
琥珀酸脱氢酶 (SDH) 是一种关键的线粒体酶复合物,位于线粒体内膜,在氧化磷酸化和细胞内氧传感和信号传导中起重要作用。SDH由 4 个亚基(A、B、C、D)组成,任何一个亚基发生突变都将导致其功能的不稳定性,甚至丧失。其中亚基 B 和 D(SDHB 和 SDHD)基因突变会引起副神经节瘤综合征,并产生副神经节瘤和嗜铬细胞瘤(合称PPGL)。随着研究深入,其他部位也发现了多种SDH缺陷性肿瘤,如SDH缺陷性胃肠道间质瘤和SDH缺陷性肾癌,均伴有SDHx亚基基因突变。临床上“SDH缺陷性肿瘤”用于指所有显示SDHB表达缺失的肿瘤。原因是当SDH复合体的任何成分出现双等位失活或亚基胚系突变时,SDHB IHC染色都是阴性,具体的发生机制并不明确,但多研究发现SDHB与其他亚基缺失表型相比,SDHB缺失发生率更高,且肿瘤的恶性风险也更高。因此,SDHB IHC染色阴性是SDH缺陷性肿瘤的标志。所有的SDH缺陷性肿瘤都建议进行SDHB IHC检测。
■ 遗传性副神经节瘤和嗜铬细胞瘤(PPGL)筛查
临床很大一部分副神经节瘤 (PGL) 和嗜铬细胞瘤 (PCC) 发生在患有遗传性 PPGL综合征的患者中,PPGL发病被证实与基因突变相关,SDHx亚基胚系突变在PPGL患者中高达20%。判断肿瘤是否存在SDHx突变对于PPGL患者治疗、随访及筛查均具有指导性意义。Choi等通过41例遗传性 PGL/PCC 综合征患者样本进行SDHB IHC分析,发现SDHx 亚基基因突变状态与 SDHB IHC 状态呈正相关(rφ = 0.77;P < .0001),SDHB识别SDH缺陷型肿瘤具有较高的相应敏感性、特异性、阳性预测值和阴性预测值(95.0%、81.8%、82.6% 和94.7%)。■ 胃肠道间质瘤(GIST)亚型诊断
琥珀酸脱氢酶(SDH)缺陷型GIST是一类独特的GIST,其定义为SDHB免疫组化表达缺失,表明线粒体复合体功能异常。SDH缺陷型GIST约占野生型GIST的50%,该亚型临床上伴有Carney"s三联征(GIST、嗜铬细胞瘤和肺软骨瘤)或Carney-Stratakis综合征(家族性GIST和嗜铬细胞瘤),极少存在Kit和PDGFRA基因突变,并具有独特的形态学特征。表现为胃部呈分叶状生长的肿块,无法根据肿瘤大小和核分裂象来判断预后,淋巴结转移常见,伊马替尼治疗耐药。
■ SDH缺陷性肾癌亚型鉴别诊断
SDH缺陷性肾癌是2016版肾脏肿瘤WHO分类的新类型,该类肿瘤具有独特的组织学形态:瘤细胞呈实性、巢状或小管状排列;胞质丰富轻度嗜酸而不均匀,内含浅染或空泡状的大包涵体。75% 的 SDH 缺陷性肾细胞癌为低级别肿瘤,预后较好。SDHB IHC检测有助于鉴别SDH缺陷性肾细胞癌,有利于治疗指导和患者个体化管理。SDHB是可靠且特异的SDHx突变的替代标记物。但SDHB IHC染色结果判读需谨慎,SDHB存在多种染色模式:1. 肿瘤细胞阴性,内对照的非肿瘤细胞(如内皮细胞、基质细胞或炎症细胞)阳性;2. 细胞质呈截然不同的颗粒状阳性(线粒体显色);3.肿瘤细胞质呈弥漫性均匀性淡棕色,与内对照的线粒体颗粒状阳性有别,应判读为阴性;4.肾细胞癌中肿瘤细胞胞质透明代表染色结果不准确,需要进一步判别。
图1. 副神经节瘤肿瘤细胞缺失表达(SDHB 阴性)
图2. 嗜铬细胞瘤细胞质弥漫淡染(SDHB 阴性)
图3. 胃肠道间质瘤中细胞质颗粒状染色(SDHB 阳性)
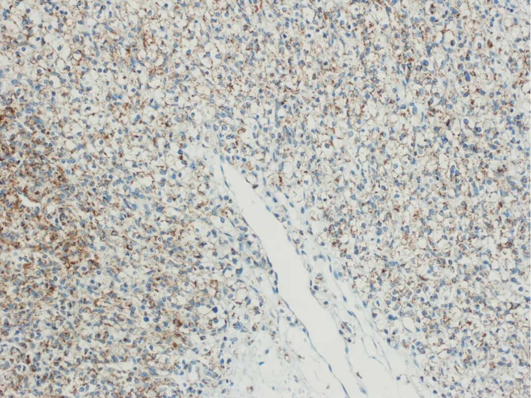
图4. 肾透明细胞癌细胞质颗粒状染色(SDHB 阳性)抗体名称 | 产品编号 | 克隆号 | 细胞定位 |
SDHB | MAB-0888
| MX096 | 胞质 |
参考文献:
1.Chien Kuang,Cornelia Ding,Salina Chan et al. An exploration in pitfalls in interpreting SDHB immunohistochemistry,His-topathology,Pub Date : 2022-05-11 , DOI: 10.1111/his.14681
2.Choi, H.-R., Koo, J.-S., Lee, C.-R., Lee, J.-D., Kang, S.-W., Jo, Y.-S., & Chung, W.-Y. (2021). Efficacy of Immunohistochemistry for SDHB in the Screening of Hereditary Pheochromocytoma Paraganglioma. Biology, 10(7), 677. doi:10.3390/biology10070677
3.Udager, A. M., Magers, M. J., Goerke, D. M., Vinco, M. L., Siddiqui, J., Cao, X., … Mehra, R. (2018). The utility of SDHB and FH immunohistochemistry in patients evaluated for hereditary paraganglioma-pheochromocytoma syndromes. Human Pathology, 71, 47–54. doi:10.1016/j.humpath.2017.10.013
4.高大林, 贺慧颖. 琥珀酸脱氢酶复合物变异在肿瘤病理诊断中的意义 [J] . 中华病理学杂志, 2021, 50(2) : 159-163. DOI: 10.3760/cma.j.cn112151-20200714-00558.
5.[1]石穿, 曾正陪, 赵大春,等. 琥珀酸脱氢酶B、C免疫组化在鉴别良恶性嗜铬细胞瘤和副神经节瘤中的应用[J]. 中华内分泌代谢杂志, 2018, 34(6):7.
更多信息,请详询:800-8581156 或 400-889-9853