前言:
说起口腔及涎腺肿瘤类型,不少理不清记不住的名词总是扑面而来,颇有些剪不断理还乱的感觉。为便于记忆,本期的内容将对口腔及涎腺肿瘤的免疫组化指标进行归纳和总结,希望对于各位病理老师日常的工作有所助益。

口腔肿瘤免疫组化标记
表1. 部分口腔肿瘤免疫组化指标总结

(点击可查看大图)
涎腺肿瘤免疫组化标记
表2. 常见涎腺肿瘤免疫组化指标总结

(点击可查看大图)
备注:
如所用抗体克隆号为MIB-1,则可能会出现不典型的细胞膜及胞质着色;
伴t(12;15)(p13;q25)易位的癌。
涎腺肿瘤免疫组化个别指标详解
CK

图1. 腺样囊性癌中不同细胞的CK表达:左侧为CK7,在导管腔面细胞均为阳性;右侧为p63,仅基底细胞为阳性。
DOG-1

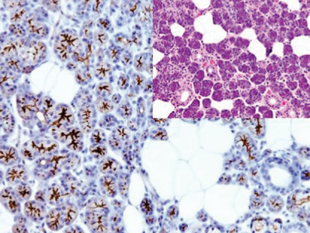
图2. 腮腺腺泡细胞顶端表面表达DOG-1。
α-淀粉酶
1
迈迈:“ DOG1是由位于染色体11q13的TMEM16A基因编码的一种钙离子调节相关的氯离子通道蛋白。选择性地表达于胃肠道间质瘤(GIST),与CD117相比,无论对于具有C-kit基因突变还是PDGFR-α基因突变的GIST,DOG1都是GIST更加敏感和特异的标记物。”
抗体名称 | 克隆号 | 阳性对照 | 阳性部位 |
DOG1* | MX067 | 胃肠道间质瘤 | 胞膜/胞质 |
DOG1 | SP31 | 胃肠道间质瘤 | 胞膜/胞质 |
*标为迈新克隆产品
更多信息,请详询:800-8581156或400-889-9853