
SOX-10基因位于染色体22q13.1,属于SOX基因家族成员之一,对神经嵴衍生细胞的存活和分化至关重要,可在几乎所有的痣和恶性黑色素瘤、神经鞘瘤、促纤维组织增生性恶性黑色素瘤、神经纤维瘤、颗粒细胞瘤和肌上皮肿瘤中表达,是黑色素瘤、神经嵴来源肿瘤的有效标志物。但近年来,越来越多的研究表明SOX-10在TNBC中具有较高的阳性表达率,并与该肿瘤的恶性程度相关,可作为TNBC鉴别诊断及预后的有效生物标志物,并具有成为TNBC治疗靶点的潜力。
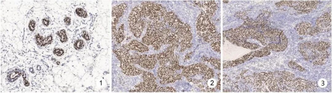
TNBC是起源于乳腺肌上皮细胞的恶性肿瘤,占乳腺癌的15%~20%,其特点为 ER、PR、HER-2 表达缺失,发病年龄早,异质性较大,转移潜能大,恶性程度较高,暂无阳性治疗的“靶点”,患者中位总生存时间仅为13~ 18个月,因此,有必要寻找新的诊断指标。石瑞芳等人对193例乳腺癌组织进行了免疫组化研究,SOX-10在TNBC中的阳性率为61.54%,在 HER-2过表达型、腺腔 A 和 B 乳腺癌中未见表达 (p<0.05),提示 SOX-10 与TNBC表达存在较好的相关性,可作为TNBC诊断的标志物。刘辉等人对274乳腺例乳腺癌标本(其中TNBC 48 例、非 TNBC 226 例)及50例正常乳腺组织进行了SOX-10免疫组化研究,发现SOX-10在乳腺组织中的表达如图1所示:在正常乳腺组织仅表达于肌上皮细胞(图1 ①) ,在 TNBC 和非TNBC中的表达率分别为60. 4% ( 29 /48) 和 0 ( 0 / 226) ,差异具有显著性( P<0. 001,图1 ② ③),表明SOX-10的在乳腺组织中的表达可用于TNBC与非TNBC的鉴别诊断。
图1 SOX-10在乳腺组织中的表达
(① SOX10 表达于正常乳腺导管肌上皮细胞;②、③ SOX10 在 TNBC 肿瘤组织呈弥漫强阳性表达)
Shirley K Jamidi等人的研究纳入了1766 -1883例不等的浸润性乳腺癌作为检测病例,另有42 例 TNBC 和49例非TNBC作为验证病例。发现SOX-10 仅在少数浸润性乳腺癌中表达,占比6.9%(122/1777),其中TNBC的SOX-10 表达率31.3%(83/265)远高于非 TNBC的2.6%(39/1512),在SOX-10表达的TNBC基底样表型占比42.2%(49/116),远高于五个标志物阴性表型(5NP)的22.8%(34/149)。在验证病例中,SOX-10 在 81.0% (34/42) 的 TNBC 中表达,其中基底样表型占64.28%,5NP亚型占比16.67%。非TNBC中SOX-10的表达率仅占 2.0% (1/49),进一步证实了SOX-10在TNBC中的高表达率和在非TNBC中的低表达率。该研究中,大多数 SOX-10 阳性病例(85.3%;29/34)在>50% 的肿瘤细胞中显示出弥漫性核染色,所有SOX-10 阳性病例可呈异质性表达,均具有中等至强强度(如图2所示),为完整切片中 SOX-10 表达的代表性染色。
图2 SOX-10在整个切片中的代表性染色
(A.SOX-10在TNBC中的同质表达;B.异质表达;C.相邻的正常小叶)
与上述Shirley K Jamidi等人的研究一致,Katharina Kriegsmann等人对113例TNBC的免疫组化研究发现 SOX-10 表达与 Ki-67 和波形蛋白、CD117等标志物呈正相关,而这两个标志物都与 TNBC 中较差的预后有关,此外该研究还发现SOX-10 在TNBC中的表达与年轻患者年龄 (P = 0.001)、较高组织学分级 (P = 0.003) 和坏死的存在 (P < 0.001) 呈显著的正相关,表明SOX-10的表达与较差的预后相关。李杰等人收集了557例TNBC 患者的临床病理资料进行免疫组化研究,发现SOX-10 阳性者可达63.6%(354 /557例)。该研究中TNBC的SOX-10阳性表达者生存率及无进展生存期均显著低于阴性者(如图3所示),此外,该研究还发现SOX-10 阳性与肿瘤的恶性特征相关,如:组织学分级高(p<0.001)、淋巴结转移或脉管瘤栓多(p=0.001)、Ki-67 增殖指数高 (p<0.001)等,提示 SOX-10 可作为生物学标志物评估患者预后,并且有潜力成为 TNBC 的治疗靶点。
图3 TNBC中SOX-10表达与无进展生存期的关系
综上所述,SOX-10在TNBC中具有较高的表达率,尤其在基底样表型中,但在非TNBC中表达率极低,在正常乳腺组织中仅表达于肌上皮细胞,同时SOX-10的表达与TNBC较差的预后相关,因此SOX-10不仅可用于TNBC的鉴别诊断,还可作为患者预后评估的生物标志物,并具有成为TNBC 治疗靶点的潜力。
抗体名称 | 产品编号 | 克隆号 | 细胞定位 |
SOX-10 | RMA-0726 | EP268 | 胞核 |
参考文献:
[1]Jamidi S K , Hu J , Aphivatanasiri C , et al. Sry‐related high‐mobility‐group/HMG box 10 (SOX10) as a sensitive marker for triple‐negative breast cancer[J]. Histopathology, 2020.DOI: 10.1111/his.14118
[2]Kriegsmann K , Flechtenmacher C , Heil J , et al. Immunohistological Expression of SOX-10 in Triple-Negative Breast Cancer: A Descriptive Analysis of 113 Samples[J]. International Journal of Molecular Sciences, 2020. DOI: 10.3390/ijms21176407
[3]李杰,李诗,李芳等. 三阴型乳腺癌中AR、SOX10、EGFR 和 PD - L1 的表达及临床意义[J]. 临床与实验病理学杂志,2021,37(3):344-347
[4]石瑞芳. 乳腺癌组织中SOX10的表达及其与临床病理特征的相关性分析[J]. 中国卫生标准管理, 2017, 8(4):125-126
[5]刘辉,任雨洁,杨菁茹,等.SOX10、GATA3和GCDFP-15在三阴性乳腺癌中的表达及意义[J].诊断病理学杂志,2021,28(11):950-953,968.
更多信息,请详询:800-8581156或400-889-9853