
涎腺肿瘤的诊断对于外科病理学家来说是一个挑战,因为肿瘤的发生率低,且组织学特征重叠。在小的活检中,为临床管理传达最重要的信息是区分良性/低级别肿瘤与高级别癌。本文将根据四种广泛的形态学模式来讨论涎腺肿瘤的鉴别诊断:基底样/管状/筛状,(微)囊性/分泌性/黏液性,实性巢状/透明-梭形,以及嗜酸细胞/嗜酸细胞样。在免疫组化的帮助下,显示细胞类型的数量(主要是上皮细胞与肌上皮细胞/基底细胞)可以进一步在这些形态分类中对肿瘤进行亚分类。额外的肿瘤特异性免疫标记物在某些情况下是有用的。潜在的肿瘤特异性遗传异常可能是有价值的,然而,免疫组化相关性仅对一些人可用。在正确的形态学背景下,当使用得当,并了解其局限性时,免疫组化染色可以帮助鉴别形态相似的肿瘤。
唾液腺肿瘤很少见,高达85%是良性的,而唾液腺型癌仅占所有头颈部肿瘤的6%。最常见的良性肿瘤是多形性腺瘤,最常见的恶性肿瘤是黏液表皮样癌,其次是腺样囊性癌。许多肿瘤,包括良性和恶性,有显著的形态重叠,即使是切除标本,明确诊断也具有挑战性。确定每个实体的独特组织学特征可能是建立诊断的必要条件。本文将根据涎腺肿瘤的四大类形态学模式来讨论其鉴别诊断(图1)。在这些分组的背景下,选择免疫组化染色可能要区别对待。在某些情况下,靶向染色反映了特定肿瘤潜在的遗传异常诊断。本综述的目的是提供一种基于模式的唾液腺肿瘤的诊断方法,使用选择性免疫组化和遗传学,当适用时,作为辅助鉴别诊断技术。
图1:唾液腺肿瘤概览。红菱形肿瘤包括上皮表型肿瘤。嗜酸细胞肿瘤和Warthin肿瘤(*)在形态上呈上皮样和单型,被证明具有p63+的外层。蓝菱形包括肌上皮/基底表型肿瘤。洋红色菱形包括双相性肿瘤(上皮细胞和肌上皮/基底细胞)。橙色卵圆形包括嗜酸细胞性形态的肿瘤。绿色卵圆形包括囊性/分泌型/黏液型肿瘤。紫色卵圆形包括基底样/管状/筛状形态的肿瘤。棕卵圆形包括实性-巢状/透明-梭形类肿瘤。关键:Ca=癌;ad=腺瘤;Ns=肿瘤。
大唾液腺的活检通常采用细针穿刺(FNA)或针芯活检,口内小唾液腺的活检通常采用切口活检或刮除活检。核心、切口或刮除活检通常很小,可能结构扭曲,可能缺乏与正常结构的接口。术前活检应以确定两个项目为目标。首先,如果病变更有可能是原发性唾液腺肿瘤或转移瘤。大唾液腺内及周围有淋巴结,在鉴别诊断时应考虑局部转移。第二,病变是高级别还是低级别。良性肿瘤和低级别癌通常都需要局部手术切除阴性切缘。高级别癌通常需要额外的手术计划和颈部清扫。许多涎腺肿瘤的高级别特征包括明显的核异型性、坏死、核分裂增加或不典型核分裂,以及周围神经或淋巴血管浸润。核芯、切口或刮除活检的诊断通常是描述性的,伴有分级。明确的亚分类最好在手术切除标本上进行,在手术切除标本上检查整个肿瘤,并在需要时辅以辅助检查。熟悉唾液腺的显微解剖有助于将唾液腺的形态学与免疫组织化学联系起来。正常的导管和腺泡有腔内上皮细胞和腔外上皮细胞,它们是收缩性肌上皮细胞或非收缩性基底细胞。每个腺泡的上皮成分由浆液细胞和/或黏液细胞组成。收缩性肌上皮细胞围绕单个腺泡。有从外侧肌上皮细胞层向外侧基底细胞层的形态学转换:闰管(腺泡之间的小导管)有一个简单的立方上皮内层和外侧肌上皮层。较大的纹状管由简单的柱状细胞排列,伴由外周肌上皮细胞向基底细胞过渡。大的小叶间/排泄管由假层状柱状细胞排列,周围有基底细胞。内腔上皮细胞倾向于表达低分子量的细胞角蛋白。外腔肌上皮和基底细胞表达高分子量的细胞角蛋白和基底细胞标志物(p40/p63)。特异性的肌上皮标志物(SMA,calponin,S100, SOX10)在有肌上皮分化(但不是基底分化)的细胞中表达。当应用于形态学模式的背景下,识别细胞数量和类型可以帮助鉴别诊断。附加的染色,或对特定的肿瘤或反映潜在的分子遗传学可以进一步帮助分类。这篇综述不是对所有涎腺肿瘤的形态学和免疫表型进行详尽的讨论,而是将重点放在选择的免疫染色套餐上,这些免疫染色有助于在四个主要的形态学模式组中分析常见的肿瘤:基底样/筛状/管状,(微)囊状/分泌状/黏液状,实性-巢状/透明-梭形,嗜酸细胞/嗜酸细胞样。在某些情况下,通过聚合酶链反应(PCR)、荧光原位杂交(FISH)或下一代测序(NGS)确认潜在的遗传异常可能有助于支持明确的诊断。这类肿瘤(表1)呈蓝色,基底样,低倍镜下常呈单调。典型的,这类肿瘤细胞密度高,核质比高。其结构是多样的,包括筛状、管状和实性生长模式,偶尔有黏液基质背景。这类病变包括腺样囊性癌(AdCC)、基底细胞肿瘤(BCN)、多形性腺癌(PAC)和细胞性多形性腺瘤(PA)。AdCC是双相的,倾向于具有独特的筛状结构,与相关的蓝灰色黏液样基质物。BCN(腺瘤和腺癌)也是双相的,表现为大巢状(所谓的膜状或拼图)到小管-小梁状的模式,周围栅栏状,密集的嗜酸性基质基底膜样物呈球状或带状排列。基底细胞腺瘤和腺癌一起被包括在BCN的亚类中,因为在完整的组织学检查中,两者具有侵袭性的区别。PAC具有单细胞群和典型的毛玻璃样核/皱褶,使人想起甲状腺乳头状癌。结构是高度可变的,可以包括车幅状,单列,或肾小球的模式。筛状亚型与经典PAC亚型考虑在一起,因为其免疫表型相似。最后,细胞性PA是双相的,必须包含双层导管。如果以片状或筛状结构为主,且典型的软骨样间质稀疏或缺失,则诊断具有挑战性。作为混杂因素,PA还可表现为黏液性、皮脂性、鳞状、嗜酸细胞性和脂肪瘤性化生。纯的肌上皮瘤在这一类别中也值得提及,然而,在导管缺乏/富含肌上皮的PA和肌上皮瘤之间存在着观察者间的差异,这取决于病理学家对允许的导管数量的阈值。最后,虽然上皮-肌上皮癌也可能以双相肿瘤的形式进入分化阶段,但通常以肌上皮细胞为主,因此将在实性-巢状/透明-梭形章节中讨论该肿瘤。表1.选择基底状/筛状/管状肿瘤的免疫表型和遗传学
AdCC,BCN和PA含有p40/p63阳性的基底/肌上皮细胞群(图2和3)。在AdCC和PA中,这种细胞群存在于小管的腔内细胞层,腔内上皮层表达CD117/c-Kit。在筛状结构区域,上皮细胞被夹在肌上皮细胞之间,肌上皮细胞既存在于筛状巢的外缘,也存在于筛状空间的内衬中,其中含有蓝色黏液物质。正是这种地图状表达模式最有帮助。AdCC的实区可弥漫性表达CD117。在BCN中,p40/p63倾向于表达于巢的栅栏状外周基底细胞层。PAC是该组中唯一一个p40不表达的单细胞群肿瘤。p40表达的缺失对区分PAC是最有帮助的,因为有趣的是,p63可以在一个斑块分布中表达。CD117/c-Kit常在基底细胞肿瘤中呈阳性,尤其是在中央上皮细胞中,在PAC中呈非特异性染色模式。虽然CD117通常被认为是AdCC的标记物,但应该谨慎解释,因为它也在其他涎腺肿瘤中表达,如前所述。

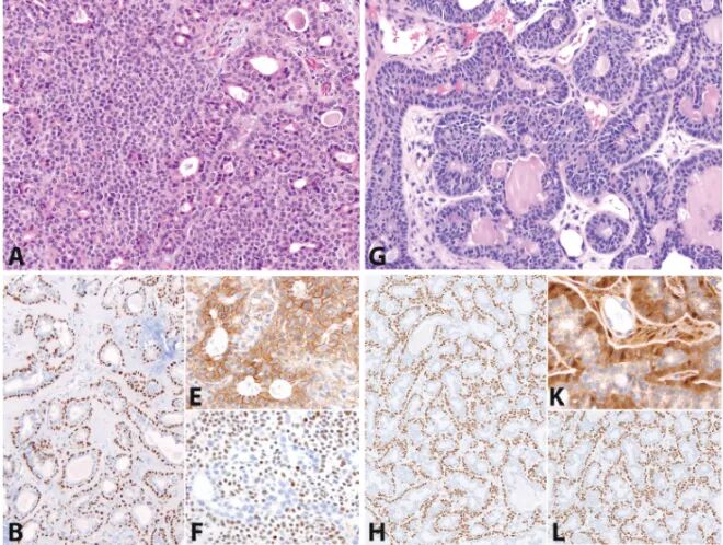
图2:多形性腺瘤与基底细胞瘤。细胞性多形性腺瘤(A)和基底细胞瘤(G)均显示p40/p63阳性的外周细胞(B和H)和CD117阳性的中央上皮细胞(C和I)。S100常突出显示导管周围的肌上皮细胞,或片状多形性腺瘤(D)。S100可以显示基底细胞肿瘤小管梁状上皮样巢的非特异性染色,但强烈突出了巢间细胞梭形间质(J)。许多CTNNB1突变的基底细胞腺瘤在外周细胞层和梭形间质的核/细胞质中表达b-catenin(K)。其他CTNNB1野生型肿瘤仅表现为膜性表达(E),LEF1可在基底细胞(L)和非基底细胞(F)肿瘤中表达。

图3:多形性/筛状腺癌与腺样囊性癌。多形性腺癌(A)及其筛状变体p40均为阴性(B),证实其缺乏真正的基底细胞群。然而,p63可以表现为斑片状表达(B,插图)。CD117也可表现为弱斑片状表达(C)。S100通常为强弥漫性阳性(D)。相反,腺样囊性癌(E)显示p40和p63阳性细胞在周围基底膜和中央间质区(F)的地图状分布,CD117阳性上皮细胞夹在(G)之间。S100可以可变的非特异性表达(H)。
另一个对PAC至关重要的免疫染色是S100,它表现出强烈和弥漫性表达[图3]。AdCC可表现出非特异性的斑块状S100表达,且无特殊的地图状分布。在PA中,S100通常局限于肌上皮细胞,在管腔上皮细胞中无表达。然而,PA中的玻璃样或浆细胞样肌上皮细胞可表现出强S100表达,如果过度表达则出现诊断困境。虽然浆细胞样细胞可以出现在PAC,他们更常见于PA。在BCN中,S100在细胞梭形间质中强表达,在上皮样巢中可呈斑片状。当形态学特征和免疫特征不明确时,遗传学可能有助于诊断确认。AdCC典型地支持NFIB重组,最常见的合作伙伴是MYB,其次是MYBL1。MYB蛋白过表达,免疫染色可证实,主要在肌上皮细胞的细胞核中。然而,在其他基底样肿瘤(BCN、PAC、PA)中很少有核表达,因此,遗传学可能更具特异性。不太常见的是,NOTCH突变在AdCC中被检测到,最常见的是NOTCH1。核弥漫性NOTCH1表达与NOTCH1突变状态相关,预示着更差的临床结局。然而,NOTCH1野生型AdCC和非AdCC(包括BCN、PAC和PA)中可以出现斑驳状或所谓的“子集”表达,这可能限制了它的实用性。基底细胞肿瘤中可能存在CLYD1基因突变,然而,该基因突变尚未被证明与免疫表达相关。基底细胞腺瘤更常见CTNNB1突变,随后,基底细胞群和基质细胞中的BCN可能表现出-连环蛋白的核表达。非BCN一般仅表现为膜性表达。基底细胞肿瘤也可表现出LEF-1(一种β-连环蛋白共激活因子)核阳性,但该标记物不是特异性的,在PA、AdCC、上皮-肌上皮癌和透明细胞癌中也可呈阳性。[图2]多形性腺癌PRKD1存在点突变。筛状变异通常含有PRKD1、2或3基因重排。然而,PRKD异常没有免疫组化相关。多形性腺瘤常伴有PLAG1和HMGA2的改变;PLAG1和HMGA2免疫组化染色表明肿瘤中有这些基因的改变。然而,这些标记物在PAC、BCN、肌上皮癌和上皮-肌上皮癌中可能呈阳性,但可能不够敏感或特异性。