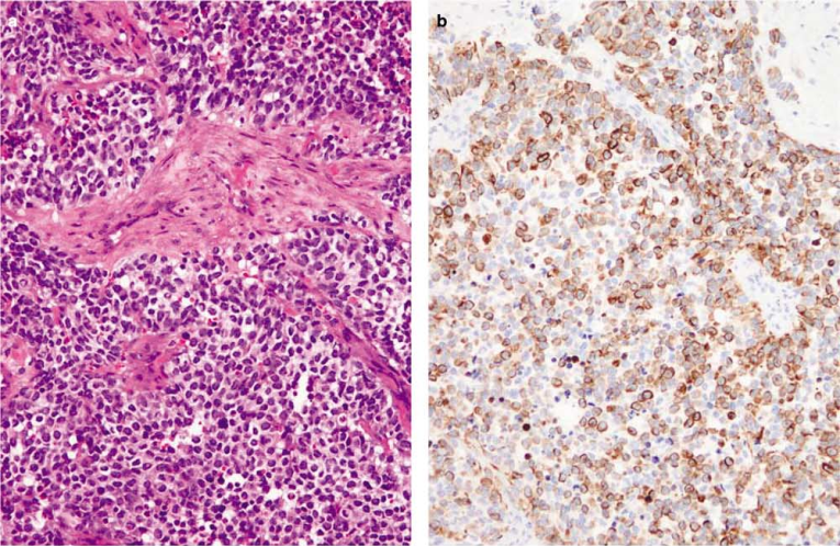
图11. 引自《Aberrant expression of epithelial and neuroendocrine markers in alveolar rhabdomyosarcoma: a potentially serious diagnostic pitfall》;腺泡状横纹肌肉瘤(a)AE1/AE3的异常表达(b)。
AE1/AE3的表达也常见于腺泡状横纹肌肉瘤,其阳性率占30%-40%,这个发现对腺泡状横纹肌肉瘤有一定的诊断意义,特别是在发生在成年人头颈部位置时诊断更要小心谨慎。促结缔组织增生性小圆形细胞肿瘤和肾母细胞瘤(Wilms瘤)也可以表达AE1/AE3,Granja等研究了44例促结缔组织增生性小圆形细胞肿瘤,发现有接近50%的病例可表达广谱角蛋白或低分子量角蛋白。此外,卵黄囊瘤也可表达AE1/AE3。
图12. 引自《Yolk Sac Tumor in the Anterior Mediastinum: A Rare Case Matthew Coleman》;图为卵黄囊瘤AE1/AE3阳性 。AE1/AE3的阳性表达还可以发生在未分化肉瘤、骨肉瘤、腺瘤样瘤、腺瘤样牙源性肿瘤、侵袭性血管黏液瘤、血管肉瘤、软骨母细胞瘤、脊索瘤、脉络丛神经瘤、室管膜瘤、上皮样肉瘤、胃肠道反应性结节性纤维假瘤、胶质母细胞瘤、神经胶质瘤、上皮样血管内皮瘤、肝母细胞瘤等等。因此,对于无所不在的AE1/AE3,我们在诊断工作中必须时刻留意,提防翻车。
抗体名称 | 产品编号 | 克隆号 | 细胞定位 |
CK(Pan) | MAB-0671 | MX005 | 胞质 |
CK(Pan) | Kit-0009 | AE1/AE3 | 胞质 |
参考文献:
1、Bharani V, Sharma P, Bal A, Prakash G. A Plasma Cell Myeloma With Post-Therapy Anaplastic Morphology, Osteomyelosclerosis, and Strong Pan-Cytokeratin (AE1/AE3) Expression: A Potential Diagnostic Pitfall. Int J Surg Pathol. 2018 May;26(3):232-235
2、Yeh I-T, O´ Connor DM, Kurman RJ. Intermediate trophoblast: further immunocytochemical characterization. Mod Pathol. 1990;3:282–287
3、Heatley MK, Maxwell P, Toner PG. The immunophenotype of human decidua and extra-uterine decidual reactions. Histopathology. 1996;29:437–442.
4、Litzky LA, Brooks JJ. Cytokeratin immunoreactivity in malignant fibrous histiocytoma and spindle cell tumors: comparison between frozen and paraffin-embedded tissues. Mod Pathol 1992;5:30-4
5、Granja NM , Begnami MD, Bortolan J, Filho AL, Schmitt FC. Desmoplastic small round cell tumour: Cytological and immunocytochemical features. Cytojournal. 2005 Mar 18;2(1):6.
6、Sarlomo-Rikala M, Tsujimura T, Lendahl U, Miettinen M. Patterns of nestin and other intermediate filament expression distinguish between gastrointestinal stromal tumors, leiomyomas and schwannomas. APMIS 2002;110:499-507
7、Fanburg-Smith JC, Majidi M, Miettinen M. Keratin expression in schwannoma; a study of 115 retroperitoneal and 22 peripheral schwannomas. Mod Pathol. 2006 Jan;19(1): 115-21.
更多信息,请详询:800-8581156或400-889-9853