这类肿瘤[表1]通常表现出均匀的细胞形态,其结构从微囊性到囊性不等,有时为实性。囊腔内可含有腔内分泌物,细胞可显示胞浆内空泡或颗粒状物质。这类病变包括黏液表皮样癌(MEC)、腺泡细胞癌(AcCC)、分泌性癌(SEC)和导管内癌(IDC)。MEC是唯一有3种细胞类型的唾液腺肿瘤:黏液细胞,中间细胞和鳞状细胞。然而,后两者之间的区别可能不太清楚。结构可以从微囊状,到大囊状,再到实性。虽然AcCC通常是实性的,但真正的微囊变异体可能对诊断构成挑战,但胞浆内酶原颗粒应该存在。可见微囊状、乳头状、实性生长,腔内有水样或致密的分泌性物质,偶尔有胞浆内的非黏液性空泡。IDC通常有大量的大囊性结构,腔内增生性生长,均匀地由外层肌上皮/基底细胞层包围。多形性(筛状)腺癌(在基底样/管状/筛状章节讨论)可显示微囊性区域,也可作为鉴别诊断的考虑因素。
表1. 列举(微)囊性/分泌性/黏液性肿瘤的免疫表型和遗传学
(点击可查看大图)
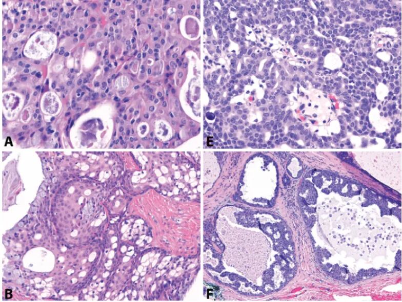
肌上皮/基底标记物(p40/p63)的评估可能再次提供了一个起点。MEC在大多数细胞(包括中间细胞和鳞状细胞)中弥漫性表达p40/p63(图1)。IDC的独特之处在于,所有巢均被p40/p63/SMA/calponin阳性单层所包围,从而确定了导管内的位置。病变细胞在导管系统的范围内增殖,然而,偶尔的病例与局灶性侵犯已被报道。AcCC和SEC对p40/p63是阴性的,因为它们都包含一个单细胞类型。

图1:黏液表皮样癌与导管内癌。高倍镜下,一些黏液表皮样癌(A)和导管内癌(E)可显示微囊性结构。然而,低倍镜在黏液表皮样癌(B)中显示更特征性的大囊性和实性区域,在导管内癌(F)中显示导管内增生和腔内增生。大多数黏液表皮样癌细胞表达p63(C),而导管内癌只有非肿瘤性外周细胞层表达阳性(G)。这些外周的肌上皮细胞也表达SMA(H)。在黏液表皮样癌中存在PAS阳性的抗淀粉酶胞浆内黏液空泡(D),但在许多其他唾液腺肿瘤可发生黏液化生时,应始终保持谨慎。
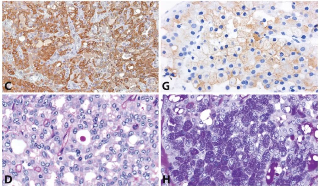
S100和mammaglobin在这一分类中特别有用,因为SEC和IDC都表现出强和弥漫性的表达。[图2]AcCC为阴性。MEC可呈斑片状非特异性染色。在IDC的大汗腺分泌变异体中,雄激素受体也可能表达。DOG1免疫染色和PAS/PAS-淀粉酶组织化学染色也有助于这种模式组。DOG1通常在AcCC中表达,表现为顶端膜质、细胞质或完全膜质染色。在MEC及其他非AcCC肿瘤(PA、PAC、AdCC)的管腔及黏液细胞中均可见斑片状染色。IDC和SEC的DOG1为阴性。MEC的胞浆内黏蛋白和AcCC的酶原颗粒均为PAS阳性/淀粉酶耐药。

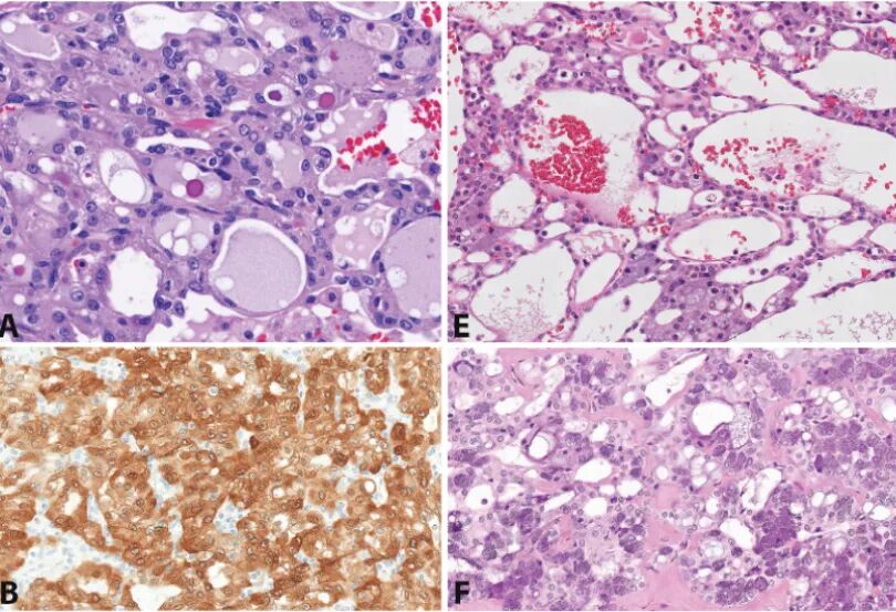
图2:分泌性癌vs腺泡细胞癌。分泌癌(A)在大多数情况下表现为弥漫性强S100(B)和mammaglobin表达(C)。相反,腺泡细胞癌,包括真正的微囊变异体(E)对两者均为阴性。浆液腺泡细胞的存在,即使是局灶性的,也有助于诊断(F)。在腺泡细胞癌(G)中,DOG1表现为可变的顶端膜或胞质表达,而分泌性癌则为阴性。PAS阳性抗淀粉酶胞浆内颗粒在分泌性癌中是不存在的(D),即使腔内分泌物可能被突出显示。腺泡细胞癌中存在抗淀粉酶酶原颗粒(H)。虽然PAS-D可染色SEC囊内分泌物,但不应突出胞质内容物。在某些IDC中,PAS-D显示胞浆内颗粒。一个报道的陷阱包括SEC中存在PAS-D阳性假酶原或含铁血黄素颗粒,这可以通过铁染色证实。如果不重新提及PAC和引入管状腺瘤,关于强和弥漫的S100表达的讨论是不完整的。管状腺瘤绝大多数出现在中老年女性的上唇。它包含细束长方体柱状细胞,偶有珠状、囊肿形成,松散的黏液样血管间质。S100和GFAP在肿瘤周围或囊腔弥漫性表达。表2给出了单形肿瘤(包括那些表达S100的肿瘤)的概述。表2. 列举单形、非嗜酸细胞性涎腺肿瘤的免疫表型

(点击可查看大图)
遗传分析可能有助于这一形态组,然而,免疫组化相关是稀少的。MEC通常具有MAML2基因重排,最常见的融合伙伴是CRTC1和CRTC3。MAML2没有免疫组化相关。IDC通常显示RET重排,在传统闰管表型和大汗腺分泌表型中,最常见的融合伙伴分别是NCOA4和TRIM27。同样,RET重排不具有免疫组化相关性。最近,NR4A3或更少见的MSANTD3基因重排在AcCC中被证实。NR4A3重排的病例可以显示NR4A3免疫染色的核表达,而在其他评估的涎腺癌中,NR4A3免疫染色为阴性。MSANTD3无免疫组化相关性。ETV6-NTRK3重排存在于大多数SEC中,以及ETV6重排与RET及其他未知伙伴。其他解剖部位(乳腺、皮肤、甲状腺和肺)在组织学和基因上是相同的。ETV6-NTRK3重排的病例应显示核表达的泛TRK免疫染色。在MEC,PA和PAC中已记录到胞质或膜质表达。TRK基因重排的分子确认可能表明在使用TRK抑制剂治疗之前。