
T细胞淋巴瘤免疫组化常用指标概述
T细胞淋巴瘤诊断常用免疫组化指标有CD2、CD3、CD4、CD7、CD8、CD30、ALK、TCL-1、CXCL13、TdT。阳性表达模式:细胞膜/细胞质
推荐阳性质控组织:阑尾/扁桃体
CD2是一种跨膜糖蛋白,介导T淋巴细胞和其他细胞之间的黏附。该指标似乎出现于T细胞发生的早期阶段。临床诊断中,CD2是T淋巴细胞、NK细胞及T细胞淋巴瘤、大部分NK细胞肿瘤的极好标记。除小部分胸腺B细胞外,B淋巴细胞均为CD2阴性,所有的B细胞淋巴瘤也均为阴性。正常肥大细胞CD2阴性,但肥大细胞表达CD2一般为恶性的标准。阳性表达模式:细胞膜
推荐阳性质控组织:阑尾/扁桃体
CD3是一种由五条肽链(γ、δ、ε、ζ、η)构成的复杂结构,具体形成三种二聚体。CD3与T淋巴细胞细胞膜上的T细胞受体形成复合物,负责抗原识别进而活化免疫应答。胚胎发育早期,CD3表达于前胸腺细胞(pro-thymocytes)并持续存在于T淋巴细胞分化的所有阶段、直至成熟,因此是最为常用的广谱T细胞标记,可表达于绝大多数T细胞淋巴瘤。此外,CD3还可表达于部分NK细胞淋巴瘤,用CD3ε特异性抗体时一般呈胞质着色。阳性表达模式:细胞膜
推荐阳性质控组织:阑尾/扁桃体
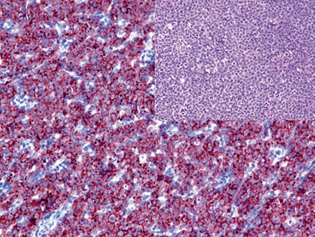
CD4是免疫球蛋白家族成员之一,表达于T辅助细胞/T诱导细胞表面,还可表达于大部分胸腺细胞和部分单核细胞、巨噬细胞、树状突细胞。因此该指标是这些细胞来源肿瘤的标记之一,具体如外周T细胞淋巴瘤、皮肤淋巴瘤(主要是蕈样真菌病【mycosis fungoides】)。需要注意的是,CD4在部分急性髓系白血病和组织细胞肿瘤中也可以阳性,因此免疫组化及流式细胞学检测过程中,CD4必须和CD3、CD8、CD19等一组指标联合应用。

图1. 急性髓系白血病(M5)中,髓母细胞弥漫阳性表达CD4。
阳性表达模式:细胞膜
推荐阳性质控组织:阑尾/扁桃体
CD7也是免疫球蛋白家族成员之一,其功能与T细胞/B细胞之间的相互作用有关。CD7表达于早期T淋巴细胞、胸腺细胞、NK细胞及部分髓细胞。大部分成熟T淋巴细胞及来源于前述细胞的T细胞淋巴瘤、NK细胞淋巴瘤,均表达CD7。部分急性髓细胞白血病中也可出现CD7的阳性表达,甚至罕见情况下某些癌(如胰腺癌、胆管癌)也会有此指标的阳性表达。阳性表达模式:细胞膜
推荐阳性质控组织:阑尾/扁桃体
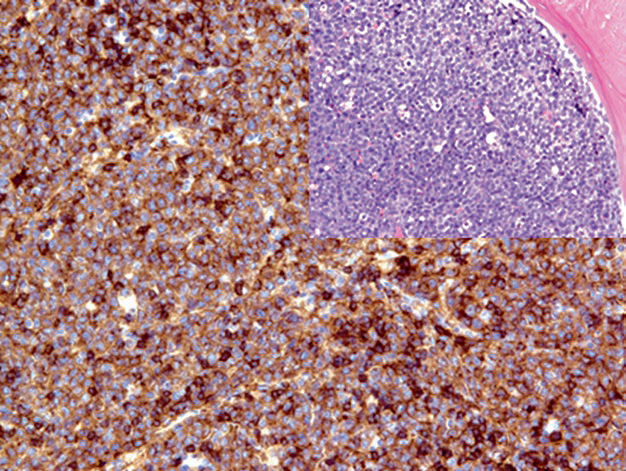
CD8是一种跨膜糖蛋白,是T细胞受体的共同受体(co-receptor),报道于抑制性/细胞毒性T淋巴细胞及部分NK细胞,因此是很多T/NK细胞淋巴瘤的标记。不过,该标记还可表达于少部分B细胞淋巴瘤,因此一般应注意和其他指标如CD3、CD4、CD20联合应用。此外,急性感染性单核细胞增多症的淋巴结中,也可有CD8阳性T细胞群。
图2. 肠病相关T细胞淋巴瘤中,弥漫阳性表达CD8。
CD30参与细胞转化、抗体作用、凋亡等方面的调节,正常情况下表达于活化的B、T、NK细胞。除霍奇金淋巴瘤和某些其他类型淋巴瘤外,CD30还是间变性大细胞淋巴瘤的诊断标记。关于CD30的更多细节,本系列文章后续会有详述。
图3. 间变性大细胞淋巴瘤,CD30弥漫阳性。
阳性表达模式:细胞膜/细胞质
推荐阳性质控组织:阑尾/扁桃体
CD43表达于T/NK淋巴细胞、髓系细胞、浆细胞及这些细胞来源肿瘤的细胞膜和细胞质。需要注意的是,某些罕见肿瘤中会出现所谓的“仅表达CD43”的情况,也就是只表达CD43和vimentin,具体涉及的肿瘤类型有髓系肉瘤及部分急性髓细胞白血病、间变性大细胞淋巴瘤及NK细胞淋巴瘤、浆细胞肿瘤、朗格汉斯细胞组织细胞增生症。需要指出的是,CD43阳性、且CD5阳性,并非仅限于T细胞淋巴瘤,很多B细胞淋巴瘤也可有此表达,如慢性淋巴细胞白血病及小淋巴细胞淋巴瘤、Burkitt淋巴瘤、套细胞淋巴瘤、淋巴结/结外边缘区淋巴瘤。由于正常B淋巴细胞并不表达CD43,因此CD43阳性B淋巴细胞考虑为肿瘤性病变。一般说来,CD43必须和其他更为特异性的淋巴瘤标记联合应用。除淋巴瘤外,罕见情况下也会有非造血系统肿瘤表达CD43,如腺样囊性癌。阳性表达模式:细胞质/细胞核
推荐阳性质控组织:间变性淋巴瘤/脑组织/阑尾的神经节细胞
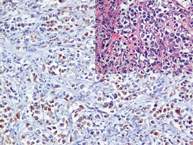
ALK是一种酪氨酸激酶受体,表达于人体胚胎发育过程中,且中枢神经系统的神经节细胞中仍保持表达。正常淋巴组织中,该指标为阴性,但某些类型的淋巴瘤为阳性,如间变性大细胞淋巴瘤,这是由于t(2;5)易位、或其他同等易位导致ALK转录激活而引起的。同时,ALK在具有相同易位的炎性肌纤维母细胞瘤中也是阳性。罕见情况下,无t(2;5)易位的淋巴瘤中也会出现ALK的强阳性表达,如ALK阳性大B细胞淋巴瘤,但这种情况下CD30一般也是阴性的。
图4. 间变性大细胞淋巴瘤,图示肿瘤细胞ALK阳性。
T细胞白血病蛋白1(T-cell leukemia protein 1,TCL-1)是一种癌蛋白,正常情况下表达于淋巴细胞的胚胎发育早期。T细胞幼淋巴细胞白血病中,由于有特征性的t(14;14)(q11;q32)重排,因此TCL-1过表达;而其他T细胞淋巴瘤中一般并无该指标的阳性。B细胞来源的淋巴瘤中,某些类型也会表达TCL-1,如滤泡性淋巴瘤、Burkitt淋巴瘤、套细胞淋巴瘤、慢性淋巴细胞白血病、毛细胞白血病、弥漫大细胞淋巴瘤;而边缘区淋巴瘤、CD30阳性间变性淋巴瘤、浆细胞肿瘤,总是不表达TCL-1。同时,睾丸小管内生殖细胞肿瘤、精原细胞瘤也会出现TCL-1的表达。
NK细胞淋巴瘤免疫组化常用指标概述
NK细胞淋巴瘤诊断常用免疫组化指标有CD2、CD3、CD56、细胞毒性分子(TIA-1、颗粒酶B、穿孔素)、EMA。阳性表达模式:细胞膜
推荐阳性质控组织:脑组织/小肠神经节细胞
CD56为跨膜黏附分子,属于Ig超家族成员之一,与神经细胞发育、神经组织分化有关。正常情况下,CD56表达于神经外胚层细胞、NK细胞、活化T细胞、肌母细胞、骨骼肌的细胞膜。该指标为NK细胞淋巴瘤的重要标记,也是肺和肺外小细胞癌诊断中的重要标记。CD56对于卵巢性索间质肿瘤非常敏感,但特异性差。由于CD56可表达于诸多肿瘤类型,因此并无明确特异性。少数CD4阳性、CD8阳性T细胞和浆细胞中也可表达CD56。多发性骨髓瘤中也可表达CD56,且CD56阴性的多发性骨髓瘤预后差。该指标还可表达于具有类似形态学表现的其他肿瘤,如胚胎性横纹肌肉瘤、神经母细胞瘤、恶性黑色素性神经源性肉瘤、滑膜肉瘤。
细胞毒性分子标记对于T细胞淋巴瘤、NK细胞淋巴瘤的诊断非常重要,具体如穿孔素、颗粒酶B、TIA-1,其中前两者为常规免疫组化中最常用的细胞毒性分子标记。具体来说,穿孔素是一种溶细胞性成孔蛋白(pore-forming protein),见于细胞毒性T淋巴细胞的颗粒内;其功能是在靶细胞的细胞膜上“打孔”(perforate a pore)。颗粒酶B则是与穿孔素一起、储存于细胞毒性T淋巴细胞、NK细胞中的特化溶解颗粒,其功能似乎是通过穿孔素所致的跨膜孔进入靶细胞,进而诱导DNA碎片化,引发靶细胞的凋亡。TIA-1是细胞毒性颗粒相关蛋白,表达于NK细胞和细胞毒性T淋巴细胞。TIA-1具有针对靶细胞的细胞核溶解活性,引发靶细胞的凋亡。该指标还可表达于肿瘤浸润性淋巴细胞。
迈迈推荐:“T细胞淋巴瘤是一种罕见的非霍奇金淋巴瘤,大致可分为外周T细胞淋巴瘤和皮肤T细胞淋巴瘤。日常工作中,常将T细胞淋巴瘤和自然杀伤细胞(NK细胞)淋巴瘤放到一起学习和诊断。毫无疑问,免疫组化是该组疾病诊断和鉴别诊断的重要工具,本期迈迈推荐以下抗体,您不妨可以试试哦。”
抗体名称 | 克隆号 | 阳性对照 | 细胞定位 |
ALK
| MX064 | 肺腺癌、阑尾、渐变性大细胞淋巴瘤
| 胞质/胞核 |
CD2* | MX074 | 扁桃体、阑尾
| 胞膜 |
CD3*
| MX036
| 扁桃体、阑尾
| 胞膜 |
CD4 | SP35 | 扁桃体、阑尾
| 胞膜 |
CD7
| EP132
| 扁桃体、阑尾
| 胞膜 |
CD8 | SP16 | 扁桃体、阑尾 | 胞膜
|
CD30*
| MX080
| 霍奇金淋巴瘤、胚胎性癌 | 胞膜/胞质 |
CD43* | MX099
| 扁桃体、阑尾 | 胞膜
|
CD56*
| MX039
| 肺小细胞癌、阑尾
| 胞膜 |
TIA-1 | 2G9A10F5
| 阑尾、T细胞淋巴瘤 | 胞质
|
更多信息,请详询:800-8581156或400-889-9853