上期我们概述了肾肿瘤的基本类别,及PAX8、PAX2、CD10及RCC等标记物在肾脏肿瘤中表达的作用。接下来,我们将对肾肿瘤伴透明细胞形态、肾肿瘤伴嗜酸性/嗜酸细胞、有乳头状形成的肿瘤、肾髓质癌、集合管癌及其他侵袭性/浸润性肿瘤这五大类肿瘤的不同亚型及其免疫组化进行讲解。那么本期我们就来了解一下肾肿瘤伴透明细胞形态这一大类吧!
CCRCC占所有成人RCC的近70%,是临床上最相关的RCC亚型,目前已有的治疗指南主要遵循组织学二分类,即透明细胞-和非透明细胞-RCC。尽管透明细胞细胞学的肾肿瘤谱系包括多种肾肿瘤(表1),但谨慎的诊断方法是建立以CCRCC为中心的诊断方法。表1. 肾细胞癌伴透明细胞

CCRCC的组织形态学如图1(A-I)所示,其中真正的乳头状形成极为罕见,但也有类似透明细胞(管状)乳头状肾细胞癌的亚型,有分支腺状结构或核排列。TFE3-RCC、透明细胞乳头状RCC和具有透明细胞特征的乳头状RCC可考虑为具有乳头状和透明细胞学特征的肿瘤。

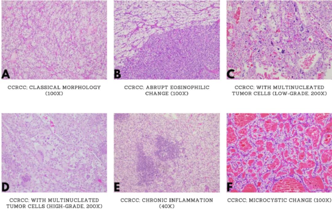
图1. 透明细胞肾细胞癌(CCRCC),伴典型和变异的形态。(A:典型的CCRCC胞浆丰富,细胞边界清晰,呈巢状或腺泡状,被精致的毛细血管网包裹,但肿瘤内和肿瘤间的形态可能存在显著的异质性;B:CCRCC的胞浆嗜酸性;C和D:CCRCC的多核巨细胞;E:胞浆或细胞间透明样沉积、慢性炎症、F和G:坏死、纤维化/透明样变、囊性变、假乳;H:管状结构,I可见高级别特征)
CA IX在90%以上的CCRCC呈持续弥漫和强膜性染色(图2B),但在高级别CCRCC中表达降低。但CA IX并不是RCC的特异性表达,它的IHC表达以局灶性、弱到中度为主,见于(但不限于)肾上腺、食管、胃、结肠、前列腺、睾丸生殖细胞肿瘤(特别是畸胎瘤)和霍奇金淋巴瘤中的Reed-Sternberg细胞。除CCRCC外, 乳头状RCC、FH-RCC和罕见的嫌色RCC均表达CA IX,但分布通常不呈弥漫性。由于CA IX是一种与缺氧密切相关的标志物,在坏死边缘的活细胞中可发现非特异性表达。CCRCC相对稳定地缺乏CK7的表达,除了在囊性变的区域有局灶性标记外(图2C)。弥漫性CK7标记在CCRCC中是罕见的。另外,CD10表达在原发和转移性CCRCC中几乎总是可见,甚至在肉瘤样分化中也是如此。虽然IHC对典型形态的CCRCC的诊断是不必要的,但在不明确的病例中,弥漫性和强膜性CA IX标记,阴性或极少的CK7,以及CD10阳性通常就足以诊断。KIT、AMACR(图2E)、波形蛋白和其他标记物也可用于特定的情况,并将在特殊的鉴别诊断中加以解释。
图2. 透明细胞肾细胞癌免疫组化。
CCRCC偶尔表现出异常的免疫组化模式,可能导致误诊。约一半的CCRCC表达Napsin A,增加了可疑肾或肺转移癌诊断检查的复杂性(图2F)。CCRCC在缺乏基因重排的情况下仍可显示TFE3阳性,但很少呈弥漫性强的模式,尤其在高级别特征的肿瘤中。最近对BAP1的一项分析表明,该蛋白在遗传及蛋白水平上是一个公认的不良预后标记物,BAP1基因突变的病例BAP1蛋白缺失与明显的组织学特征相关,包括大的嗜酸性细胞,高级别细胞核,弥漫性和强AMACR标记。
CCPRCC是一种非侵袭性肿瘤,但形态可与CCRCC发生重叠(图3A),导致诊断困难。IHC有助于二者的鉴别,与弥漫性强CA IX表达的CCRCC相比,CCPRCC有时表现为管腔标记缺失,呈所谓的杯口状(图3B)。更重要的是,弥漫性CK7(图3C)表达与绝大多数CCRCC不同。CD10(图3D)和AMACR在CCPRCC中典型为阴性,分别与CCRCC和乳头状RCC形成对比。肿瘤也经常标记CK-HMW(34βE12)和GATA3,表明其表型更多发生在远端肾单位而非近端肾单位。
图3. 透明细胞乳头状肾细胞癌(CCPRCC)和纤维瘤性间质肾细胞癌(RCCFS)的形态学和免疫表型比较。最近发现,肾肿瘤伴细胞浆更大更透亮,形成分支小管,被突出的平滑肌样间质隔开,具有明显的免疫组化和分子特征(图3E)。RCCFS被认为是这些肿瘤的一个包涵性术语(以前是平滑肌瘤性或平滑肌间质,及其他名称)。TSC1,TSC2和MTOR突变在该肿瘤中被发现,该肿瘤表现为可变CA IX(图3F)、弥漫性CK7(图3G)和频繁CD10(图3H)标记,AMACR反应性最小。RCCFS常被认为是一种惰性结局,但在结节性硬化复合体的患者中也有罕见淋巴结受累的报道。最近也发现一些透明细胞样肿瘤具有ELOC(以前称为TCEB1)突变。与CCRCC相比,这些细胞增加了CK7标记,虽然目前对这种实体的临床意义仍存在争议,而且可能很难进行前瞻性识别。
染色体易位是癌症中最常见的基因改变之一,在肾细胞癌中并不常见。最常见的肾脏实体定义易位事件涉及小眼症转录因子(MITF)家族基因TFE3、TFEB,很少涉及MITF本身。其中研究最多的是TFE3基因重排RCC(TFE3-RCC),也是最常见的易位相关RCC,占儿童RCC的40%,成人RCC的4.2%。上皮样透明至嗜酸性肿瘤细胞形成真正的乳头状(图4A),多种生长模式,偶见沙粒钙化被认为是提示形态特征,偶见低级别嗜酸细胞(多达1/4的病例)(图4B)或高级别癌特征在罕见病例中出现。

图4. TFE3基因重排肾细胞癌(TFE3-RCC)、TFEB基因重排肾细胞癌(TFEB-RCC)和TFEB扩增肾细胞癌(TFEB amp. RCC)的形态学和免疫表型特征。
最初的IHC评估和其他几个相对较大的系列显示角蛋白最小或阴性标记(图4C),通常为CK7阴性(图4D),CA IX阳性,AMACR23阳性,但阴性角蛋白IHC并不绝对。黑色素细胞标志物和组织蛋白酶K在TFE3-RCC中有不同的表达,尤其是在PRCC融合的患者中。检测TFE3 FISH重排最特异、阳性预测值最高的IHC标志物是TFE3(图4E),在血管周围上皮样肿瘤(PEComa)和TMP3-ALK重排的RCC中也有TFE3 IHC的表达,前者有TFE3基因重排。目前诊断TFE3 RCC的标准主要是FISH(图4F),但由于染色体内隐性易位也可出现一些假阴性。在MITF家族易位相关的RCC中,较不常见的重排基因是TFEB(TFEB-RCC)。该肿瘤最初描述的典型形态包括双相细胞排列,其中有大的上皮样细胞,类似TFE3-RCC,周围有小得多的嗜酸性细胞簇,核质比相对较高(图4G)。更小的嗜酸性细胞也包裹在基底膜样物质的小球周围。这种典型的形态学特征与MALAT1-TFEB易位有关,包括HMB45和Melan-A在内的黑素细胞标志物在TFEB-RCC中经常呈阳性,组织蛋白酶-k在几乎所有TFEB-RCC中也呈阳性。TFEB在TFEB-RCC中过表达,尽管它也在TFEB扩增的RCC中表达,这在形态学上是(图4H和4I)和临床上不同的RCC,具有高级别特征的肾肿瘤会被提到这些。嫌色RCC是一种以透明细胞为主的较为常见的RCC, 被认为是远端小管插入细胞的再现。其典型类型包含两种细胞群:大的透明细胞,胞膜突出,显示植物细胞的细胞壁;较小的嗜酸性细胞,核周透明(晕)(图5A)。
图5. 嫌色性肾细胞癌的形态学和免疫表型特征(典型的A-C;嗜酸性细胞(G)、嗜酸细胞瘤(D-F)和琥珀酸脱氢酶缺乏性肾细胞癌(SDHRCC,H-I)。
上述两种类型都含有核膜不规则的细胞核。多数嫌色RCC 可见血管透明化的实性生长模式,血管主要由大的透明细胞排列(图5A)。弥漫性CK7(图5B)和KIT(图5C)标记常出现在嫌色性肾细胞癌中,这在其他类型的透明细胞癌中非常罕见。与CCRCC相反,在嫌色性RCC中波形蛋白始终呈阴性。
参考文献:Akgul M, Williamson SR. Immunohistochemistry for the diagnosis of renal epithelial neoplasms. Semin Diagn Pathol,2022 Jan;39(1):1-16.