SMARC4又称Brg1是进化上高度保守的SWI/SNF染色质重塑复合物的一种ATP酶亚基,还包括SMARCB1(INI1)在内的其他多个亚基。据发现这些亚基的突变与多种疾病、以及遗传性SWI/SNF缺失综合征的发生有关。SMARC4是抑癌基因还是原癌基因暂无定论,但明确其调控多种疾病的发生发展。在临床前模型中,SMARC4失活增加了肿瘤的侵袭性,增强了对靶向氧化磷酸化并抑制SMARCA2、EZH2、CDK4或CDK6等药物的敏感性。多研究表明SMARC4在非小细胞肺癌、卵巢癌、胰腺导管腺癌、及淋巴瘤中表达缺失。在进展期胃癌、前列腺癌、黑色素瘤、结直肠癌、神经母细胞瘤中过表达,但都与肿瘤进展和预后差等临床指标相关。根据突变点位不同,可将SMARC4突变分为二类:I类为截断突变、融合或纯合缺失;II类为错义突变;两类突变均为致病性突变。免疫组化检测到的SMARC4蛋白表达缺失多与I类突变相关。
达纳法伯癌症研究所通过对2690例非小细胞肺癌(NSCLC)患者进行NGS测序发现,8%的患者携带SMARC4突变。且存在与KRAS,TP53,KEAP1和STK11等共突变情况,其中KRAS和SMARC4共突变较为多见,SMARC4突变者的客观缓解率非常短,无进展生存期和总生存期明显缩短,从后续免疫治疗结果来看,KRAS+SMARC4双突变者免疫治疗效果最差,预后不佳。揭示SMARC4突变是NSCLC预后不良的重要因素。Jack等通过回顾麻省总医院1422例和基础医学27281例的数据集,确定SMARCA4突变型NSCLC的患病率为9%和11%。通过免疫组织化学评估SMARC4的表达,发现84%SMARCA4缺失突变的NSCLC患者SMARC4蛋白表达缺失。回顾性评估治疗结果发现SMARC4缺失型NSCLC患者无进展生存期的中位数最短。结果提示SMARC4缺失常见于SMARCA4缺失突变的NSCLC分子亚型中,临床预后差。
SWI/SNF复合物催化亚基突变也会出现在胃肠道低分化癌中,包括结肠、小肠、胃和远端食道,主要显示SMARCB1或SMARCA4失活。李青等通过免疫组化法检测30例胃癌组织中SMARCA4的表达情况,发现SMARCA4在胃癌中的表达率为76.67%(23/30)。SMARCA4高表达与胃癌的浸润、淋巴结转移、分级和分期有关。提示SMARCA4蛋白在胃癌中高表达,对胃癌的发生、发展可能起重要作用,可作为判断胃癌恶性程度及预后的重要指标.孙晋敏通过免疫组化方法检测183例结直肠癌组织与正常肠黏膜组织中SMARCA4蛋白表达情况,发现SMARCA4在结直肠癌组织中表达增高,虽与患者临床病理特征无显著相关但与预后关系密切,SMARCA4表达越高患者预后越差。提示BRG1可作为结直肠癌患者的独立预后因子。李燕等运用组织芯片和免疫组化法检测37例前列腺癌,其中9例中分化腺癌(Gleason评分5~7分),28例低分化腺癌 (Gleason评分8~10分),13例前列腺上皮内瘤,14例良性前列腺增生组织中SMARCA4的表达和分布情况。结果显示SMARCA4在前列腺癌、前列腺上皮内瘤和良性前列腺增生组织中阳性表达率分别为81.08%(30/37),38.46%(5/13),14.28%(2 /14)。就SMARCA4阳性表达率而言,三者具有显著差异(P<0.05)。前列腺上皮内瘤与前列腺增生组织间,中分化腺癌与低分化腺癌间比较差异均无显著性(P>0.05)。结论: SMARCA4蛋白在前列腺癌中高表达,对前列腺癌的发生、发展可能起重要作用。Aijing Sun采用半定量免疫组化方法评估46例前列腺癌与正常组织中SMARCA4的表达水平,SMARCA4在恶性组织表达明显高于良性组织,且在高度恶性肿瘤中更为明显。证明SMARCA4的异常表达与前列腺癌的进展有关,SMARCA4过表达促进肿瘤的生长和侵袭。
图1. BRG1表达与肿瘤侵袭有关。BRG1强表达在侵袭区(右上角)和非侵袭区(左下角)中间红色虚线分隔。
卵巢高钙血症型小细胞癌(SCCOHT)是一种罕见的卵巢肿瘤,组织学诊断SCCOHT具有挑战性,需与多种肿瘤进行鉴别,目前没有特异性标志物能帮助鉴别诊断。Conlon在2004年发表的文章分析了SMARCA4在SCCOHT中表达情况。研究结果显示,全部17例SCCOHT中除1例外均显示SMARCA4表达丢失(94%),而其他279例肿瘤中,仅2例(1例为透明细胞癌,1例为卵巢黑色素瘤)显示SMARCA4表达丢失。作者认为SMARCA4免疫组化染色对诊断SCCOHT具有高度敏感性和特异性,并对低分化卵巢肿瘤的鉴别诊断具有临床意义。毕蕊等收集子宫去分化癌10例,未分化癌16例,共26例。采用免疫组织化学法检测SMARCA4(Brg1)与SMARCB1(INI1)蛋白表达情况。结果显示SMARCA4缺失12例,SMARCB1缺失2例。SMARCA4与SMARCB1蛋白表达缺失见于约1/2的子宫内膜未分化癌/去分化癌,蛋白缺失表达的病例更常见横纹肌样细胞,预后更差。推荐在含有未分化癌成分的子宫内膜癌中加做SMARCA4与SMARCB1,进行鉴别诊断,帮助临床判断预后。其他有研究表明部分卵巢透明细胞癌及子宫内膜间质肉瘤中出现SMARCA4表达缺失情况。总之,约20%的人类肿瘤出现有编码SWI/SNF复合体亚基基因的功能缺失型突变,与肿瘤进展和患者预后有着很大的关联。因此,SMARCA4/Brg1有望成为肿瘤治疗研究的新靶点。
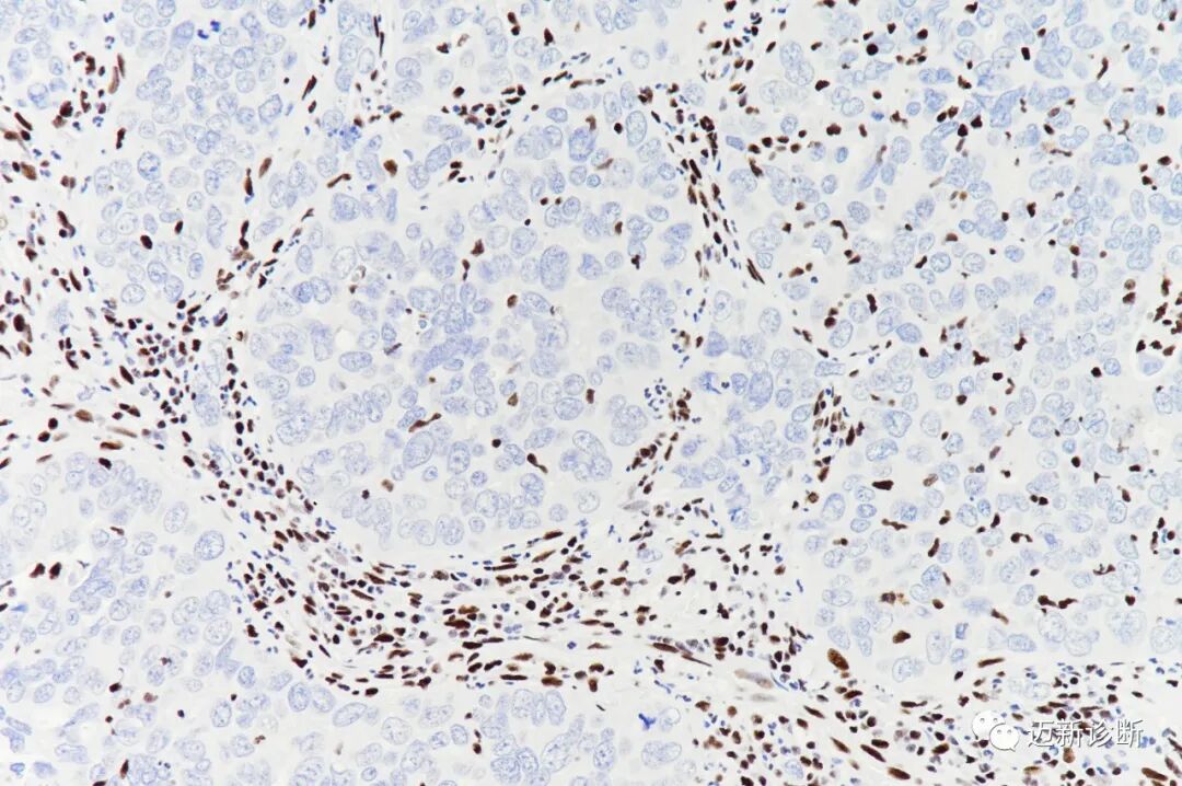
肺腺癌,SMARCA4/Brg1染色 (肿瘤细胞表达缺失)

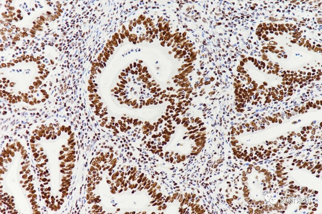
胃腺癌,SMARCA4/Brg1染色 (肿瘤细胞高表达)
抗体名称 | 产品编号 | 克隆号 | 细胞定位 |
SMARCA4/Brg1 | MAB-1016 | E8V5B | 胞核 |
参考文献:
[1] Clinicopathologic characteristics and immunotherapy outcomes in SMARCA4-mutant (mut) non-small cell lung cancer (NSCLC). Journal of Clinical Oncology ( IF 44.544 ) Pub Date:2020-05-20,DOI:10.1200
[2] Dagogo-Jack, I., Schrock, A. B., Kem, M., Jessop, N., Lee, J., Ali, S. M., Mino-Kenudson, M. (2020). Clinicopathologic Characteristics of BRG1-Deficient Non-Small Cell Lung Cancer. Journal of Thoracic Oncology. -doi:10.1016/j.jtho.2020.01.002
[3] Schoenfeld, A. J., Bandlamudi, C., Lavery, J. A., Montecalvo, J., Namakydoust, A., Rizvi, H., … Riely, G. J. (2020). The Genomic Landscape of SMARCA4 Alterations and Associations with Outcomes in Patients with Lung Cancer. Clinical Cancer Research, clincanres.1825.2020. doi:10.1158/1078-0432.ccr-20-1825
[4] 李青, 周晓军, 谢海龙,等. 胃癌中BRG1蛋白的表达及意义[J]. 临床与实验病理学杂志, 2004, 20(4):402-405.
[5] 毕蕊, 喻林, 涂小予, 等. 子宫去分化癌及未分化癌中SMARCA4(BRG1)及SMARCB1(INI1)的表达及临床病理分析 [J] . 中华病理学杂志,2019,48 (8): 590-595. DOI: 10.3760/cma.j.issn.0529-5807.2019.08.002
[6] [1]孙晋敏, 郭存存, 王超群,等. BRG1在结直肠癌中的表达与预后和MMP-2的关系[J]. 世界华人消化杂志, 24(35):9.
[7] Conlon N,Silva A,Guerra E,魏建国(摘译),许春伟(审校).SMARCA4表达缺失是诊断卵巢高钙血症型小细胞癌既敏感又特异性的指标[J].临床与实验病理学杂志,2016,32(7):798-798.