
GLUT1是一种膜结合的促进性葡萄糖转运蛋白,主要负责细胞对葡萄糖的摄取,约占红细胞膜质量的5%,也是红系细胞的 L-脱氢抗坏血酸的关键转运蛋白。 红细胞生成过程中 GLUT1 蛋白在嗜碱性成红细胞阶段可检测到表达,随着进一步成熟,表达增加。最新的研究发现GLUT1 蛋白在原红细胞中的含量较低,并随着红细胞前体成熟为晚期成红细胞而显著增加。表明GLUT1可能是一种用于红细胞分化的充分表征的IHC标志物。先前建立的红系分化IHC标志物,如E-Cadherin等,各有其独特的优势和局限性,GLUT1 将是可靠的红系标志物组的实际补充。因此,本研究评估 GLUT1 IHC 作为临床标志物在造血组织中识别红系分化(包括肿瘤性增殖)的效用。
选择各种红系前体细胞比例不同的良性和肿瘤性骨髓活检标本(n=46,包括36例白血病)。对每个病例进行红系前体细胞、非红系造血细胞和原始细胞的GLUT1 IHC染色。对1例患者进行GATA1/GLUT1双重染色,以证实GLUT1在早期红系前体细胞上共表达。将染色结果与包括血型糖蛋白C在内的其他红系标志物进行比较。对4例再生性红系增生患者和6例红细胞团数目不同的良性或治疗后残留疾病较少的骨髓患者进行GLUT1 IHC染色。结果显示,10例患者早、中、晚期红系前体细胞的胞膜和胞浆染色强(图1,根据 IHC显示的聚集、细胞大小和核形态,将单个红系前体鉴定为早、中、晚期红系前体),早期红系前体细胞的染色稍弱。活检标本中的成熟红细胞GLUT1也呈强阳性。表明,GLUT1 IHC 染色对红细胞谱系具有特异性,但巨核细胞亚群中的细胞质染色较弱(图1)。值得注意的是,上述红系前体细胞的染色模式在所有造血因素引起的白血病中也得到了认可 (n = 29)。对1例伴红系增生患者的良性骨髓的GLUT1/GATA1双重染色证实了GLUT1的强膜、胞浆共表达,GATA1阴性的成髓细胞和未成熟粒细胞GLUT1均为阴性(表1)。
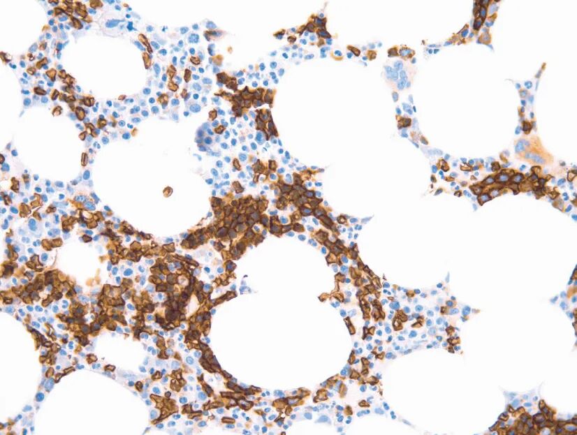
图1. GLUT1在良性骨髓中的表达模式 :GLUT1 在红系前体细胞质和膜染色强,巨核细胞胞质染色不定(右上),背景骨髓细胞 GLUT 阴性(×100)。
表1. 非肿瘤性造血组织中 GLUT1 染色总结

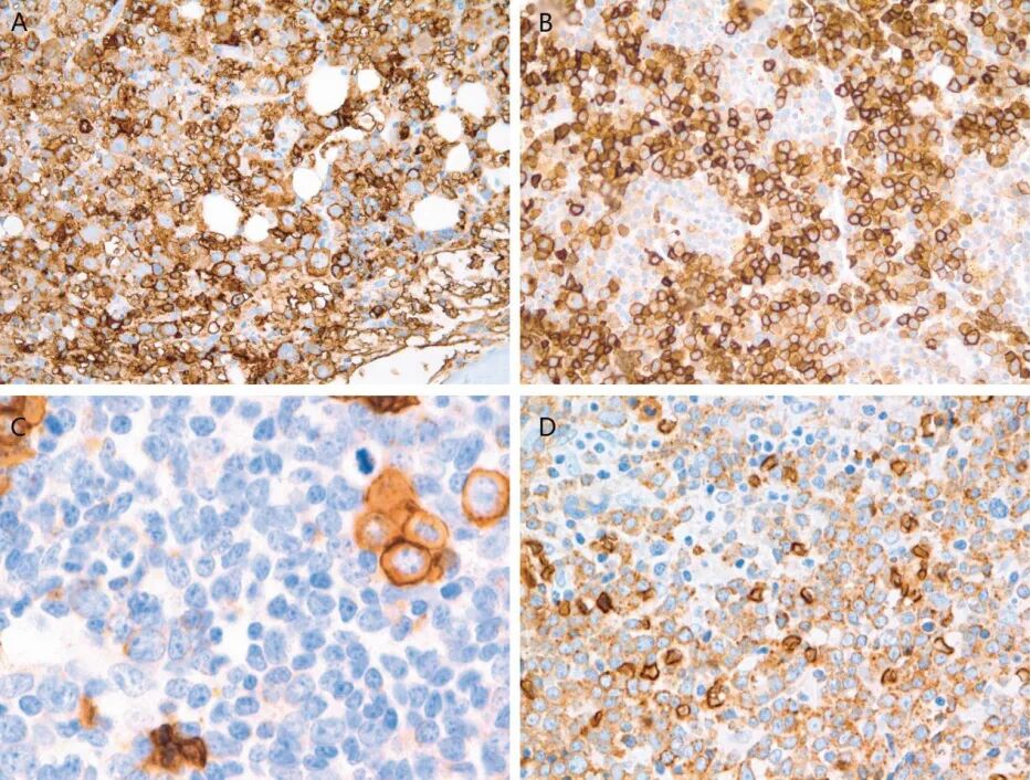
对白血病的各种骨髓活检标本,包括骨髓和淋巴谱系(表2)进行GLUT1 IHC染色,发现GLUT1在 6 例纯红细胞白血病和2例治疗相关急性髓系白血病 (t-AML) 的恶性原红细胞中呈强至中等胞质和膜染色,原始细胞呈红系分化(图2A和2B)。相反,非红系分化的急性白血病恶性原始细胞GLUT1阴性(图2C)。其中包括分化范围广泛的病例:髓系、早幼粒细胞、单核细胞、巨核细胞和最小分化等。GLUT1染色在5例B淋巴细胞白血病(B-ALL)中有4例淋巴母细胞胞浆/膜颗粒染色(3例)弱至(1例)中等(图2D)。另一例T细胞急性淋巴细胞性白血病的淋巴母细胞GLUT1阴性。所有骨髓增生异常综合征 (MDS) 和治疗相关的 MDS (t-MDS) 病例均显示红系前体的强染色,而与成髓细胞形态一致的单核细胞未见染色。两例伴大量原始细胞 2 (MDS-EB-2) 的骨髓增生异常综合征病例具有显着的红系增生成分,GLUT1 染色呈阳性,在空间上与血型糖蛋白 C 阳性细胞簇相匹配,表明这些 GLUT1 阳性细胞是红系前体细胞。
图2. 白血病的 GLUT1 IHC染色。A: 纯红细胞白血病GLUT1 胞质、胞膜强阳性 (×100);B: GLUT1 在t-AML伴红系分化的恶性原始细胞和红系前体细胞中强阳性染色(×100);C: 一例分化最小的急性髓性白血病,显示残留早期红系前体GLUT1 阳性,恶性原始细胞阴性;D: B 淋巴细胞白血病,GLUT1 弱到中等颗粒染色,视野顶部反应性淋巴聚集体中的淋巴细胞阴性,肿瘤性淋巴母细胞中散在的红细胞和晚期红细胞GLUT1 阳性(×100)。
对9例良性/反应性红系增生症、6例急性髓系白血病(AML;非纯红系白血病)、1例t-AML伴原始细胞红系分化、1例t-AML伴粒单核细胞分化、1例MDS-EB-2和1例MDS进行了血型糖蛋白 C检测。在良性/反应性红系增生症中,血糖蛋白C的染色模式与GLUT1几乎相同,红系前体细胞浆/膜染色较强(阳性细胞在空间和总数上一致,图3 ),但血型糖蛋白 C 的原红细胞染色较弱(图3B)。与GLUT1相似,血型糖蛋白 C在未分化的AML和t-AML中未见恶性母细胞染色,但在2例AML中,背景原红细胞和早期红细胞前体的血型糖蛋白 C 染色明显比 GLUT1 暗。
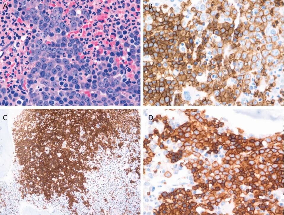
图3. 骨髓增生性肿瘤患者中的红细胞簇和潜在的 PCM1-JAK2 融合。A:H&E 上的早期红系前体大簇(×200);B:早期红系前体细胞血糖蛋白C染色呈中-弱染色 (×200);C-D:GLUT1 在×100和×200下在所有红系前体中呈均匀的强染色。
对2例无红系分化的AML患者进行E-Cadherin染色。与GLUT1相似,恶性母细胞瘤中E-Cadherin呈阴性表达。对比结果表明,GLUT1 对白血病具有和E-Cadherin等标志物同样出色的敏感性和特异性。
红系分化的 IHC 标志物是确认红系谱系的重要工具。这在骨髓发育异常伴左移红系前体细胞增生的诊断中至关重要,因为从成髓细胞在形态分化方面诊断困难。此外,纯红细胞白血病是一种与复杂核型和令人沮丧的临床结局相关疾病,也是诊断的一个挑战,因为原始红细胞常缺乏更成熟的红系分化标志物。因此,拥有多个红系 IHC 标记和了解它们在整个红细胞生成过程中的特异性和表达模式至关重要。本研究首次系统地评估了 GLUT1 IHC 对骨髓活检标本中红系分化的敏感性和特异性。 GLUT1 IHC 对红系前体极为敏感,在成熟的所有阶段中,红系前体都有强膜染色,最不成熟的原红细胞染色稍弱。这种模式在每个具有可评估红细胞生成的病例中都能看到。GLUT1 IHC对急性白血病中具有红系分化的原始细胞也极为敏感。所有纯红系白血病和伴红系分化的 t-AML 病例均在恶性原红细胞中呈强至中等胞膜和胞质 GLUT1 染色。GLUT1 IHC 对红系分化具有相对特异性。唯一在良性骨髓中显示任何染色的非红系谱系(包括巨核细胞),只有一个子集显示出微弱但可变的胞质染色。在实践中,由于染色强度和细胞形态的显著差异,很容易将这种染色模式与红细胞 GLUT1 表达区分开来。在肿瘤病例中,GLUT1 在所有非红系分化的髓系肿瘤中均为阴性,包括广泛的诊断和免疫表型原始细胞分化。本研究中,唯一具有 GLUT1 染色的淋巴细胞白血病包括 B-ALL 的一个子集,呈淋巴母细胞的弱至中度染色,但明显弱于在原红细胞中的染色。这与已发表的数据一致。先前描述的 B-ALL 细胞系中GLUT1 的表达证据表明 GLUT1在本研究中通过 IHC 鉴定的表达代表了真正的染色,而不是非特异性伪影。但本研究不包括淋巴瘤,需额外的工作来表征淋巴瘤的 GLUT1 染色模式。由于GLUT1 IHC 在多种癌症中呈阳性,因此,目前的研究并未将 GLUT1 作为可用于在未知原发性肿瘤中确定红系谱系的标志物。
- 是骨髓中红系分化的敏感标志物,包括纯红系白血病的敏感标志物。
- 是良性骨髓、MDS 和 AML 范围内红系分化的特异性标志物。在使用 GLUT1 阳性作为急性白血病中红系分化的证据时,须排除淋巴细胞白血病,因为 B-ALL 淋巴母细胞可能呈 GLUT1 的弱/中表达。
- GLUT1 在多种癌中呈阳性,淋巴瘤中的表达模式尚不明确,在解释肿瘤性骨髓中的 GLUT1 时,与形态学和其他免疫表型发现的相关性是必要的。
总体而言,本研究数据表明 GLUT1 可作为敏感且特异的标志物添加到已有的红细胞标志物武器库中。抗体名称 | 产品编号 | 克隆号 | 细胞定位 |
GLUT-1 | MAB-0813 | SPM498 | 胞膜 |
参考文献:
[1] Kaumeyer B A , Fidai S S , Beenu T , et al. GLUT1 Immunohistochemistry Is a Highly Sensitive and Relatively Specific Marker for Erythroid Lineage in Benign and Malignant Hematopoietic Tissues[J]. American Journal of Clinical Pathology, 2022.
更多信息,请详询:800-8581156 或 400-889-9853