
恶性黑色素瘤常用免疫组化指标
恶性黑色素瘤诊断常用免疫组化标记有HMB45、Melan A、酪氨酸酶、SOX-10、小眼畸形转录因子(microphthalmia transcription factor,MiTF)、WT-1、S100、CD63(NK-C3)、PHH3、Ki-67。
(点击可查看大图)
备注:
良性的痣中,一般为阴性;
少量恶性黑色素瘤中,可能会有CK的局灶弱阳性表达。
阳性表达模式:细胞质
推荐阳性质控组织:恶性黑色素瘤
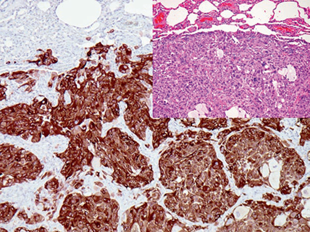
HMB45是一种糖蛋白,与黑素小体从I期至II期的成熟有关。正常组织中,HMB45可表达于视网膜色素上皮、胎儿黑素细胞,但成熟的黑素细胞、真皮内痣中并无表达。HMB45是黑色素细胞肿瘤、伴黑色素分化肿瘤的标记物,具体如不同类型的恶性黑色素瘤、促结缔组织增生性痣、Spitz痣、蓝痣、透明细胞肉瘤。
需要注意的是,约10%的恶性黑色素瘤并不表达HMB45,尤其是无色素性恶性黑色素瘤、促纤维结缔组织增生性恶性黑色素瘤、梭形细胞恶性黑色素瘤中这一比例更高。多种恶性黑色素瘤相关抗体联合应用,可显著提高检测的敏感性,具体如HMB45、Melan A、酪氨酸酶联合。此外,某些形态学与恶性黑色素瘤有相似之处的肿瘤也可能会表达HMB45,如肾上腺嗜铬细胞瘤、肺的透明细胞肿瘤,但这些肿瘤一般不表达酪氨酸酶或SOX-10。阳性表达模式:细胞质
推荐阳性质控组织:肾上腺皮质
Melan A又称为MART-1,是黑素细胞抗原,也是正常皮肤黑素细胞及视网膜细胞中内质网内黑色素小体成熟及色素表达过程相关的MAGE家族成员之一,相应细胞来源的肿瘤中也有此抗原。Melan A是最常用的恶性黑色素瘤标记之一,90%以上的恶性黑色素瘤会表达这一标记。不过,这一指标在恶性黑色素瘤的诊断中并无特异性,因为它也可表达于其他肿瘤,如肾上腺皮质肿瘤、性索-间质肿瘤。本文原作者建议可以将其作为筛选抗体,要确诊恶性黑色素瘤需增加更多抗体。阳性表达模式:细胞质
推荐阳性质控组织:皮肤/恶性黑色素瘤
酪氨酸酶催化黑素细胞中酪氨酸合成黑色素的过程。这是一种非常特异的恶性黑色素瘤标记,但在恶性黑色素瘤中的阳性率仅为80%以上,且其阳性程度与肿瘤的分化级别有关。正是因为这一指标高度特异,因此常与其他恶性黑色素瘤相关指标联合组成免疫组化套餐应用。相关免疫组化套餐在诊断上皮样、促纤维结缔组织增生性、梭形细胞型恶性黑色素瘤中效果很好,且在前哨淋巴结微转移的检出中很有帮助。阳性表达模式:细胞核
推荐阳性质控组织:皮肤/恶性黑色素瘤
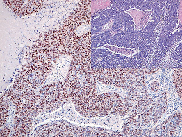
SOX-10是转录因子SOX家族成员之一,是一种涉及黑素细胞和施万细胞成熟及分化的神经嵴转录因子。正常情况下,SOX-10表达于黑素细胞、施万细胞、肌上皮细胞,也是包括促纤维结缔增生型在内多种类型恶性黑色素瘤的敏感标记。
图2. 促纤维结缔组织增生型恶性黑色素瘤,免疫组化SOX-10表现为细胞核强阳性。
虽然SOX-10是一种非常好的恶性黑色素瘤标记,但却并无特异性,某些其他肿瘤也会有该指标的阳性表达,具体如神经鞘瘤、神经纤维瘤、颗粒细胞瘤,高达60%的恶性外周神经鞘瘤也会有该指标的阳性。同时,SOX-10还是三阴型、化生性乳腺癌的标记。肌上皮细胞核肌上皮肿瘤中也有SOX-10的强阳性表达,如多种类型的涎腺肿瘤。对于可疑病例,应加做恶性黑色素瘤相关的更特异指标来证实或排除诊断。
图3. 三阴型乳腺癌,免疫组化SOX-10,肿瘤细胞的细胞核中等程度阳性。
WT-1是恶性黑色素瘤的另一标记,在间皮瘤章节已有详述。与HMB45类似,WT-1有助于恶性黑色素性病变和良性黑色素性病变的鉴别。
迈迈推荐:“恶性黑色素瘤是一种高度恶性肿瘤,多发生于皮肤,亦可见皮肤黏膜交界处、眼脉络膜和软脑膜等,其发病率正逐年升高,现已成为皮肤的首位致死性疾病。免疫组化在形态学难以确诊的恶性黑色素瘤明确诊断中起着重要的作用!本期迈迈推荐以下抗体,您不妨可以试试哦。”
抗体名称 | 克隆号 | 阳性对照 | 细胞定位 |
Melan A
| A103 | 恶性黑色素瘤
| 胞质 |
HMB45 | HMB45 | 恶性黑色素瘤
| 胞质 |
SOX-10
| EP268
| 神经鞘瘤、恶性黑色素瘤
| 胞核 |
WT-1* | MX012 | 肾组织、肾母细胞瘤
| 胞核 |
更多信息,请详询:800-8581156或400-889-9853